Suppr超能文献

提取物在体内对耐甲氧西林菌具有抗菌活性,并能加速全层小鼠烧伤模型中的烧伤创面愈合。

Extract Exhibits In Vivo Antibacterial Activity against Methicillin-Resistant and Accelerates Burn Wound Healing in a Full-Thickness Murine Burn Model.

作者信息

Karunanidhi Arunkumar, Ghaznavi-Rad Ehsanollah, Jeevajothi Nathan Jayakayatri, Abba Yusuf, van Belkum Alex, Neela Vasanthakumari

机构信息

Department of Medical Microbiology and Parasitology, Faculty of Medicine and Health Sciences, Universiti Putra Malaysia, 43400 Serdang, Selangor, Darul Ehsan, Malaysia.

Department of Microbiology & Immunology, Faculty of Medicine, Arak University of Medical Sciences, Basij Square, Arak 38481-7-6941, Iran.

出版信息

Evid Based Complement Alternat Med. 2017;2017:1914732. doi: 10.1155/2017/1914732. Epub 2017 Feb 22.

Abstract

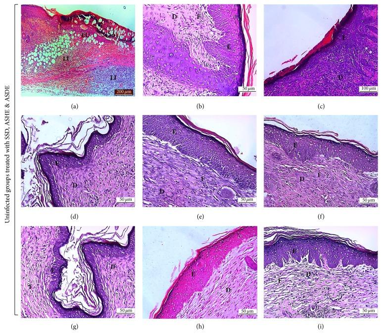
The in vivo antibacterial and burn wound healing potency of Persian shallot bulbs () were explored in a mice burn model infected with methicillin-resistant (MRSA). Hexane (ASHE) and dichloromethane (ASDE) extracts were tested. Female BALB/c mice were inflicted with third-degree thermal injury followed by infection with MRSA. ASHE and ASDE formulated with simple ointment base (SOB) at concentrations of 1%, 2%, and 5% (w/w) were topically applied to burn wounds twice a day for 20 days. Silver sulfadiazine (1%) served as drug positive control. Microbiological analysis was carried out on 1, 2, 3, 4, and 5 days postwounding (dpw) and histopathological analysis at the end of the experiment (20 dpw). Both ointments demonstrated strong antibacterial activity with complete elimination of MRSA at 48-72 h after infection. The rate of wound contraction was higher (95-100%) in mice groups treated with ASHE and ASDE ointments after 15 dpw. Histological analysis revealed significant increase ( < 0.05) in epithelialization and collagenation in treated groups. The ASHE and ASDE were found to be relatively noncytotoxic and safe to Vero cell line (383.4 g mL; 390.6 g mL), suggesting the extracts as safe topical antibacterial as well as promising alternatives in managing thermal injuries.

摘要

在耐甲氧西林金黄色葡萄球菌(MRSA)感染的小鼠烧伤模型中,研究了波斯葱鳞茎的体内抗菌和烧伤创面愈合能力。测试了己烷提取物(ASHE)和二氯甲烷提取物(ASDE)。对雌性BALB/c小鼠造成三度热损伤,随后感染MRSA。将浓度为1%、2%和5%(w/w)的ASHE和ASDE与简单软膏基质(SOB)配制后,每天两次局部应用于烧伤创面,持续20天。1%的磺胺嘧啶银用作药物阳性对照。在伤后1、2、3、4和5天进行微生物学分析,并在实验结束时(伤后20天)进行组织病理学分析。两种软膏均表现出较强的抗菌活性,感染后48 - 72小时MRSA被完全清除。伤后15天,用ASHE和ASDE软膏治疗的小鼠组伤口收缩率更高(95 - 100%)。组织学分析显示,治疗组的上皮化和胶原形成显著增加(P < 0.05)。发现ASHE和ASDE对Vero细胞系相对无细胞毒性且安全(分别为383.4 μg/mL;390.6 μg/mL),表明这些提取物作为局部抗菌药物安全,并且在治疗热损伤方面是有前景的替代物。

https://cdn.ncbi.nlm.nih.gov/pmc/blobs/bbe9/5340985/d09727f26131/ECAM2017-1914732.001.jpg

文献AI研究员

20分钟写一篇综述,助力文献阅读效率提升50倍。

立即体验

用中文搜PubMed

大模型驱动的PubMed中文搜索引擎

马上搜索

文档翻译

学术文献翻译模型,支持多种主流文档格式。

立即体验