Suppr超能文献

抽象规则冲突期间前扣带回和背外侧前额叶皮质的不同作用。

Distinct Roles for the Anterior Cingulate and Dorsolateral Prefrontal Cortices During Conflict Between Abstract Rules.

作者信息

Boschin Erica A, Brkic Merima M, Simons Jon S, Buckley Mark J

机构信息

Department of Experimental Psychology, University of Oxford, Oxford OX1 3UD, UK.

Department of Psychology, University of Cambridge, Cambridge CB2 3EB, UK.

出版信息

Cereb Cortex. 2017 Jan 1;27(1):34-45. doi: 10.1093/cercor/bhw350.

Abstract

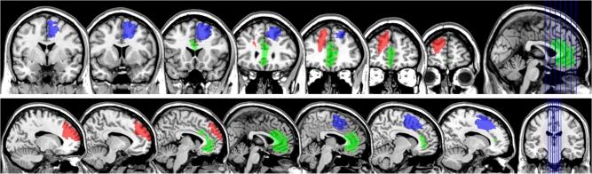
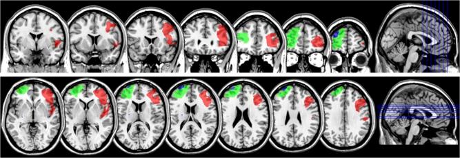
Distinct patterns of activity within the anterior cingulate cortex (ACC) and dorsolateral prefrontal cortex (dlPFC) reported in neuroimaging studies during tasks involving conflict between competing responses have often been cited as evidence for their key contributions to conflict-monitoring and behavioral adaptation, respectively. However, supporting evidence from neuropsychological patients has been scarce and contradictory. We administered a well-studied analog of the Wisconsin Card Sorting Test, designed to elicit conflict between 2 abstract rules, to a cohort of 6 patients with damage to ACC or dlPFC. Patients who had sustained more significant damage to the ACC were not impaired either on a measure of "conflict cost" nor on measures of "conflict-induced behavioral adaptation." In contrast, damage to dlPFC did not affect the conflict cost measure but abolished the patients' ability to adapt their behavior following exposure to conflict, compared with controls. This pattern of results complements the findings from nonhuman primates with more circumscribed lesions to ACC or dlPFC on the same task and provides converging evidence that ACC is not necessary for performance when conflict is elicited between 2 abstract rules, whereas dlPFC plays a fundamental role in behavioral adaptation.

摘要

神经影像学研究表明,在涉及竞争性反应冲突的任务中,前扣带回皮质(ACC)和背外侧前额叶皮质(dlPFC)内存在不同的活动模式,这常被视为它们分别对冲突监测和行为适应起关键作用的证据。然而,来自神经心理学患者的支持证据却很少且相互矛盾。我们对6名ACC或dlPFC受损的患者进行了一项经过充分研究的威斯康星卡片分类测试模拟实验,该实验旨在引发两条抽象规则之间的冲突。ACC受损更严重的患者在“冲突代价”指标或“冲突诱发的行为适应”指标上均未受损。相比之下,与对照组相比,dlPFC受损并未影响冲突代价指标,但消除了患者在接触冲突后调整行为的能力。这一结果模式补充了在同一任务中对ACC或dlPFC进行更局限性损伤的非人类灵长类动物的研究结果,并提供了趋同证据,即当两条抽象规则之间引发冲突时,ACC对任务表现并非必要,而dlPFC在行为适应中起基本作用。

https://cdn.ncbi.nlm.nih.gov/pmc/blobs/04cc/5939207/bb0dea2de8b5/bhw350f01.jpg

文献AI研究员

20分钟写一篇综述,助力文献阅读效率提升50倍。

立即体验

用中文搜PubMed

大模型驱动的PubMed中文搜索引擎

马上搜索

文档翻译

学术文献翻译模型,支持多种主流文档格式。

立即体验