Botti Gerardo, Fratangelo Federica, Cerrone Margherita, Liguori Giuseppina, Cantile Monica, Anniciello Anna Maria, Scala Stefania, D'Alterio Crescenzo, Trimarco Chiara, Ianaro Angela, Cirino Giuseppe, Caracò Corrado, Colombino Maria, Palmieri Giuseppe, Pepe Stefano, Ascierto Paolo Antonio, Sabbatino Francesco, Scognamiglio Giosuè
Dipartimento di Patologia Diagnostica e di Laboratorio: SC di Anatomia Patologica e Citopatologia, Istituto Nazionale Tumori IRCCS Fondazione "G. Pascale", Via Mariano Semmola, 80131, Naples, Italy.
Struttura Complessa di Oncologia Medica e Terapie Innovative, Istituto Nazionale Tumori IRCCS Fondazione "G. Pascale", Via Mariano Semmola, 80131, Naples, Italy.
J Transl Med. 2017 Feb 23;15(1):46. doi: 10.1186/s12967-017-1150-7.
The resistance to PD-1/PD-L1 inhibitors for the treatment of melanoma have prompted investigators to implement novel clinical trials which combine immunotherapy with different treatment modalities. Moreover is also important to investigate the mechanisms which regulate the dynamic expression of PD-L1 on tumor cells and PD-1 on T cells in order to identify predictive biomarkers of response. COX-2 is currently investigated as a major player of tumor progression in several type of malignancies including melanoma. In the present study we investigated the potential relationship between COX-2 and PD-L1 expression in melanoma.
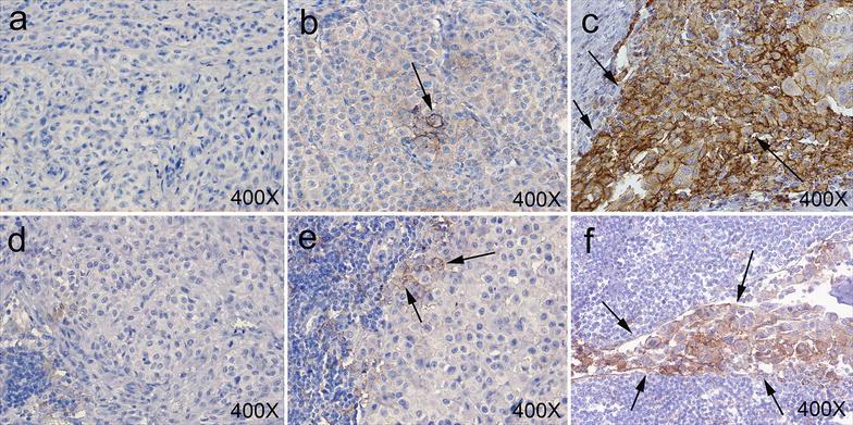
Tumor samples obtained from primary melanoma lesions and not matched lymph node metastases were analyzed for both PD-L1 and COX-2 expression by IHC analysis. Status of BRAF and NRAS mutations was analyzed by sequencing and PCR. Co-localization of PD-L1 and COX-2 expression was analyzed by double fluorescence staining. Lastly the BRAF A375 and NRAS SK-MEL-2 melanoma cell lines were used to evaluate the effect of COX-2 inhibition by celecoxib on expression of PD-L1 in vitro.
BRAF and NRAS were detected in 57.8 and 8.9% of the metastatic lesions, and in 65.9 and 6.8% of the primary tumors, respectively. PD-L1 and COX-2 expression were heterogeneously expressed in both primary melanoma lesions and not matched lymph node metastases. A significantly lower number of PD-L1 negative lesions was found in primary tumors as compared to not matched metastatic lesions (P = 0.002). COX-2 expression significantly correlated with PD-L1 expression in both primary (P = 0.001) and not matched metastatic (P = 0.048) lesions. Furthermore, in melanoma tumors, cancer cells expressing a higher levels of COX-2 also co-expressed a higher level of PD-L1. Lastly, inhibition of COX-2 activity by celecoxib down-regulated the expression of PD-L1 in both BRAF A375 and NRAS SK-MEL-2 melanoma cell lines.
COX-2 expression correlates with and modulates PD-L1 expression in melanoma cells. These findings have clinical relevance since they provide a rationale to implement novel clinical trials to test COX-2 inhibition as a potential treatment to prevent melanoma progression and immune evasion as well as to enhance the anti-tumor activity of PD-1/PD-L1 based immunotherapy for the treatment of melanoma patients with or without BRAF/NRAS mutations.
黑色素瘤治疗中对PD-1/PD-L1抑制剂产生的耐药性促使研究人员开展新的临床试验,将免疫疗法与不同治疗方式相结合。此外,研究调节肿瘤细胞上PD-L1和T细胞上PD-1动态表达的机制对于确定反应预测生物标志物也很重要。COX-2目前被研究为包括黑色素瘤在内的几种恶性肿瘤中肿瘤进展的主要参与者。在本研究中,我们调查了黑色素瘤中COX-2与PD-L1表达之间的潜在关系。
通过免疫组化分析对取自原发性黑色素瘤病灶及不匹配的淋巴结转移灶的肿瘤样本进行PD-L1和COX-2表达分析。通过测序和PCR分析BRAF和NRAS突变状态。通过双重荧光染色分析PD-L1和COX-2表达的共定位。最后,使用BRAF A375和NRAS SK-MEL-2黑色素瘤细胞系评估塞来昔布抑制COX-2活性对体外PD-L1表达的影响。
BRAF和NRAS分别在57.8%和8.9%的转移病灶以及65.9%和6.8%的原发性肿瘤中被检测到。PD-L1和COX-2表达在原发性黑色素瘤病灶及不匹配的淋巴结转移灶中均呈异质性表达。与不匹配的转移病灶相比,原发性肿瘤中PD-L1阴性病灶数量显著更少(P = 0.002)。在原发性(P = 0.001)和不匹配的转移(P = 0.048)病灶中,COX-2表达均与PD-L1表达显著相关。此外,在黑色素瘤肿瘤中,COX-2表达水平较高的癌细胞也共表达较高水平的PD-L1。最后,塞来昔布抑制COX-2活性可下调BRAF A375和NRAS SK-MEL-2黑色素瘤细胞系中PD-L1的表达。
COX-2表达与黑色素瘤细胞中PD-L1表达相关并对其有调节作用。这些发现具有临床相关性,因为它们为开展新的临床试验提供了理论依据,以测试抑制COX-2作为预防黑色素瘤进展和免疫逃逸以及增强基于PD-1/PD-L1的免疫疗法对有或无BRAF/NRAS突变的黑色素瘤患者抗肿瘤活性的潜在治疗方法。