Suppr超能文献

在大肠杆菌中产生的禽肉瘤-白血病病毒pp32相关的多聚酶-内切核酸酶的特性

Properties of avian sarcoma-leukosis virus pp32-related pol-endonucleases produced in Escherichia coli.

作者信息

Terry R, Soltis D A, Katzman M, Cobrinik D, Leis J, Skalka A M

机构信息

Roche Research Center, Hoffmann-La Roche Inc., Nutley, New Jersey 07110.

出版信息

J Virol. 1988 Jul;62(7):2358-65. doi: 10.1128/JVI.62.7.2358-2365.1988.

Abstract

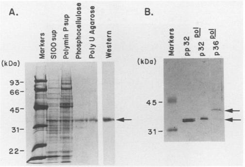
The gag-pol precursor protein of the avian sarcoma-leukosis virus is processed into three known pol-encoded mature polypeptides; the 95- and 63-kilodalton (kDa) beta and alpha subunits, respectively, of reverse transcriptase and the 32-kDa pp32 protein. The pp32 protein possesses DNA endonuclease activity and is produced from the precursor by two proteolytic cleavage events, one of which removes 4.1 kDa of protein from the C terminus. A 36-kDa protein (p36pol) which retains this C-terminal segment is detectable in small quantities in virions. We have constructed Escherichia coli plasmid clones that express the C-terminal domains of pol corresponding to pp32 and p36. These proteins have been purified by column chromatographic methods to near homogeneity. No significant differences could be detected in the enzymatic properties of the bacterially produced p32pol and p36pol proteins. Both possess DNA endonuclease activity and, like the pp32 protein isolated from virions, can cleave near the junction of two tandem avian sarcoma-leukosis virus long terminal repeats in double-stranded supercoiled DNA substrates. In the presence of Mg2+, both p32pol and viral pp32 cleave either strand of DNA 2 nucleotides 5' to the junction.

摘要

禽肉瘤-白血病病毒的gag-pol前体蛋白被加工成三种已知的由pol编码的成熟多肽;分别是逆转录酶的95千道尔顿(kDa)β亚基和63 kDaα亚基以及32 kDa的pp32蛋白。pp32蛋白具有DNA内切酶活性,由前体通过两次蛋白水解切割事件产生,其中一次从C末端去除4.1 kDa的蛋白质。在病毒粒子中可少量检测到保留该C末端片段的36 kDa蛋白(p36pol)。我们构建了表达与pp32和p36相对应的pol的C末端结构域的大肠杆菌质粒克隆。这些蛋白质已通过柱色谱法纯化至接近均一。在细菌产生的p32pol和p36pol蛋白的酶学性质上未检测到显著差异。两者都具有DNA内切酶活性,并且与从病毒粒子中分离的pp32蛋白一样,能够在双链超螺旋DNA底物中两个串联的禽肉瘤-白血病病毒长末端重复序列的连接处附近切割。在Mg2+存在的情况下,p32pol和病毒pp32都在连接处5'端的2个核苷酸处切割DNA的任意一条链。

https://cdn.ncbi.nlm.nih.gov/pmc/blobs/be63/253392/ed575ddb2637/jvirol00086-0161-a.jpg

文献检索

告别复杂PubMed语法,用中文像聊天一样搜索,搜遍4000万医学文献。AI智能推荐,让科研检索更轻松。

立即免费搜索

文件翻译

保留排版,准确专业,支持PDF/Word/PPT等文件格式,支持 12+语言互译。

免费翻译文档

深度研究

AI帮你快速写综述,25分钟生成高质量综述,智能提取关键信息,辅助科研写作。

立即免费体验