Suppr超能文献

USP9x 通过调控 Ets-1 的泛素化和稳定性来控制黑色素瘤中的 NRAS 表达和致瘤性。

Usp9x regulates Ets-1 ubiquitination and stability to control NRAS expression and tumorigenicity in melanoma.

机构信息

Department of Internal Medicine/Division of Hematology/Oncology, University of Michigan School of Medicine and Comprehensive Cancer Center, Ann Arbor, Michigan 48109, USA.

Department of Periodontics and Oral Medicine, University of Michigan School of Dentistry, Ann Arbor, Michigan 48109, USA.

出版信息

Nat Commun. 2017 Feb 15;8:14449. doi: 10.1038/ncomms14449.

Abstract

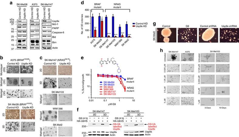
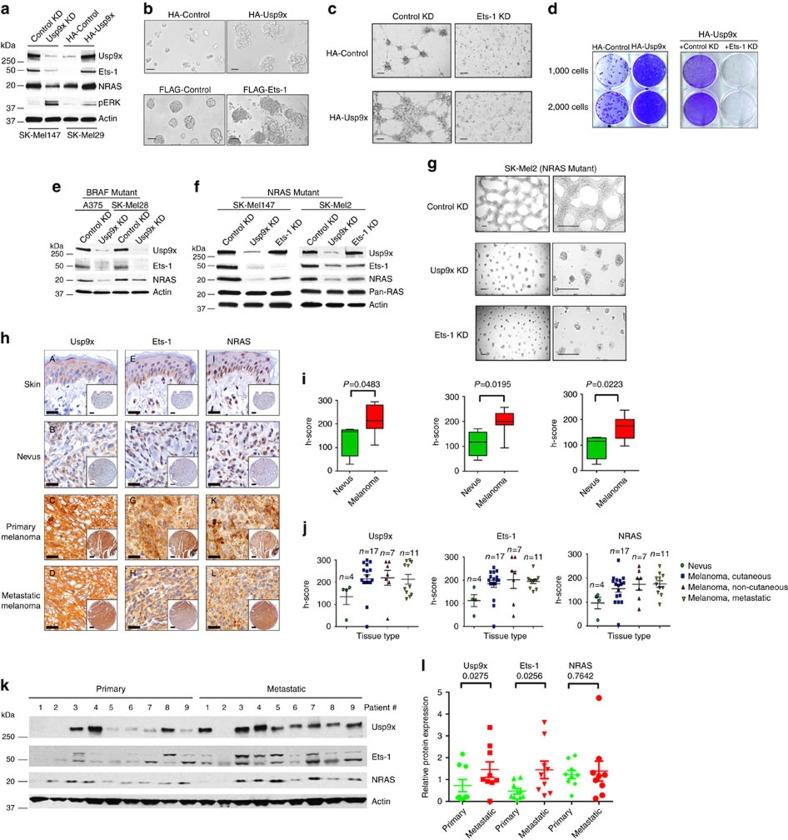
ETS transcription factors are commonly deregulated in cancer by chromosomal translocation, overexpression or post-translational modification to induce gene expression programs essential in tumorigenicity. Targeted destruction of these proteins may have therapeutic impact. Here we report that Ets-1 destruction is regulated by the deubiquitinating enzyme, Usp9x, and has major impact on the tumorigenic program of metastatic melanoma. Ets-1 deubiquitination blocks its proteasomal destruction and enhances tumorigenicity, which could be reversed by Usp9x knockdown or inhibition. Usp9x and Ets-1 levels are coincidently elevated in melanoma with highest levels detected in metastatic tumours versus normal skin or benign skin lesions. Notably, Ets-1 is induced by BRAF or MEK kinase inhibition, resulting in increased NRAS expression, which could be blocked by inactivation of Usp9x and therapeutic combination of Usp9x and MEK inhibitor fully suppressed melanoma growth. Thus, Usp9x modulates the Ets-1/NRAS regulatory network and may have biologic and therapeutic implications.

摘要

ETS 转录因子在癌症中通常通过染色体易位、过表达或翻译后修饰而失调,从而诱导肿瘤发生所必需的基因表达程序。靶向这些蛋白质的破坏可能具有治疗作用。在这里,我们报告 Ets-1 的破坏受去泛素化酶 Usp9x 调节,并且对转移性黑色素瘤的致瘤程序有重大影响。Ets-1 的去泛素化阻止了其蛋白酶体的破坏并增强了致瘤性,这可以通过 Usp9x 的敲低或抑制来逆转。Usp9x 和 Ets-1 的水平在黑色素瘤中升高,在转移性肿瘤中检测到的水平最高,而在正常皮肤或良性皮肤病变中检测到的水平较低。值得注意的是,Ets-1 是由 BRAF 或 MEK 激酶抑制诱导的,导致 NRAS 表达增加,这可以通过 Usp9x 的失活和 Usp9x 与 MEK 抑制剂的联合治疗来阻断,从而完全抑制黑色素瘤的生长。因此,Usp9x 调节 Ets-1/NRAS 调控网络,可能具有生物学和治疗意义。

https://cdn.ncbi.nlm.nih.gov/pmc/blobs/260c/5316860/c3065af9e0dd/ncomms14449-f1.jpg

文献检索

告别复杂PubMed语法,用中文像聊天一样搜索,搜遍4000万医学文献。AI智能推荐,让科研检索更轻松。

立即免费搜索

文件翻译

保留排版,准确专业,支持PDF/Word/PPT等文件格式,支持 12+语言互译。

免费翻译文档

深度研究

AI帮你快速写综述,25分钟生成高质量综述,智能提取关键信息,辅助科研写作。

立即免费体验