Department of Bioengineering and iBB - Institute for Bioengineering and Biosciences, Instituto Superior Técnico, Universidade de Lisboa, Lisboa, Portugal.
Wake Forest Institute for Regenerative Medicine, Winston-Salem, NC USA.
Sci Rep. 2017 Feb 6;7:41934. doi: 10.1038/srep41934.
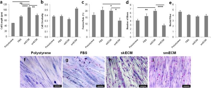
Patients with stress urinary incontinence mainly suffer from malfunction of the urethra closure mechanism. We established the decellularization of porcine urethras to produce acellular urethra bioscaffolds for future tissue engineering applications, using bioscaffolds or bioscaffold-derived soluble products. Cellular removal was evaluated by H&E, DAPI and DNA quantification. The presence of specific ECM proteins was assessed through immunofluorescence staining and colorimetric assay kits. Human skeletal muscle myoblasts, muscle progenitor cells and adipose-derived stromal vascular fractions were used to evaluate the recellularization of the acellular urethra bioscaffolds. The mechanochemical decellularization system removed ~93% of tissue's DNA, generally preserving ECM's components and microarchitecture. Recellularization was achieved, though methodological advances are required regarding cell seeding strategies and functional assessment. Through microdissection and partial digestion, different urethra ECM-derived coating substrates were formulated (i.e. containing smooth or skeletal muscle ECM) and used to culture MPCs in vitro. The skeletal muscle ECM substrates enhanced fiber formation leading to the expression of the main skeletal muscle-related proteins and genes, as confirmed by immunofluorescence and RT-qPCR. The described methodology produced a urethra bioscaffold that retained vital ECM proteins and was liable to cell repopulation, a crucial first step towards the generation of urethra bioscaffold-based Tissue Engineering products.
压力性尿失禁患者主要患有尿道闭合机制功能障碍。我们通过细胞去除技术,建立了猪尿道脱细胞化处理,以生产用于未来组织工程应用的无细胞尿道生物支架,包括生物支架或生物支架衍生的可溶性产物。通过 H&E、DAPI 和 DNA 定量评估细胞去除效果。通过免疫荧光染色和比色分析试剂盒评估特定 ECM 蛋白的存在。我们使用人类骨骼肌成肌细胞、肌肉祖细胞和脂肪来源的基质血管部分来评估无细胞尿道生物支架的再细胞化。机械化学脱细胞系统去除了组织中约 93%的 DNA,通常保留了 ECM 的成分和微观结构。实现了再细胞化,但在细胞接种策略和功能评估方面还需要进一步的方法学改进。通过微切割和部分消化,我们配制了不同的尿道 ECM 衍生涂层基质(即含有平滑肌或骨骼肌 ECM),并用于体外培养 MPCs。骨骼肌 ECM 基质促进了纤维形成,导致主要的骨骼肌相关蛋白和基因的表达,这通过免疫荧光和 RT-qPCR 得到了证实。所描述的方法产生了一种保留重要 ECM 蛋白并易于细胞再填充的尿道生物支架,这是生成基于尿道生物支架的组织工程产品的关键的第一步。