Suppr超能文献

免疫缺陷恒河猴中的播散性巨细胞病毒感染

Disseminated cytomegalovirus infection in immunodeficient rhesus monkeys.

作者信息

Baskin G B

机构信息

Department of Pathology, Delta Regional Primate Research Center, Tulane University, Covington, LA 70433.

出版信息

Am J Pathol. 1987 Nov;129(2):345-52.

Abstract

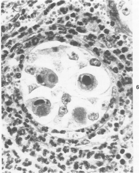
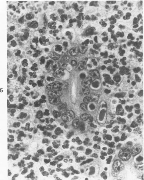
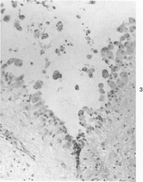
Rhesus monkeys experimentally infected with the lentivirus SIV/Delta become immunodeficient and often die of opportunistic infections. The most frequent of these is cytomegalovirus (CMV). The lesions due to reactivated CMV infection in 14 SIV-infected monkeys were reviewed. Changes due to CMV were observed in the brain, lung, lymph node, liver, spleen, small intestine, testicle, nerves, and arteries. Disseminated CMV infection in immunodeficient rhesus monkeys is a useful model for studying the pathogenesis, treatment, and prevention of similar infections in immunodeficient human beings.

摘要

实验感染慢病毒SIV/Delta的恒河猴会出现免疫缺陷,常死于机会性感染。其中最常见的是巨细胞病毒(CMV)。回顾了14只感染SIV的猴子因CMV感染再激活而出现的病变。在脑、肺、淋巴结、肝、脾、小肠、睾丸、神经和动脉中观察到了由CMV引起的变化。免疫缺陷恒河猴中的播散性CMV感染是研究免疫缺陷人类中类似感染的发病机制、治疗和预防的有用模型。

https://cdn.ncbi.nlm.nih.gov/pmc/blobs/6e41/1899714/9aa9438cb02c/amjpathol00140-0154-a.jpg

文献检索

告别复杂PubMed语法,用中文像聊天一样搜索,搜遍4000万医学文献。AI智能推荐,让科研检索更轻松。

立即免费搜索

文件翻译

保留排版,准确专业,支持PDF/Word/PPT等文件格式,支持 12+语言互译。

免费翻译文档

深度研究

AI帮你快速写综述,25分钟生成高质量综述,智能提取关键信息,辅助科研写作。

立即免费体验