Suppr超能文献

铅诱导雄性白化大鼠肝肾损伤及活性炭的影响

Lead Induced Hepato-renal Damage in Male Albino Rats and Effects of Activated Charcoal.

作者信息

Offor Samuel J, Mbagwu Herbert O C, Orisakwe Orish E

机构信息

Department of Pharmacology and Toxicology, Faculty of Pharmacy, University of Uyo Uyo, Nigeria.

Department of Experimental Pharmacology and Toxicology, Faculty of Pharmacy, University of Port Harcourt Port Harcourt, Nigeria.

出版信息

Front Pharmacol. 2017 Mar 14;8:107. doi: 10.3389/fphar.2017.00107. eCollection 2017.

Abstract

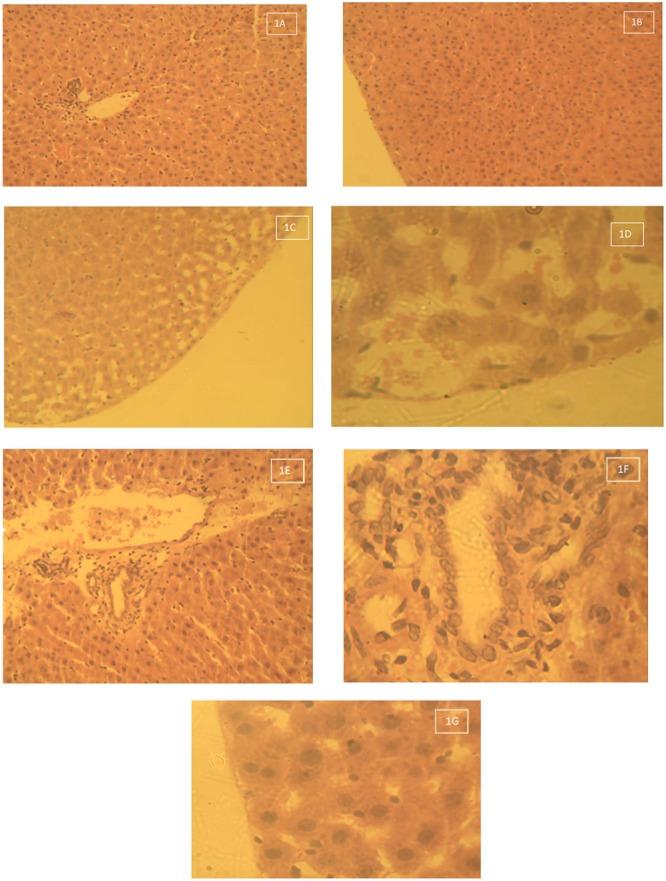
Lead is a multi-organ toxicant implicated in various cancers, diseases of the hepatic, renal, and reproductive systems etc. In search of cheap and readily available antidote this study has investigated the role of activated charcoal in chronic lead exposure in albino rats. Eighteen mature male albino rats were used, divided into three groups of six rats per group. Group 1 (control rats) received deionised water (10 ml/kg), group 2 was given lead acetate solution 60 mg/kg and group 3 rats were given lead acetate (60 mg/kg) followed by Activated charcoal, AC (1000 mg/kg) by oral gavage daily for 28 days. Rats in group 2 showed significant increases in serum Aspartate aminotransferase, Alkaline phosphatase, Alanine aminotransferase, urea, bilirubin, total cholesterol, triglycerides, Low Density Lipoprotein, Very Low Density Lipoproteins, Total White Blood Cell Counts, Malondialdehyde, Interleukin-6, and decreases in Packed Cell Volume, hemoglobin concentration, Red blood cell count, total proteins, albumins, superoxide dismutase, glutathione peroxidase and total glutathione. Co-administration of AC significantly decreased these biomarkers with the exception of the sperm parameters. Histopathology of liver and kidney also confirmed the protective effective of AC against lead induced hepato-renal damage. AC may be beneficial in chronic lead induced liver and kidney damage.

摘要

铅是一种多器官毒性物质,与多种癌症、肝脏、肾脏和生殖系统疾病等有关。为了寻找廉价且易于获得的解毒剂,本研究调查了活性炭在白化大鼠慢性铅暴露中的作用。使用了18只成年雄性白化大鼠,分为三组,每组6只。第1组(对照大鼠)给予去离子水(10毫升/千克),第2组给予醋酸铅溶液60毫克/千克,第3组大鼠给予醋酸铅(60毫克/千克),随后每天通过口服灌胃给予活性炭(AC,1000毫克/千克),持续28天。第2组大鼠的血清天冬氨酸转氨酶、碱性磷酸酶、丙氨酸转氨酶、尿素、胆红素、总胆固醇、甘油三酯、低密度脂蛋白、极低密度脂蛋白、白细胞总数、丙二醛、白细胞介素-6显著升高,而红细胞压积、血红蛋白浓度、红细胞计数、总蛋白、白蛋白、超氧化物歧化酶、谷胱甘肽过氧化物酶和总谷胱甘肽降低。除精子参数外,AC的联合给药显著降低了这些生物标志物。肝脏和肾脏的组织病理学也证实了AC对铅诱导的肝肾损伤具有保护作用。AC可能对慢性铅诱导的肝肾损伤有益。

https://cdn.ncbi.nlm.nih.gov/pmc/blobs/684a/5348508/9f19e2089448/fphar-08-00107-g001.jpg

文献检索

告别复杂PubMed语法,用中文像聊天一样搜索,搜遍4000万医学文献。AI智能推荐,让科研检索更轻松。

立即免费搜索

文件翻译

保留排版,准确专业,支持PDF/Word/PPT等文件格式,支持 12+语言互译。

免费翻译文档

深度研究

AI帮你快速写综述,25分钟生成高质量综述,智能提取关键信息,辅助科研写作。

立即免费体验