Suppr超能文献

骨髓源性干细胞对不育仓鼠精子发生的再生作用。

The Regenerative Effect of Bone Marrow-Derived Stem Cells in Spermatogenesis of Infertile Hamster.

作者信息

Vahdati Akbar, Fathi Alireza, Hajihoseini Mehrdokht, Aliborzi Ghaem, Hosseini Ebrahim

机构信息

Department of Biology, Fars Science and Research Branch, Islamic Azad University, Fars, Iran;; Department of Biology, Shiraz Branch, Islamic Azad University, Shiraz, Iran.

出版信息

World J Plast Surg. 2017 Jan;6(1):18-25.

Abstract

BACKGROUND

Infertility is a serious social problem in advanced nations, with male factor in half of all cases of infertility. This study was conducted to determine the regenerative effect of bone marrow-derived stem cells in spermatogenesis of infertile hamster.

METHODS

Twelve adult male hamsters were equally divided into azoospermic and control groups. Busulfan was intraperitoneally used for induction of azoospermia, while the right testis was treated with bone marrow-derived stem cells (10 BM-SCs), labeled with sterile trypan blue, 35 days after busulfan injection. The left testis served as positive control for azoospermia. Sixty days after cell transplantation, the animals were euthanized and both testes were removed and evaluated histologically.

RESULTS

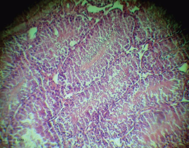
BM-SCs were spindle-shaped, adherent to the culture flasks and had positive expression of CD29 and CD73 and negative expression of CD45. Alcian blue staining confirmed differentiation of BM-SCs into chondrocytes. Karyotyping denoted to stability of chromosomes. Treatment with busulfan in seminiferous tubules resulted into distruption of spermatogenesis. After two months in busulfan treatment group, seminiferous tubular atrophy and germinal epitheliums degenerations were noticed with no spermatozoa in epididymis. After treatment of busulfan group with BM-SCs, spermatogonia, primary spermatocytes, spermatids and sperms were present in seminiferous tubules.

CONCLUSION

As cell transplantation in seminiferous tubules resulted into a rapid repair of pathological changes, BM-SCs can be recommended an effective treatment measure in azoospermia. It seems that more studies are necessary to confirm the use of this technique in treatment of azoospermia and infertility in human.

摘要

背景

在发达国家,不孕症是一个严重的社会问题,其中男性因素导致的不孕症占所有病例的一半。本研究旨在确定骨髓源性干细胞对不育仓鼠精子发生的再生作用。

方法

将12只成年雄性仓鼠平均分为无精子症组和对照组。腹腔注射白消安诱导无精子症,在注射白消安35天后,用无菌台盼蓝标记的骨髓源性干细胞(10个骨髓间充质干细胞)处理右侧睾丸。左侧睾丸作为无精子症的阳性对照。细胞移植60天后,对动物实施安乐死,取出双侧睾丸并进行组织学评估。

结果

骨髓间充质干细胞呈纺锤形,贴壁生长于培养瓶,CD29和CD73呈阳性表达,CD45呈阴性表达。阿尔辛蓝染色证实骨髓间充质干细胞分化为软骨细胞。核型分析表明染色体稳定。白消安处理导致生精小管生精过程中断。白消安处理组两个月后,可见生精小管萎缩和生精上皮变性,附睾中无精子。白消安组用骨髓间充质干细胞治疗后,生精小管中有精原细胞、初级精母细胞、精子细胞和精子。

结论

由于向生精小管移植细胞可迅速修复病理变化,骨髓间充质干细胞可被推荐为治疗无精子症的有效措施。似乎有必要进行更多研究来证实该技术在治疗人类无精子症和不孕症中的应用。

https://cdn.ncbi.nlm.nih.gov/pmc/blobs/0195/5339605/94c9e8ed1fc4/wjps-6-018-g001.jpg

文献检索

告别复杂PubMed语法,用中文像聊天一样搜索,搜遍4000万医学文献。AI智能推荐,让科研检索更轻松。

立即免费搜索

文件翻译

保留排版,准确专业,支持PDF/Word/PPT等文件格式,支持 12+语言互译。

免费翻译文档

深度研究

AI帮你快速写综述,25分钟生成高质量综述,智能提取关键信息,辅助科研写作。

立即免费体验