• 文献检索
  • 文档翻译
  • 深度研究
  • 学术资讯
  • Suppr Zotero 插件Zotero 插件
  • 邀请有礼
  • 套餐&价格
  • 历史记录
应用&插件
Suppr Zotero 插件Zotero 插件浏览器插件Mac 客户端Windows 客户端微信小程序
定价
高级版会员购买积分包购买API积分包
服务
文献检索文档翻译深度研究API 文档MCP 服务
关于我们
关于 Suppr公司介绍联系我们用户协议隐私条款
关注我们

Suppr 超能文献

核心技术专利:CN118964589B侵权必究
粤ICP备2023148730 号-1Suppr @ 2026

文献检索

告别复杂PubMed语法,用中文像聊天一样搜索,搜遍4000万医学文献。AI智能推荐,让科研检索更轻松。

立即免费搜索

文件翻译

保留排版,准确专业,支持PDF/Word/PPT等文件格式,支持 12+语言互译。

免费翻译文档

深度研究

AI帮你快速写综述,25分钟生成高质量综述,智能提取关键信息,辅助科研写作。

立即免费体验

成纤维细胞药物清除作用增加了小鼠胰腺癌肿瘤内吉西他滨的蓄积。

Fibroblast drug scavenging increases intratumoural gemcitabine accumulation in murine pancreas cancer.

作者信息

Hessmann E, Patzak M S, Klein L, Chen N, Kari V, Ramu I, Bapiro T E, Frese K K, Gopinathan A, Richards F M, Jodrell D I, Verbeke C, Li X, Heuchel R, Löhr J M, Johnsen S A, Gress T M, Ellenrieder V, Neesse A

机构信息

Department Gastroenterology and Gastrointestinal Oncology, University Medical Centre Goettingen, Goettingen, Germany.

Department of General, Visceral and Pediatric Surgery, University Medical Center Goettingen, Goettingen, Germany.

出版信息

Gut. 2018 Mar;67(3):497-507. doi: 10.1136/gutjnl-2016-311954. Epub 2017 Jan 10.

DOI:10.1136/gutjnl-2016-311954
PMID:28077438
原文链接:https://pmc.ncbi.nlm.nih.gov/articles/PMC5868285/
Abstract

OBJECTIVE

Desmoplasia and hypovascularity are thought to impede drug delivery in pancreatic ductal adenocarcinoma (PDAC). However, stromal depletion approaches have failed to show clinical responses in patients. Here, we aimed to revisit the role of the tumour microenvironment as a physical barrier for gemcitabine delivery.

DESIGN

Gemcitabine metabolites were analysed in ; ; (KPC) murine tumours and matched liver metastases, primary tumour cell lines, cancer-associated fibroblasts (CAFs) and pancreatic stellate cells (PSCs) by liquid chromatography-mass spectrometry/mass spectrometry. Functional and preclinical experiments, as well as expression analysis of stromal markers and gemcitabine metabolism pathways were performed in murine and human specimen to investigate the preclinical implications and the mechanism of gemcitabine accumulation.

RESULTS

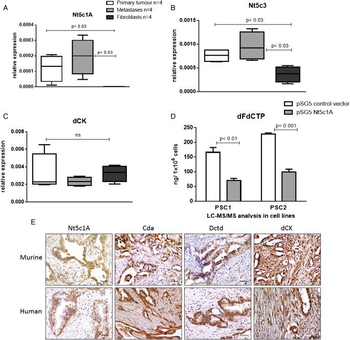
Gemcitabine accumulation was significantly enhanced in fibroblast-rich tumours compared with liver metastases and normal liver. In vitro, significantly increased concentrations of activated 2',2'-difluorodeoxycytidine-5'-triphosphate (dFdCTP) and greatly reduced amounts of the inactive gemcitabine metabolite 2',2'-difluorodeoxyuridine were detected in PSCs and CAFs. Mechanistically, key metabolic enzymes involved in gemcitabine inactivation such as hydrolytic cytosolic 5'-nucleotidases (Nt5c1A, Nt5c3) were expressed at low levels in CAFs in vitro and in vivo, and recombinant expression of Nt5c1A resulted in decreased intracellular dFdCTP concentrations in vitro. Moreover, gemcitabine treatment in KPC mice reduced the number of liver metastases by >50%.

CONCLUSIONS

Our findings suggest that fibroblast drug scavenging may contribute to the clinical failure of gemcitabine in desmoplastic PDAC. Metabolic targeting of CAFs may thus be a promising strategy to enhance the antiproliferative effects of gemcitabine.

摘要

目的

促结缔组织增生和血管减少被认为会阻碍胰腺导管腺癌(PDAC)的药物递送。然而,基质耗竭方法在患者中未能显示出临床反应。在此,我们旨在重新审视肿瘤微环境作为吉西他滨递送物理屏障的作用。

设计

通过液相色谱 - 质谱/质谱分析了KPC小鼠肿瘤及其匹配的肝转移灶、原发性肿瘤细胞系、癌症相关成纤维细胞(CAF)和胰腺星状细胞(PSC)中的吉西他滨代谢产物。在小鼠和人类样本中进行了功能和临床前实验,以及基质标志物和吉西他滨代谢途径的表达分析,以研究吉西他滨蓄积的临床前意义及机制。

结果

与肝转移灶和正常肝脏相比,富含成纤维细胞的肿瘤中吉西他滨蓄积显著增强。在体外,PSC和CAF中检测到活化的2',2'-二氟脱氧胞苷-5'-三磷酸(dFdCTP)浓度显著增加,而无活性的吉西他滨代谢产物2',2'-二氟脱氧尿苷的量大大减少。机制上,参与吉西他滨失活的关键代谢酶,如胞质水解5'-核苷酸酶(Nt5c1A、Nt5c3)在体外和体内的CAF中表达水平较低,Nt5c1A的重组表达导致体外细胞内dFdCTP浓度降低。此外,KPC小鼠接受吉西他滨治疗后,肝转移灶数量减少了50%以上。

结论

我们的研究结果表明,成纤维细胞对药物的清除可能导致吉西他滨在促结缔组织增生性PDAC临床应用中的失败。因此,对CAF进行代谢靶向可能是增强吉西他滨抗增殖作用的一种有前景的策略。

https://cdn.ncbi.nlm.nih.gov/pmc/blobs/e7d8/5868285/ab248842c2f4/gutjnl-2016-311954f06.jpg
https://cdn.ncbi.nlm.nih.gov/pmc/blobs/e7d8/5868285/c7e0d9e7bfdd/gutjnl-2016-311954f01.jpg
https://cdn.ncbi.nlm.nih.gov/pmc/blobs/e7d8/5868285/ff8f08add107/gutjnl-2016-311954f02.jpg
https://cdn.ncbi.nlm.nih.gov/pmc/blobs/e7d8/5868285/ec3ec3d00ea2/gutjnl-2016-311954f03.jpg
https://cdn.ncbi.nlm.nih.gov/pmc/blobs/e7d8/5868285/e76e5a37c3f8/gutjnl-2016-311954f04.jpg
https://cdn.ncbi.nlm.nih.gov/pmc/blobs/e7d8/5868285/9a25a4f715a5/gutjnl-2016-311954f05.jpg
https://cdn.ncbi.nlm.nih.gov/pmc/blobs/e7d8/5868285/ab248842c2f4/gutjnl-2016-311954f06.jpg
https://cdn.ncbi.nlm.nih.gov/pmc/blobs/e7d8/5868285/c7e0d9e7bfdd/gutjnl-2016-311954f01.jpg
https://cdn.ncbi.nlm.nih.gov/pmc/blobs/e7d8/5868285/ff8f08add107/gutjnl-2016-311954f02.jpg
https://cdn.ncbi.nlm.nih.gov/pmc/blobs/e7d8/5868285/ec3ec3d00ea2/gutjnl-2016-311954f03.jpg
https://cdn.ncbi.nlm.nih.gov/pmc/blobs/e7d8/5868285/e76e5a37c3f8/gutjnl-2016-311954f04.jpg
https://cdn.ncbi.nlm.nih.gov/pmc/blobs/e7d8/5868285/9a25a4f715a5/gutjnl-2016-311954f05.jpg
https://cdn.ncbi.nlm.nih.gov/pmc/blobs/e7d8/5868285/ab248842c2f4/gutjnl-2016-311954f06.jpg

相似文献

1
Fibroblast drug scavenging increases intratumoural gemcitabine accumulation in murine pancreas cancer.成纤维细胞药物清除作用增加了小鼠胰腺癌肿瘤内吉西他滨的蓄积。
Gut. 2018 Mar;67(3):497-507. doi: 10.1136/gutjnl-2016-311954. Epub 2017 Jan 10.
2
Cytosolic 5'-nucleotidase 1A is overexpressed in pancreatic cancer and mediates gemcitabine resistance by reducing intracellular gemcitabine metabolites.细胞质 5'-核苷酸酶 1A 在胰腺癌中过表达,并通过降低细胞内吉西他滨代谢物来介导吉西他滨耐药性。
EBioMedicine. 2019 Feb;40:394-405. doi: 10.1016/j.ebiom.2019.01.037. Epub 2019 Jan 30.
3
Expression of gemcitabine metabolizing enzymes and stromal components reveal complexities of preclinical pancreatic cancer models for therapeutic testing.表达吉西他滨代谢酶和基质成分揭示了用于治疗测试的临床前胰腺癌模型的复杂性。
Neoplasia. 2024 Jul;53:101002. doi: 10.1016/j.neo.2024.101002. Epub 2024 May 13.
4
Cadherin 11 Promotes Immunosuppression and Extracellular Matrix Deposition to Support Growth of Pancreatic Tumors and Resistance to Gemcitabine in Mice.钙黏蛋白 11 促进免疫抑制和细胞外基质沉积,以支持小鼠胰腺肿瘤的生长和对吉西他滨的耐药性。
Gastroenterology. 2021 Mar;160(4):1359-1372.e13. doi: 10.1053/j.gastro.2020.11.044. Epub 2020 Dec 9.
5
Gemcitabine diphosphate choline is a major metabolite linked to the Kennedy pathway in pancreatic cancer models in vivo.在胰腺癌模型的体内研究中,二磷酸胞苷胆碱是与肯尼迪途径相关的主要代谢物。
Br J Cancer. 2014 Jul 15;111(2):318-25. doi: 10.1038/bjc.2014.288. Epub 2014 May 29.
6
Anti-stromal treatment together with chemotherapy targets multiple signalling pathways in pancreatic adenocarcinoma.抗基质治疗联合化疗可靶向胰腺癌中的多种信号通路。
J Pathol. 2016 Jul;239(3):286-96. doi: 10.1002/path.4727. Epub 2016 May 25.
7
Signal Transducer and Activator of Transcription 3, Mediated Remodeling of the Tumor Microenvironment Results in Enhanced Tumor Drug Delivery in a Mouse Model of Pancreatic Cancer.信号转导子和转录激活子 3 通过介导肿瘤微环境的重塑增强了胰腺癌小鼠模型中的肿瘤药物递送。
Gastroenterology. 2015 Dec;149(7):1932-1943.e9. doi: 10.1053/j.gastro.2015.07.058. Epub 2015 Aug 7.
8
SPARC dependent collagen deposition and gemcitabine delivery in a genetically engineered mouse model of pancreas cancer.在胰腺癌的基因工程小鼠模型中,依赖于 SPARC 的胶原蛋白沉积和吉西他滨递送。
EBioMedicine. 2019 Oct;48:161-168. doi: 10.1016/j.ebiom.2019.09.024. Epub 2019 Oct 6.
9
Pancreatic Premalignant Lesions Secrete Tissue Inhibitor of Metalloproteinases-1, Which Activates Hepatic Stellate Cells Via CD63 Signaling to Create a Premetastatic Niche in the Liver.胰腺前恶性病变分泌组织金属蛋白酶抑制剂-1,通过 CD63 信号激活肝星状细胞,在肝脏中形成一个前转移龛。
Gastroenterology. 2016 Nov;151(5):1011-1024.e7. doi: 10.1053/j.gastro.2016.07.043. Epub 2016 Aug 6.
10
Metabolic programming of distinct cancer stem cells promotes metastasis of pancreatic ductal adenocarcinoma.代谢编程对不同的癌症干细胞的促进作用,推动了胰腺导管腺癌的转移。
Oncogene. 2021 Jan;40(1):215-231. doi: 10.1038/s41388-020-01518-2. Epub 2020 Oct 27.

引用本文的文献

1
Fibrotic Fortresses and Therapeutic Frontiers: Pancreatic Stellate Cells and the Extracellular Matrix in Pancreatic Cancer.纤维化堡垒与治疗前沿:胰腺癌中的胰腺星状细胞与细胞外基质
Cancer Med. 2025 Jun;14(11):e70788. doi: 10.1002/cam4.70788.
2
Nuclear Galectin-1 promotes -dependent activation of pancreatic cancer stellate cells.核半乳凝素-1促进胰腺癌星状细胞的β-依赖性激活。
Proc Natl Acad Sci U S A. 2025 Apr 8;122(14):e2424051122. doi: 10.1073/pnas.2424051122. Epub 2025 Apr 2.
3
A stumbling block in pancreatic cancer treatment: drug resistance signaling networks.

本文引用的文献

1
Metastatic progression is associated with dynamic changes in the local microenvironment.转移进展与局部微环境的动态变化有关。
Nat Commun. 2016 Sep 15;7:12819. doi: 10.1038/ncomms12819.
2
Superior therapeutic efficacy of nab-paclitaxel over cremophor-based paclitaxel in locally advanced and metastatic models of human pancreatic cancer.在人胰腺癌局部晚期和转移模型中,纳米白蛋白结合型紫杉醇对比基于聚氧乙烯蓖麻油的紫杉醇具有更高的治疗效果。
Br J Cancer. 2016 Aug 9;115(4):442-53. doi: 10.1038/bjc.2016.215. Epub 2016 Jul 21.
3
SPARC-Independent Delivery of Nab-Paclitaxel without Depleting Tumor Stroma in Patient-Derived Pancreatic Cancer Xenografts.
胰腺癌治疗中的一个绊脚石:耐药信号网络。
Front Cell Dev Biol. 2025 Jan 13;12:1462808. doi: 10.3389/fcell.2024.1462808. eCollection 2024.
4
The Crosstalk Analysis between mPSCs and Panc1 Cells Identifies CCN1 as a Positive Regulator of Gemcitabine Sensitivity in Pancreatic Cancer Cells.mPSCs 与 Panc1 细胞的串扰分析确定 CCN1 是胰腺癌细胞中吉西他滨敏感性的正向调节剂。
Int J Mol Sci. 2024 Aug 29;25(17):9369. doi: 10.3390/ijms25179369.
5
Injectable hybrid hydrogels enable enhanced combination chemotherapy and roused anti-tumor immunity in the synergistic treatment of pancreatic ductal adenocarcinoma.可注射混合水凝胶可增强联合化疗,并在协同治疗胰腺导管腺癌中激发抗肿瘤免疫。
J Nanobiotechnology. 2024 Jun 20;22(1):353. doi: 10.1186/s12951-024-02646-7.
6
Prostate fibroblasts and prostate cancer associated fibroblasts exhibit different metabolic, matrix degradation and PD-L1 expression responses to hypoxia.前列腺成纤维细胞和前列腺癌相关成纤维细胞对缺氧表现出不同的代谢、基质降解和PD-L1表达反应。
Front Mol Biosci. 2024 Mar 22;11:1354076. doi: 10.3389/fmolb.2024.1354076. eCollection 2024.
7
Heterogeneity of primary and metastatic CAFs: From differential treatment outcomes to treatment opportunities (Review).原发和转移 CAFs 的异质性:从不同的治疗结果到治疗机会(综述)。
Int J Oncol. 2024 May;64(5). doi: 10.3892/ijo.2024.5642. Epub 2024 Apr 5.
8
Cytidine Deaminase Resolves Replicative Stress and Protects Pancreatic Cancer from DNA-Targeting Drugs.胞苷脱氨酶化解复制应激并保护胰腺癌免受 DNA 靶向药物的侵害。
Cancer Res. 2024 Apr 1;84(7):1013-1028. doi: 10.1158/0008-5472.CAN-22-3219.
9
Myofibroblastic cancer-associated fibroblast subtype heterogeneity in pancreatic cancer.胰腺癌中肌成纤维细胞癌相关成纤维细胞亚型的异质性
J Surg Oncol. 2024 Apr;129(5):860-868. doi: 10.1002/jso.27582. Epub 2024 Jan 17.
10
From complexity to clarity: unravelling tumor heterogeneity through the lens of tumor microenvironment for innovative cancer therapy.从复杂性到清晰度:通过肿瘤微环境的视角揭示肿瘤异质性,为创新癌症治疗提供思路。
Histochem Cell Biol. 2024 Apr;161(4):299-323. doi: 10.1007/s00418-023-02258-6. Epub 2024 Jan 8.
在患者来源的胰腺癌异种移植模型中,无基质金属蛋白酶组织抑制因子(SPARC)依赖的纳米白蛋白结合型紫杉醇递送,且不消耗肿瘤基质。
Mol Cancer Ther. 2016 Apr;15(4):680-8. doi: 10.1158/1535-7163.MCT-15-0764. Epub 2016 Feb 1.
4
Activated Schwann cells in pancreatic cancer are linked to analgesia via suppression of spinal astroglia and microglia.胰腺癌中激活的雪旺细胞通过抑制脊髓星形胶质细胞和小胶质细胞与镇痛有关。
Gut. 2016 Jun;65(6):1001-14. doi: 10.1136/gutjnl-2015-309784. Epub 2016 Jan 13.
5
Bruton Tyrosine Kinase-Dependent Immune Cell Cross-talk Drives Pancreas Cancer.布鲁顿酪氨酸激酶依赖的免疫细胞串扰驱动胰腺癌。
Cancer Discov. 2016 Mar;6(3):270-85. doi: 10.1158/2159-8290.CD-15-0827. Epub 2015 Dec 29.
6
IL35-Producing B Cells Promote the Development of Pancreatic Neoplasia.产生白细胞介素-35的B细胞促进胰腺肿瘤的发展。
Cancer Discov. 2016 Mar;6(3):247-55. doi: 10.1158/2159-8290.CD-15-0843. Epub 2015 Dec 29.
7
Hif1a Deletion Reveals Pro-Neoplastic Function of B Cells in Pancreatic Neoplasia.Hif1a缺失揭示了B细胞在胰腺肿瘤形成中的促肿瘤功能。
Cancer Discov. 2016 Mar;6(3):256-69. doi: 10.1158/2159-8290.CD-15-0822. Epub 2015 Dec 29.
8
T Cells Engineered against a Native Antigen Can Surmount Immunologic and Physical Barriers to Treat Pancreatic Ductal Adenocarcinoma.针对天然抗原设计的T细胞可克服免疫和物理屏障以治疗胰腺导管腺癌。
Cancer Cell. 2015 Nov 9;28(5):638-652. doi: 10.1016/j.ccell.2015.09.022. Epub 2015 Oct 29.
9
SPARC Expression Did Not Predict Efficacy of nab-Paclitaxel plus Gemcitabine or Gemcitabine Alone for Metastatic Pancreatic Cancer in an Exploratory Analysis of the Phase III MPACT Trial.在 III 期 MPACT 试验的探索性分析中,SPARC 表达并未预测 nab-紫杉醇联合吉西他滨或吉西他滨单独治疗转移性胰腺癌的疗效。
Clin Cancer Res. 2015 Nov 1;21(21):4811-8. doi: 10.1158/1078-0432.CCR-14-3222. Epub 2015 Jul 13.
10
Stromal biology and therapy in pancreatic cancer: a changing paradigm.胰腺癌中的基质生物学和治疗:范式转变。
Gut. 2015 Sep;64(9):1476-84. doi: 10.1136/gutjnl-2015-309304. Epub 2015 May 20.