Suppr超能文献

双侧同步散发性肾细胞癌的手术策略——一所中国大学医院的经验

Surgical strategy of bilateral synchronous sporadic renal cell carcinoma-experience of a Chinese university hospital.

作者信息

Hu Xiao-Yi, Xu Lei, Guo Jian-Ming, Wang Hang

机构信息

Department of Urology, Zhongshan Hospital, Fudan University, 180 Fenglin Rd, Shanghai, 200032, China.

出版信息

World J Surg Oncol. 2017 Feb 28;15(1):53. doi: 10.1186/s12957-016-1071-6.

Abstract

BACKGROUND

The objective of this study is to investigate the optimal therapeutic protocol for BSSRCC.

METHODS

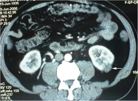
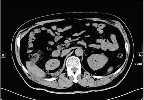
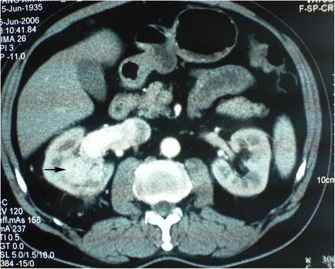
A total of 32 BSSRCC patients, including 28 males and 4 females, were enrolled the study from January 2004 to May 2016. The diagnoses were defined by the measurements of CT, ultrasound, and MRI. Patients with hereditary syndrome were excluded. The management of surgical manner, operation staging, and sequence were scheduled in accordance with the tumor's location and size (based on Zhongshan score, ZS score), as well as the performance status of the patients. Among them, 8 cases were conducted with bilateral surgical procedure simultaneously and 24 cases were implemented with staged operations. NSS on the one side with contralateral RN, and NSS on both sides were performed in 17 and 15 patients separately.

RESULTS

Thirty cases were conducted 56 operations in total. The average operation time was 260 ± 52 min in simultaneous operations and 162 ± 40 min in staged operations. The length of hospital stay in average was 11.5 ± 1.8 and 7.5 ± 1.4 days, respectively. Twenty-eight cases were followed up by 6-138 months. The level of creatinine was elevated in 5 cases without hemodialysis conducted.

CONCLUSIONS

The location and size of the carcinomas, and the performance status of patients should be considered in determination of an appropriate surgical approach. Both renal function preservation and tumor eradication were similarly critical, whereas the latter is of more importance. ZS score may be helpful in the dilemma. Longer follow-up period and more patient enrolment are required.

摘要

背景

本研究的目的是探讨膀胱软斑症相关肾细胞癌(BSSRCC)的最佳治疗方案。

方法

2004年1月至2016年5月,共纳入32例BSSRCC患者,其中男性28例,女性4例。通过CT、超声和MRI测量进行诊断。排除患有遗传性综合征的患者。根据肿瘤的位置和大小(基于中山评分,ZS评分)以及患者的体能状态安排手术方式、手术分期和顺序。其中,8例同时进行双侧手术,24例进行分期手术。17例患者行一侧保留肾单位手术(NSS)并对侧肾切除术(RN),15例患者行双侧NSS。

结果

30例患者共进行了56次手术。同期手术的平均手术时间为260±52分钟,分期手术为162±40分钟。平均住院时间分别为11.5±1.8天和7.5±1.4天。28例患者接受了6至138个月的随访。5例患者肌酐水平升高,未进行血液透析。

结论

确定合适的手术方式时应考虑癌灶的位置和大小以及患者的体能状态。肾功能保留和肿瘤切除同样重要,但后者更为关键。ZS评分可能有助于解决这一难题。需要更长的随访期和更多的患者入组。

https://cdn.ncbi.nlm.nih.gov/pmc/blobs/fd8b/5331631/6debbc395e75/12957_2016_1071_Fig1_HTML.jpg

文献AI研究员

20分钟写一篇综述,助力文献阅读效率提升50倍。

立即体验

用中文搜PubMed

大模型驱动的PubMed中文搜索引擎

马上搜索

文档翻译

学术文献翻译模型,支持多种主流文档格式。

立即体验