• 文献检索
  • 文档翻译
  • 深度研究
  • 学术资讯
  • Suppr Zotero 插件Zotero 插件
  • 邀请有礼
  • 套餐&价格
  • 历史记录
应用&插件
Suppr Zotero 插件Zotero 插件浏览器插件Mac 客户端Windows 客户端微信小程序
定价
高级版会员购买积分包购买API积分包
服务
文献检索文档翻译深度研究API 文档MCP 服务
关于我们
关于 Suppr公司介绍联系我们用户协议隐私条款
关注我们

Suppr 超能文献

核心技术专利:CN118964589B侵权必究
粤ICP备2023148730 号-1Suppr @ 2026

文献检索

告别复杂PubMed语法,用中文像聊天一样搜索,搜遍4000万医学文献。AI智能推荐,让科研检索更轻松。

立即免费搜索

文件翻译

保留排版,准确专业,支持PDF/Word/PPT等文件格式,支持 12+语言互译。

免费翻译文档

深度研究

AI帮你快速写综述,25分钟生成高质量综述,智能提取关键信息,辅助科研写作。

立即免费体验

酪氨酸激酶抑制剂 BIBF1120 可改善 CCl 诱导的肝纤维化小鼠模型中的炎症、血管生成和纤维化。

Tyrosine kinase inhibitor BIBF1120 ameliorates inflammation, angiogenesis and fibrosis in CCl-induced liver fibrogenesis mouse model.

机构信息

Targeted Therapeutics, Department of Biomaterials Science and Technology, MIRA Institute for Biomedical Technology and Technical Medicine, Faculty of Science and Technology, University of Twente, Enschede, The Netherlands.

Department of Pharmaceutics, Utrecht Institute of Pharmaceutical Sciences, Faculty of Science, Utrecht University, Utrecht, The Netherlands.

出版信息

Sci Rep. 2017 Mar 14;7:44545. doi: 10.1038/srep44545.

DOI:10.1038/srep44545
PMID:28291245
原文链接:https://pmc.ncbi.nlm.nih.gov/articles/PMC5349608/
Abstract

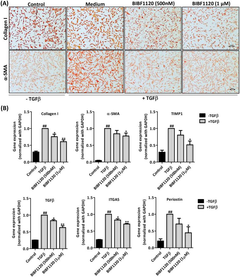
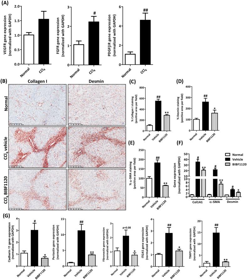
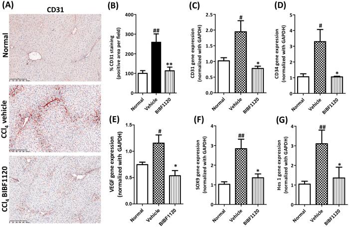
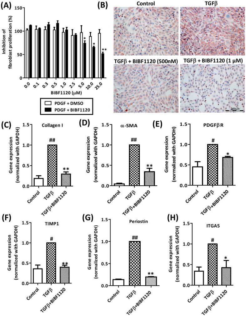
Hepatic fibrosis, a progressive chronic disease mainly caused by hepatitis viral infections, alcohol abuse or metabolic syndrome leading to liver dysfunction and is the growing cause of mortality worldwide. Tyrosine kinase inhibitor BIBF1120 (Nintedanib) has been evaluated in clinical trials for idiopathic pulmonary fibrosis and advanced Hepatocellular carcinoma, but has not been explored for liver fibrosis yet. In this study, we aimed to investigate the therapeutic effects and mechanism of BIBF1120 in liver fibrogenesis. The effects of BIBF1120 were evaluated in TGFβ-activated mouse 3T3 fibroblasts, LX2 cells, primary human hepatic stellate cells (HSCs) and CCl-induced liver fibrogenesis mouse model. Fibroblasts-conditioned medium studies were performed to assess the paracrine effects on macrophages and endothelial cells. In-vitro in TGFβ-activated fibroblasts, BIBF1120 significantly inhibited expression of major fibrotic parameters, wound-healing and contractility. In vivo in CCl-induced acute liver injury model, post-disease BIBF1120 administration significantly attenuated collagen accumulation and HSC activation. Interestingly, BIBF1120 drastically inhibited intrahepatic inflammation and angiogenesis. To further elucidate the mechanism of action, 3T3-conditioned medium studies demonstrated increased 3T3-mediated macrophage chemotaxis and endothelial cells tube formation and activation, which was significantly decreased by BIBF1120. These results suggests that BIBF1120 can be a potential therapeutic approach for the treatment of liver fibrosis.

摘要

肝纤维化是一种进行性慢性疾病,主要由肝炎病毒感染、酒精滥用或代谢综合征引起,导致肝功能障碍,是全球死亡率不断上升的主要原因。酪氨酸激酶抑制剂 BIBF1120(尼达尼布)已在特发性肺纤维化和晚期肝细胞癌的临床试验中进行了评估,但尚未探索其在肝纤维化中的作用。在本研究中,我们旨在研究 BIBF1120 在肝纤维化发生中的治疗作用和机制。在 TGFβ 激活的小鼠 3T3 成纤维细胞、LX2 细胞、原代人肝星状细胞(HSCs)和 CCl 诱导的肝纤维化小鼠模型中评估了 BIBF1120 的作用。进行了成纤维细胞条件培养基研究,以评估对巨噬细胞和内皮细胞的旁分泌作用。在 TGFβ 激活的成纤维细胞中,BIBF1120 显著抑制主要纤维化参数、伤口愈合和收缩的表达。在 CCl 诱导的急性肝损伤模型中,疾病后给予 BIBF1120 可显著减轻胶原积累和 HSC 激活。有趣的是,BIBF1120 明显抑制肝内炎症和血管生成。为了进一步阐明作用机制,3T3 条件培养基研究表明,3T3 介导的巨噬细胞趋化和内皮细胞管形成和激活增加,而 BIBF1120 可显著降低这些作用。这些结果表明,BIBF1120 可能是治疗肝纤维化的一种有潜力的治疗方法。

https://cdn.ncbi.nlm.nih.gov/pmc/blobs/31f8/5349608/5caaf728c808/srep44545-f8.jpg
https://cdn.ncbi.nlm.nih.gov/pmc/blobs/31f8/5349608/b07076fe7134/srep44545-f1.jpg
https://cdn.ncbi.nlm.nih.gov/pmc/blobs/31f8/5349608/9f6847e4a728/srep44545-f2.jpg
https://cdn.ncbi.nlm.nih.gov/pmc/blobs/31f8/5349608/0a1982796e88/srep44545-f3.jpg
https://cdn.ncbi.nlm.nih.gov/pmc/blobs/31f8/5349608/af6aaab67cac/srep44545-f4.jpg
https://cdn.ncbi.nlm.nih.gov/pmc/blobs/31f8/5349608/726a409d2775/srep44545-f5.jpg
https://cdn.ncbi.nlm.nih.gov/pmc/blobs/31f8/5349608/05f1612cbf71/srep44545-f6.jpg
https://cdn.ncbi.nlm.nih.gov/pmc/blobs/31f8/5349608/6fd6eeccc303/srep44545-f7.jpg
https://cdn.ncbi.nlm.nih.gov/pmc/blobs/31f8/5349608/5caaf728c808/srep44545-f8.jpg
https://cdn.ncbi.nlm.nih.gov/pmc/blobs/31f8/5349608/b07076fe7134/srep44545-f1.jpg
https://cdn.ncbi.nlm.nih.gov/pmc/blobs/31f8/5349608/9f6847e4a728/srep44545-f2.jpg
https://cdn.ncbi.nlm.nih.gov/pmc/blobs/31f8/5349608/0a1982796e88/srep44545-f3.jpg
https://cdn.ncbi.nlm.nih.gov/pmc/blobs/31f8/5349608/af6aaab67cac/srep44545-f4.jpg
https://cdn.ncbi.nlm.nih.gov/pmc/blobs/31f8/5349608/726a409d2775/srep44545-f5.jpg
https://cdn.ncbi.nlm.nih.gov/pmc/blobs/31f8/5349608/05f1612cbf71/srep44545-f6.jpg
https://cdn.ncbi.nlm.nih.gov/pmc/blobs/31f8/5349608/6fd6eeccc303/srep44545-f7.jpg
https://cdn.ncbi.nlm.nih.gov/pmc/blobs/31f8/5349608/5caaf728c808/srep44545-f8.jpg

相似文献

1
Tyrosine kinase inhibitor BIBF1120 ameliorates inflammation, angiogenesis and fibrosis in CCl-induced liver fibrogenesis mouse model.酪氨酸激酶抑制剂 BIBF1120 可改善 CCl 诱导的肝纤维化小鼠模型中的炎症、血管生成和纤维化。
Sci Rep. 2017 Mar 14;7:44545. doi: 10.1038/srep44545.
2
Inhibition of canonical WNT signaling pathway by β-catenin/CBP inhibitor ICG-001 ameliorates liver fibrosis in vivo through suppression of stromal CXCL12.β-连环蛋白/CBP 抑制剂 ICG-001 抑制经典 WNT 信号通路可通过抑制基质细胞 CXCL12 改善体内肝纤维化。
Biochim Biophys Acta Mol Basis Dis. 2018 Mar;1864(3):804-818. doi: 10.1016/j.bbadis.2017.12.001. Epub 2017 Dec 5.
3
TG101348, a selective JAK2 antagonist, ameliorates hepatic fibrogenesis .TG101348,一种选择性 JAK2 拮抗剂,可改善肝纤维化。
FASEB J. 2019 Aug;33(8):9466-9475. doi: 10.1096/fj.201900215RR. Epub 2019 May 17.
4
Metformin attenuates motility, contraction, and fibrogenic response of hepatic stellate cells and by activating AMP-activated protein kinase.二甲双胍通过激活 AMP 激活的蛋白激酶来减弱肝星状细胞的运动性、收缩性和纤维生成反应。
World J Gastroenterol. 2018 Feb 21;24(7):819-832. doi: 10.3748/wjg.v24.i7.819.
5
The interplay of the Notch signaling in hepatic stellate cells and macrophages determines the fate of liver fibrogenesis.肝星状细胞和巨噬细胞中Notch信号的相互作用决定了肝纤维化的命运。
Sci Rep. 2015 Dec 14;5:18272. doi: 10.1038/srep18272.
6
Placental growth factor silencing ameliorates liver fibrosis and angiogenesis and inhibits activation of hepatic stellate cells in a murine model of chronic liver disease.沉默胎盘生长因子可改善慢性肝病小鼠模型的肝纤维化和血管生成,并抑制肝星状细胞的活化。
J Cell Mol Med. 2017 Oct;21(10):2370-2385. doi: 10.1111/jcmm.13158. Epub 2017 Apr 5.
7
Oligo-peptide I-C-F-6 inhibits hepatic stellate cell activation and ameliorates CCl-induced liver fibrosis by suppressing NF-κB signaling and Wnt/β-catenin signaling.寡肽 I-C-F-6 通过抑制 NF-κB 信号通路和 Wnt/β-catenin 信号通路抑制肝星状细胞活化,改善 CCl4 诱导的肝纤维化。
J Pharmacol Sci. 2018 Mar;136(3):133-141. doi: 10.1016/j.jphs.2018.01.003. Epub 2018 Feb 2.
8
MicroRNA-101 suppresses liver fibrosis by targeting the TGFβ signalling pathway.MicroRNA-101 通过靶向 TGFβ 信号通路抑制肝纤维化。
J Pathol. 2014 Sep;234(1):46-59. doi: 10.1002/path.4373. Epub 2014 Jun 17.
9
Alpinetin exerts anti-inflammatory, anti-oxidative and anti-angiogenic effects through activating the Nrf2 pathway and inhibiting NLRP3 pathway in carbon tetrachloride-induced liver fibrosis.白杨素通过激活 Nrf2 通路和抑制 NLRP3 通路在四氯化碳诱导的肝纤维化中发挥抗炎、抗氧化和抗血管生成作用。
Int Immunopharmacol. 2021 Jul;96:107660. doi: 10.1016/j.intimp.2021.107660. Epub 2021 Apr 14.
10
Human recombinant endostatin Endostar attenuates hepatic sinusoidal endothelial cell capillarization in CCl4‑induced fibrosis in mice.人重组内皮抑素恩度可减轻小鼠四氯化碳诱导的肝纤维化中肝窦内皮细胞的毛细血管化。
Mol Med Rep. 2015 Oct;12(4):5594-600. doi: 10.3892/mmr.2015.4103. Epub 2015 Jul 20.

引用本文的文献

1
Pirfenidone and nintedanib attenuate pulmonary fibrosis in mice by inhibiting the expression of JAK2.吡非尼酮和尼达尼布通过抑制JAK2的表达减轻小鼠肺纤维化。
J Thorac Dis. 2024 Feb 29;16(2):1128-1140. doi: 10.21037/jtd-23-1057. Epub 2024 Feb 26.
2
Nintedanib Alleviates Chronic Pancreatitis by Inhibiting the Activation of Pancreatic Stellate Cells via the JAK/STAT3 and ERK1/2 Pathways.尼达尼布通过抑制 JAK/STAT3 和 ERK1/2 通路激活胰腺星状细胞缓解慢性胰腺炎。
Dig Dis Sci. 2023 Sep;68(9):3644-3659. doi: 10.1007/s10620-023-08052-7. Epub 2023 Aug 1.
3
Primary heart involvement in systemic sclerosis, from conventional to innovative targeted therapeutic strategies.

本文引用的文献

1
Cadherin-11 localizes to focal adhesions and promotes cell-substrate adhesion.钙黏蛋白-11定位于黏着斑并促进细胞与底物的黏附。
Nat Commun. 2016 Mar 8;7:10909. doi: 10.1038/ncomms10909.
2
Hepatic macrophages in homeostasis and liver diseases: from pathogenesis to novel therapeutic strategies.稳态与肝脏疾病中的肝巨噬细胞:从发病机制到新型治疗策略
Cell Mol Immunol. 2016 May;13(3):316-27. doi: 10.1038/cmi.2015.104. Epub 2016 Feb 24.
3
Liver fibrosis in 2015: Crucial steps towards an effective treatment.2015年的肝纤维化:迈向有效治疗的关键步骤
系统性硬化症中心脏的原发性受累:从传统治疗策略到创新的靶向治疗策略
J Scleroderma Relat Disord. 2022 Oct;7(3):179-188. doi: 10.1177/23971983221083772. Epub 2022 Mar 24.
4
Delayed Administration of Nintedanib Ameliorates Fibrosis Progression in CG-Induced Peritoneal Fibrosis Mouse Model.尼达尼布延迟给药可改善顺铂诱导的腹膜纤维化小鼠模型中的纤维化进展。
Kidney Dis (Basel). 2022 Apr 11;8(4):319-333. doi: 10.1159/000523852. eCollection 2022 Jul.
5
Nintedanib Inhibits Endothelial Mesenchymal Transition in Bleomycin-Induced Pulmonary Fibrosis via Focal Adhesion Kinase Activity Reduction.尼达尼布通过降低粘着斑激酶活性抑制博来霉素诱导的肺纤维化中的内皮间质转化。
Int J Mol Sci. 2022 Jul 25;23(15):8193. doi: 10.3390/ijms23158193.
6
Female reproductive life span is extended by targeted removal of fibrotic collagen from the mouse ovary.通过靶向去除小鼠卵巢中的纤维性胶原,延长了雌性生殖寿命。
Sci Adv. 2022 Jun 17;8(24):eabn4564. doi: 10.1126/sciadv.abn4564.
7
Novel Synthetic Polymer-Based 3D Contraction Assay: A Versatile Preclinical Research Platform for Fibrosis.新型合成聚合物基 3D 收缩测定法:纤维化的多功能临床前研究平台。
ACS Appl Mater Interfaces. 2022 May 4;14(17):19212-19225. doi: 10.1021/acsami.2c02549. Epub 2022 Apr 25.
8
Repurposing Nintedanib for pathological cardiac remodeling and dysfunction.尼达尼布在病理性心脏重构和功能障碍中的再利用。
Pharmacol Res. 2021 Jul;169:105605. doi: 10.1016/j.phrs.2021.105605. Epub 2021 May 13.
9
Synergistic Inhibition of Renal Fibrosis by Nintedanib and Gefitinib in a Murine Model of Obstructive Nephropathy.在梗阻性肾病小鼠模型中,尼达尼布和吉非替尼对肾纤维化的协同抑制作用
Kidney Dis (Basel). 2021 Jan;7(1):34-49. doi: 10.1159/000509670. Epub 2020 Aug 23.
10
Macrophage-stroma interactions in fibrosis: biochemical, biophysical, and cellular perspectives.纤维化中巨噬细胞-基质相互作用:生化、生物物理和细胞视角。
J Pathol. 2021 Jul;254(4):344-357. doi: 10.1002/path.5632. Epub 2021 Mar 3.
Nat Rev Gastroenterol Hepatol. 2016 Feb;13(2):67-8. doi: 10.1038/nrgastro.2015.224. Epub 2016 Jan 13.
4
The interplay of the Notch signaling in hepatic stellate cells and macrophages determines the fate of liver fibrogenesis.肝星状细胞和巨噬细胞中Notch信号的相互作用决定了肝纤维化的命运。
Sci Rep. 2015 Dec 14;5:18272. doi: 10.1038/srep18272.
5
Angiogenesis and liver fibrosis.血管生成与肝纤维化
World J Hepatol. 2015 Mar 27;7(3):377-91. doi: 10.4254/wjh.v7.i3.377.
6
Liver sinusoidal endothelial cells in hepatic fibrosis.肝纤维化中的肝窦内皮细胞。
Hepatology. 2015 May;61(5):1740-6. doi: 10.1002/hep.27376. Epub 2015 Mar 23.
7
Inhibition of fibronectin deposition improves experimental liver fibrosis.抑制纤维连接蛋白沉积可改善实验性肝纤维化。
J Hepatol. 2015 Mar;62(3):625-33. doi: 10.1016/j.jhep.2014.06.010. Epub 2014 Jun 16.
8
Endothelial Notch activity promotes angiogenesis and osteogenesis in bone.内皮细胞Notch活性促进骨组织中的血管生成和成骨作用。
Nature. 2014 Mar 20;507(7492):376-380. doi: 10.1038/nature13146. Epub 2014 Mar 12.
9
CCL2-dependent infiltrating macrophages promote angiogenesis in progressive liver fibrosis.CCL2 依赖性浸润巨噬细胞促进进行性肝纤维化中的血管生成。
Gut. 2014 Dec;63(12):1960-1971. doi: 10.1136/gutjnl-2013-306294. Epub 2014 Feb 21.
10
Antifibrotic and anti-inflammatory activity of the tyrosine kinase inhibitor nintedanib in experimental models of lung fibrosis.尼达尼布(酪氨酸激酶抑制剂)在肺纤维化实验模型中的抗纤维化和抗炎活性。
J Pharmacol Exp Ther. 2014 May;349(2):209-20. doi: 10.1124/jpet.113.208223. Epub 2014 Feb 20.