• 文献检索
  • 文档翻译
  • 深度研究
  • 学术资讯
  • Suppr Zotero 插件Zotero 插件
  • 邀请有礼
  • 套餐&价格
  • 历史记录
应用&插件
Suppr Zotero 插件Zotero 插件浏览器插件Mac 客户端Windows 客户端微信小程序
定价
高级版会员购买积分包购买API积分包
服务
文献检索文档翻译深度研究API 文档MCP 服务
关于我们
关于 Suppr公司介绍联系我们用户协议隐私条款
关注我们

Suppr 超能文献

核心技术专利:CN118964589B侵权必究
粤ICP备2023148730 号-1Suppr @ 2026

文献检索

告别复杂PubMed语法,用中文像聊天一样搜索,搜遍4000万医学文献。AI智能推荐,让科研检索更轻松。

立即免费搜索

文件翻译

保留排版,准确专业,支持PDF/Word/PPT等文件格式,支持 12+语言互译。

免费翻译文档

深度研究

AI帮你快速写综述,25分钟生成高质量综述,智能提取关键信息,辅助科研写作。

立即免费体验

丙型肝炎病毒NS3蛋白通过促进PPM1A泛素化和降解增强肝癌细胞侵袭。

Hepatitis C virus NS3 protein enhances hepatocellular carcinoma cell invasion by promoting PPM1A ubiquitination and degradation.

作者信息

Zhou Yali, Zhao Yan, Gao Yaoying, Hu Wenjun, Qu Yan, Lou Ning, Zhu Ying, Zhang Xiaoping, Yang Hongmei

机构信息

Department of Pathogenic Biology, School of Basic Medicine, Tongji Medical College, Huazhong University of Science and Technology, Wuhan, 430030, Hubei Province, China.

Department of Urology, Union Hospital, Tongji Medical College, Huazhong University of Science and Technology, Wuhan, 430022, Hubei Province, China.

出版信息

J Exp Clin Cancer Res. 2017 Mar 10;36(1):42. doi: 10.1186/s13046-017-0510-8.

DOI:10.1186/s13046-017-0510-8
PMID:28283039
原文链接:https://pmc.ncbi.nlm.nih.gov/articles/PMC5345236/
Abstract

BACKGROUND

Growing evidence suggests that hepatitis C virus (HCV) contributes to hepatocellular carcinoma (HCC) by directly modulating oncogenic signaling pathways. Protein phosphatase magnesium-dependent 1A (PPM1A) has recently emerged as an important tumor suppressor as it can block a range of tumor-centric signaling pathways through protein dephosphorylation. However, the role and regulatory mechanisms of PPM1A in HCV-infected cells have not been reported.

METHODS

Total, cytoplasmic, and nuclear PPM1A protein after HCV infection or overexpression of HCV nonstructural protein 3 (NS3) were detected by western blotting. The expression of PPM1A in normal liver and HCV-related HCC tissues was quantified by immunohistochemistry. The effects of HCV infection and NS3 expression on the PPM1A protein level were systematically analyzed, and the ubiquitination level of PPM1A was determined by precipitation with anti-PPM1A and immunoblotting with either anti-ubiquitin or anti-PPM1A antibody. Finally, the roles of NS3 and PPM1A in hepatoma cell migration and invasion were assessed by wound healing and transwell assays, respectively.

RESULTS

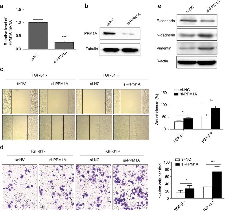
HCV infection and replication decreased PPM1A abundance, mediated by NS3, in hepatoma cells. Compared to normal liver tissues, the expression of PPM1A was significantly decreased in the HCC tumor tissues and adjacent non-tumor tissues. NS3 directly interacted with PPM1A to promote PPM1A ubiquitination and degradation, which was dependent on its protease domain. Blockade of PPM1A through small interfering RNA significantly promoted HCC cell migration, invasion, and epithelial mesenchymal transition (EMT), which were further intensified by TGF-β1 stimulation, in vitro. Furthermore, restoration of PPM1A abrogated the NS3-mediated promotion of HCC migration and invasion to a great extent, which was dependent on its protein phosphatase function.

CONCLUSIONS

Our findings demonstrate that the HCV protein NS3 can downregulate PPM1A by promoting its ubiquitination and proteasomal degradation, which might contribute to the migration and invasion of hepatoma cells and may represent a new strategy of HCV in carcinogenesis.

摘要

背景

越来越多的证据表明,丙型肝炎病毒(HCV)通过直接调节致癌信号通路促进肝细胞癌(HCC)的发生。蛋白磷酸酶镁依赖1A(PPM1A)最近已成为一种重要的肿瘤抑制因子,因为它可以通过蛋白质去磷酸化阻断一系列以肿瘤为中心的信号通路。然而,PPM1A在HCV感染细胞中的作用和调控机制尚未见报道。

方法

通过蛋白质印迹法检测HCV感染或HCV非结构蛋白3(NS3)过表达后总的、细胞质和细胞核中的PPM1A蛋白。通过免疫组织化学法定量分析正常肝脏和HCV相关HCC组织中PPM1A的表达。系统分析HCV感染和NS3表达对PPM1A蛋白水平的影响,并通过抗PPM1A沉淀和抗泛素或抗PPM1A抗体免疫印迹法测定PPM1A的泛素化水平。最后,分别通过伤口愈合试验和Transwell试验评估NS3和PPM1A在肝癌细胞迁移和侵袭中的作用。

结果

HCV感染和复制通过NS3介导降低了肝癌细胞中PPM1A的丰度。与正常肝脏组织相比,HCC肿瘤组织和相邻非肿瘤组织中PPM1A的表达明显降低。NS3直接与PPM1A相互作用,促进PPM1A的泛素化和降解,这依赖于其蛋白酶结构域。通过小干扰RNA阻断PPM1A在体外显著促进HCC细胞迁移、侵袭和上皮间质转化(EMT),TGF-β1刺激可进一步增强这些作用。此外,PPM1A的恢复在很大程度上消除了NS3介导的对HCC迁移和侵袭的促进作用,这依赖于其蛋白磷酸酶功能。

结论

我们的研究结果表明,HCV蛋白NS3可通过促进PPM1A的泛素化和蛋白酶体降解而下调PPM1A,这可能有助于肝癌细胞的迁移和侵袭,并且可能代表了HCV在致癌过程中的一种新策略。

https://cdn.ncbi.nlm.nih.gov/pmc/blobs/270a/5345236/b6ebeb434c7a/13046_2017_510_Fig6_HTML.jpg
https://cdn.ncbi.nlm.nih.gov/pmc/blobs/270a/5345236/88c75b7c39d1/13046_2017_510_Fig1_HTML.jpg
https://cdn.ncbi.nlm.nih.gov/pmc/blobs/270a/5345236/a5c257560ede/13046_2017_510_Fig2_HTML.jpg
https://cdn.ncbi.nlm.nih.gov/pmc/blobs/270a/5345236/46a2f83638f0/13046_2017_510_Fig3_HTML.jpg
https://cdn.ncbi.nlm.nih.gov/pmc/blobs/270a/5345236/1e4b9ef185ca/13046_2017_510_Fig4_HTML.jpg
https://cdn.ncbi.nlm.nih.gov/pmc/blobs/270a/5345236/76a0ee36eec0/13046_2017_510_Fig5_HTML.jpg
https://cdn.ncbi.nlm.nih.gov/pmc/blobs/270a/5345236/b6ebeb434c7a/13046_2017_510_Fig6_HTML.jpg
https://cdn.ncbi.nlm.nih.gov/pmc/blobs/270a/5345236/88c75b7c39d1/13046_2017_510_Fig1_HTML.jpg
https://cdn.ncbi.nlm.nih.gov/pmc/blobs/270a/5345236/a5c257560ede/13046_2017_510_Fig2_HTML.jpg
https://cdn.ncbi.nlm.nih.gov/pmc/blobs/270a/5345236/46a2f83638f0/13046_2017_510_Fig3_HTML.jpg
https://cdn.ncbi.nlm.nih.gov/pmc/blobs/270a/5345236/1e4b9ef185ca/13046_2017_510_Fig4_HTML.jpg
https://cdn.ncbi.nlm.nih.gov/pmc/blobs/270a/5345236/76a0ee36eec0/13046_2017_510_Fig5_HTML.jpg
https://cdn.ncbi.nlm.nih.gov/pmc/blobs/270a/5345236/b6ebeb434c7a/13046_2017_510_Fig6_HTML.jpg

相似文献

1
Hepatitis C virus NS3 protein enhances hepatocellular carcinoma cell invasion by promoting PPM1A ubiquitination and degradation.丙型肝炎病毒NS3蛋白通过促进PPM1A泛素化和降解增强肝癌细胞侵袭。
J Exp Clin Cancer Res. 2017 Mar 10;36(1):42. doi: 10.1186/s13046-017-0510-8.
2
TRIM52 up-regulation in hepatocellular carcinoma cells promotes proliferation, migration and invasion through the ubiquitination of PPM1A.TRIM52 在肝癌细胞中的上调通过泛素化 PPM1A 促进增殖、迁移和侵袭。
J Exp Clin Cancer Res. 2018 Jun 13;37(1):116. doi: 10.1186/s13046-018-0780-9.
3
Hepatitis B virus X protein amplifies TGF-β promotion on HCC motility through down-regulating PPM1a.乙型肝炎病毒X蛋白通过下调PPM1a增强转化生长因子-β对肝癌细胞运动性的促进作用。
Oncotarget. 2016 May 31;7(22):33125-35. doi: 10.18632/oncotarget.8884.
4
Hepatitis C virus NS3 protein enhances cancer cell invasion by activating matrix metalloproteinase-9 and cyclooxygenase-2 through ERK/p38/NF-κB signal cascade.丙型肝炎病毒 NS3 蛋白通过 ERK/p38/NF-κB 信号级联激活基质金属蛋白酶-9 和环氧化酶-2 促进癌细胞侵袭。
Cancer Lett. 2015 Jan 28;356(2 Pt B):470-8. doi: 10.1016/j.canlet.2014.09.027. Epub 2014 Oct 8.
5
Osteopontin Regulates Hepatitis C Virus (HCV) Replication and Assembly by Interacting with HCV Proteins and Lipid Droplets and by Binding to Receptors αVβ3 and CD44.骨桥蛋白通过与 HCV 蛋白和脂滴相互作用,并与受体 αVβ3 和 CD44 结合,调节丙型肝炎病毒 (HCV) 的复制和组装。
J Virol. 2018 Jun 13;92(13). doi: 10.1128/JVI.02116-17. Print 2018 Jul 1.
6
Hepatitis B Virus-Encoded MicroRNA (HBV-miR-3) Regulates Host Gene PPM1A Related to Hepatocellular Carcinoma.乙型肝炎病毒编码的 microRNA (HBV-miR-3) 调控与肝细胞癌相关的宿主基因 PPM1A。
Microrna. 2020;9(3):232-239. doi: 10.2174/2211536608666191104105334.
7
Hepatitis C virus NS3 protein modulates the biological behaviors of malignant hepatocytes by altering the expression of host cell microRNA.丙型肝炎病毒NS3蛋白通过改变宿主细胞微小RNA的表达来调节恶性肝细胞的生物学行为。
Mol Med Rep. 2015 Oct;12(4):5109-15. doi: 10.3892/mmr.2015.4041. Epub 2015 Jul 3.
8
Nonstructural 3 Protein of Hepatitis C Virus Modulates the Tribbles Homolog 3/Akt Signaling Pathway for Persistent Viral Infection.丙型肝炎病毒非结构蛋白3通过调节Tribbles同源物3/Akt信号通路实现病毒持续感染
J Virol. 2016 Jul 27;90(16):7231-7247. doi: 10.1128/JVI.00326-16. Print 2016 Aug 15.
9
Hepatitis C virus/human interactome identifies SMURF2 and the viral protease as critical elements for the control of TGF-β signaling.丙型肝炎病毒/人类相互作用组鉴定 SMURF2 和病毒蛋白酶为控制 TGF-β 信号的关键因素。
FASEB J. 2013 Oct;27(10):4027-40. doi: 10.1096/fj.13-229187. Epub 2013 Jun 18.
10
Hepatitis C Virus Enhances the Invasiveness of Hepatocellular Carcinoma via EGFR-Mediated Invadopodia Formation and Activation.丙型肝炎病毒通过 EGFR 介导的侵袭伪足形成和激活增强肝癌细胞的侵袭性。
Cells. 2019 Nov 5;8(11):1395. doi: 10.3390/cells8111395.

引用本文的文献

1
NS3 of hepatitis C virus drives hepatocellular carcinoma progression through a novel RNA-interference pathway.丙型肝炎病毒的NS3通过一条新的RNA干扰途径推动肝细胞癌进展。
J Cell Commun Signal. 2025 Apr 12;19(2):e70013. doi: 10.1002/ccs3.70013. eCollection 2025 Jun.
2
Enhancing HCV NS3 Inhibitor Classification with Optimized Molecular Fingerprints Using Random Forest.利用随机森林通过优化分子指纹增强丙型肝炎病毒NS3抑制剂分类
Int J Mol Sci. 2025 Mar 17;26(6):2680. doi: 10.3390/ijms26062680.
3
Bioinformatics and Experimental Insights Into miR-182, hsa_circ_0070269, and circ-102,166 as Therapeutic Targets for HCV-Associated HCC.

本文引用的文献

1
Emerging role of epithelial-mesenchymal transition in hepatic cancer.上皮-间质转化在肝癌中的新作用。
J Exp Clin Cancer Res. 2016 Sep 13;35(1):141. doi: 10.1186/s13046-016-0419-7.
2
Overexpression of CTNND1 in hepatocellular carcinoma promotes carcinous characters through activation of Wnt/β-catenin signaling.CTNND1在肝细胞癌中的过表达通过激活Wnt/β-连环蛋白信号传导促进癌性特征。
J Exp Clin Cancer Res. 2016 May 18;35(1):82. doi: 10.1186/s13046-016-0344-9.
3
Hepatitis B virus X protein amplifies TGF-β promotion on HCC motility through down-regulating PPM1a.
生物信息学和实验洞察 miR-182、hsa_circ_0070269 和 circ-102,166 作为 HCV 相关 HCC 的治疗靶点。
Cancer Rep (Hoboken). 2024 Dec;7(12):e70049. doi: 10.1002/cnr2.70049.
4
From viruses to cancer: exploring the role of the hepatitis C virus NS3 protein in carcinogenesis.从病毒到癌症:探索丙型肝炎病毒NS3蛋白在致癌过程中的作用
Infect Agent Cancer. 2024 Aug 27;19(1):40. doi: 10.1186/s13027-024-00606-2.
5
A Comprehensive Insight and In Silico Analysis of CircRNAs in Hepatocellular Carcinoma: A Step toward ncRNA-Based Precision Medicine.环状 RNA 在前肝癌中的全面观察及计算机分析:ncRNA 为基础的精准医疗的一步。
Cells. 2024 Jul 24;13(15):1245. doi: 10.3390/cells13151245.
6
Hepatocellular Carcinoma: Prevention, Diagnosis, and Treatment.肝细胞癌:预防、诊断和治疗。
Med Princ Pract. 2024;33(5):414-423. doi: 10.1159/000539349. Epub 2024 May 21.
7
The development of a novel zeolite-based assay for efficient and deep plasma proteomic profiling.开发一种新型基于沸石的测定法,用于高效和深度的血浆蛋白质组学分析。
J Nanobiotechnology. 2024 Apr 10;22(1):164. doi: 10.1186/s12951-024-02404-9.
8
HCV and HCC Tango-Deciphering the Intricate Dance of Disease: A Review Article.丙型肝炎病毒和肝细胞癌的探戈舞步——疾病复杂性的解析:一篇综述文章。
Int J Mol Sci. 2023 Nov 7;24(22):16048. doi: 10.3390/ijms242216048.
9
Hepatocellular Carcinoma: Current Therapeutic Algorithm for Localized and Advanced Disease.肝细胞癌:局限性和晚期疾病的当前治疗方案
J Oncol. 2022 Dec 31;2022:3817724. doi: 10.1155/2022/3817724. eCollection 2022.
10
Nucleo-Cytoplasmic Transport of ZIKV Non-Structural 3 Protein Is Mediated by Importin-α/β and Exportin CRM-1.寨卡病毒非结构蛋白 3 的核质转运由 Importin-α/β 和 Exportin CRM-1 介导。
J Virol. 2023 Jan 31;97(1):e0177322. doi: 10.1128/jvi.01773-22. Epub 2022 Dec 8.
乙型肝炎病毒X蛋白通过下调PPM1a增强转化生长因子-β对肝癌细胞运动性的促进作用。
Oncotarget. 2016 May 31;7(22):33125-35. doi: 10.18632/oncotarget.8884.
4
Diminished viral replication and compartmentalization of hepatitis C virus in hepatocellular carcinoma tissue.肝细胞癌组织中丙型肝炎病毒的病毒复制减少及分隔化
Proc Natl Acad Sci U S A. 2016 Feb 2;113(5):1375-80. doi: 10.1073/pnas.1516879113. Epub 2016 Jan 19.
5
The hepatitis C virus protein NS3 suppresses TNF-α-stimulated activation of NF-κB by targeting LUBAC.丙型肝炎病毒蛋白NS3通过靶向线性泛素链组装复合物(LUBAC)来抑制肿瘤坏死因子-α(TNF-α)刺激的核因子κB(NF-κB)激活。
Sci Signal. 2015 Nov 17;8(403):ra118. doi: 10.1126/scisignal.aab2159.
6
Hepatitis C virus core protein modulates pRb2/p130 expression in human hepatocellular carcinoma cell lines through promoter methylation.丙型肝炎病毒核心蛋白通过启动子甲基化调节人肝癌细胞系中pRb2/p130的表达。
J Exp Clin Cancer Res. 2015 Nov 14;34:140. doi: 10.1186/s13046-015-0255-1.
7
A combined proteomics/genomics approach links hepatitis C virus infection with nonsense-mediated mRNA decay.蛋白质组学与基因组学相结合的方法将丙型肝炎病毒感染与无义介导的mRNA降解联系起来。
Mol Cell. 2015 Jan 22;57(2):329-340. doi: 10.1016/j.molcel.2014.12.028.
8
Hepatitis C virus-associated cancer.丙型肝炎病毒相关癌症。
Annu Rev Pathol. 2015;10:345-70. doi: 10.1146/annurev-pathol-012414-040323. Epub 2014 Nov 5.
9
Hepatitis C virus NS3 protein enhances cancer cell invasion by activating matrix metalloproteinase-9 and cyclooxygenase-2 through ERK/p38/NF-κB signal cascade.丙型肝炎病毒 NS3 蛋白通过 ERK/p38/NF-κB 信号级联激活基质金属蛋白酶-9 和环氧化酶-2 促进癌细胞侵袭。
Cancer Lett. 2015 Jan 28;356(2 Pt B):470-8. doi: 10.1016/j.canlet.2014.09.027. Epub 2014 Oct 8.
10
Loss of PPM1A expression enhances invasion and the epithelial-to-mesenchymal transition in bladder cancer by activating the TGF-β/Smad signaling pathway.PPM1A表达缺失通过激活TGF-β/Smad信号通路增强膀胱癌的侵袭及上皮-间质转化。
Oncotarget. 2014 Jul 30;5(14):5700-11. doi: 10.18632/oncotarget.2144.