Department of Urology and Renal Transplantation, SMS Medical College & Attached Hospitals, Jaipur, India.
Department of Pathology, SMS Medical College & Attached Hospitals, Jaipur, India.
Investig Clin Urol. 2017 Mar;58(2):117-126. doi: 10.4111/icu.2017.58.2.117. Epub 2017 Feb 8.
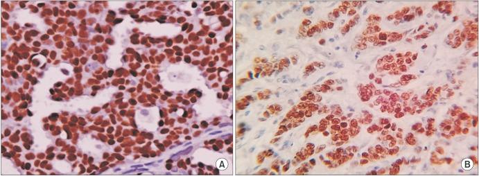
Estrogens act through interaction with 2 receptor subtypes, ER alpha (ERα) and ER beta (ERβ), in human prostate. The aim of the present study was to semiquantitatively assess the differential expression of ER subtypes in human benign prostatic hyperplasia (BPH) by use of immunocytochemistry (IHC) methods and to explore their relationship with various measures of BPH.
A total of 45 patients with BPH undergoing transurethral resection of the prostate and 22 patients with bladder cancer with normal prostate undergoing surveillance cystoscopy were studied as cases and controls, respectively. Quantitative immunolabeling of ER subtypes was scored by use of a semiquantitative scale. Also, correlations were assessed between ER levels in prostate and various measures of BPH.
Overall, we found strong immunostaining for ERα in stroma and for ERβ in epithelium, respectively. The IHC score for ERα differed significantly between BPH patients and controls in both stroma (p≤0.001) and epithelium (p=0.008), respectively. The ERβ IHC score was also significantly higher in the epithelium of BPH patients (p=0.01). Also, we found a significant correlation between prostatic ER levels and various clinical measures of BPH.
ERs may play an important role in the pathogenesis of BPH.
雌激素通过与人类前列腺中的 2 种受体亚型 ERα(ERα)和 ERβ(ERβ)相互作用发挥作用。本研究旨在通过免疫细胞化学(IHC)方法半定量评估 ER 亚型在人良性前列腺增生(BPH)中的差异表达,并探讨其与 BPH 的各种测量指标的关系。
共纳入 45 例因经尿道前列腺切除术而接受治疗的 BPH 患者和 22 例因膀胱癌且前列腺正常而接受监测膀胱镜检查的患者作为病例和对照组。使用半定量评分对 ER 亚型的免疫标记进行定量评分。还评估了前列腺中 ER 水平与 BPH 各种测量指标之间的相关性。
总体而言,我们分别在基质中发现了 ERα 的强免疫染色,在上皮中发现了 ERβ 的强免疫染色。在基质(p≤0.001)和上皮(p=0.008)中,BPH 患者和对照组之间的 ERα IHC 评分均有显著差异。在 BPH 患者的上皮中,ERβ IHC 评分也显著升高(p=0.01)。此外,我们还发现前列腺 ER 水平与 BPH 的各种临床测量指标之间存在显著相关性。
ER 可能在 BPH 的发病机制中发挥重要作用。