• 文献检索
  • 文档翻译
  • 深度研究
  • 学术资讯
  • Suppr Zotero 插件Zotero 插件
  • 邀请有礼
  • 套餐&价格
  • 历史记录
应用&插件
Suppr Zotero 插件Zotero 插件浏览器插件Mac 客户端Windows 客户端微信小程序
定价
高级版会员购买积分包购买API积分包
服务
文献检索文档翻译深度研究API 文档MCP 服务
关于我们
关于 Suppr公司介绍联系我们用户协议隐私条款
关注我们

Suppr 超能文献

核心技术专利:CN118964589B侵权必究
粤ICP备2023148730 号-1Suppr @ 2026

文献检索

告别复杂PubMed语法,用中文像聊天一样搜索,搜遍4000万医学文献。AI智能推荐,让科研检索更轻松。

立即免费搜索

文件翻译

保留排版,准确专业,支持PDF/Word/PPT等文件格式,支持 12+语言互译。

免费翻译文档

深度研究

AI帮你快速写综述,25分钟生成高质量综述,智能提取关键信息,辅助科研写作。

立即免费体验

Site-specific nicking at the avian retrovirus LTR circle junction by the viral pp32 DNA endonuclease.

作者信息

Grandgenett D P, Vora A C

出版信息

Nucleic Acids Res. 1985 Sep 11;13(17):6205-21. doi: 10.1093/nar/13.17.6205.

DOI:10.1093/nar/13.17.6205
PMID:2995920
原文链接:https://pmc.ncbi.nlm.nih.gov/articles/PMC321947/
Abstract

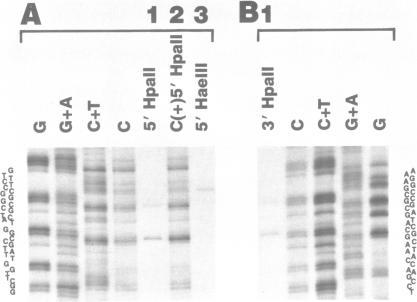
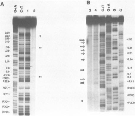
The avian retrovirus pp32 DNA endonuclease prefers to nick supercoiled DNA containing long terminal repeat (LTR) circle junction sequences at one or the other of two sites, each which mapped two nucleotides back from the circle junction. The sequence at the sites of nicking was (sequence: see text) where increases indicates the positions of the two alternative nicked sites. This site-specific nicking was observed when the circle junction LTR DNA was present in supercoiled form, the divalent metal ion was Mg2+ and the molar ratio of protein to DNA was low. The majority of other LTR DNA sites nicked by pp32 in the presence of Mg2+ were adjacent to or within the dinucleotide CA.

摘要
https://cdn.ncbi.nlm.nih.gov/pmc/blobs/48e6/321947/b3c0b8904d9b/nar00311-0205-a.jpg
https://cdn.ncbi.nlm.nih.gov/pmc/blobs/48e6/321947/fc2732a07955/nar00311-0196-a.jpg
https://cdn.ncbi.nlm.nih.gov/pmc/blobs/48e6/321947/d7d6f89ea7fa/nar00311-0197-a.jpg
https://cdn.ncbi.nlm.nih.gov/pmc/blobs/48e6/321947/587e1ee44bb7/nar00311-0200-a.jpg
https://cdn.ncbi.nlm.nih.gov/pmc/blobs/48e6/321947/4745dfad8e98/nar00311-0202-a.jpg
https://cdn.ncbi.nlm.nih.gov/pmc/blobs/48e6/321947/ea4762fbec1d/nar00311-0203-a.jpg
https://cdn.ncbi.nlm.nih.gov/pmc/blobs/48e6/321947/b3c0b8904d9b/nar00311-0205-a.jpg
https://cdn.ncbi.nlm.nih.gov/pmc/blobs/48e6/321947/fc2732a07955/nar00311-0196-a.jpg
https://cdn.ncbi.nlm.nih.gov/pmc/blobs/48e6/321947/d7d6f89ea7fa/nar00311-0197-a.jpg
https://cdn.ncbi.nlm.nih.gov/pmc/blobs/48e6/321947/587e1ee44bb7/nar00311-0200-a.jpg
https://cdn.ncbi.nlm.nih.gov/pmc/blobs/48e6/321947/4745dfad8e98/nar00311-0202-a.jpg
https://cdn.ncbi.nlm.nih.gov/pmc/blobs/48e6/321947/ea4762fbec1d/nar00311-0203-a.jpg
https://cdn.ncbi.nlm.nih.gov/pmc/blobs/48e6/321947/b3c0b8904d9b/nar00311-0205-a.jpg

相似文献

1
Site-specific nicking at the avian retrovirus LTR circle junction by the viral pp32 DNA endonuclease.
Nucleic Acids Res. 1985 Sep 11;13(17):6205-21. doi: 10.1093/nar/13.17.6205.
2
Avian retrovirus pp32 DNA-binding protein. I. Recognition of specific sequences on retrovirus DNA terminal repeats.禽逆转录病毒pp32 DNA结合蛋白。I. 对逆转录病毒DNA末端重复序列上特定序列的识别。
J Virol. 1982 Oct;44(1):330-43. doi: 10.1128/JVI.44.1.330-343.1982.
3
Nuclease mechanism of the avian retrovirus pp32 endonuclease.禽逆转录病毒pp32核酸内切酶的核酸酶作用机制。
J Virol. 1986 Jun;58(3):970-4. doi: 10.1128/JVI.58.3.970-974.1986.
4
Avian retrovirus pp32 DNA binding protein. Preferential binding to the promoter region of long terminal repeat DNA.禽逆转录病毒pp32 DNA结合蛋白。与长末端重复序列DNA的启动子区域优先结合。
Biochemistry. 1984 Jan 17;23(2):350-9. doi: 10.1021/bi00297a026.
5
Properties of avian sarcoma-leukosis virus pp32-related pol-endonucleases produced in Escherichia coli.在大肠杆菌中产生的禽肉瘤-白血病病毒pp32相关的多聚酶-内切核酸酶的特性
J Virol. 1988 Jul;62(7):2358-65. doi: 10.1128/JVI.62.7.2358-2365.1988.
6
Selective cleavage in the avian retroviral long terminal repeat sequence by the endonuclease associated with the alpha beta form of avian reverse transcriptase.禽逆转录酶αβ形式相关的核酸内切酶对禽逆转录病毒长末端重复序列的选择性切割。
Proc Natl Acad Sci U S A. 1983 Nov;80(22):6745-9. doi: 10.1073/pnas.80.22.6745.
7
Genetic evidence that the avian retrovirus DNA endonuclease domain of pol is necessary for viral integration.有遗传学证据表明,禽逆转录病毒pol基因的DNA核酸内切酶结构域对于病毒整合是必需的。
J Virol. 1988 Jul;62(7):2307-12. doi: 10.1128/JVI.62.7.2307-2312.1988.
8
Requirement of the avian retrovirus pp32 DNA binding protein domain for replication.禽逆转录病毒pp32 DNA结合蛋白结构域对复制的需求
Virology. 1984 Sep;137(2):358-70. doi: 10.1016/0042-6822(84)90228-9.
9
Avian sarcoma and leukosis virus pol-endonuclease recognition of the tandem long terminal repeat junction: minimum site required for cleavage is also required for viral growth.禽肉瘤和白血病病毒多聚酶-核酸内切酶对串联长末端重复序列连接区的识别:切割所需的最小位点也是病毒生长所必需的。
J Virol. 1987 Jun;61(6):1999-2008. doi: 10.1128/JVI.61.6.1999-2008.1987.
10
Restriction endonuclease and nucleotide sequence analyses of molecularly cloned unintegrated avian tumor virus DNA: structure of large terminal repeats in circle junctions.分子克隆的未整合禽肿瘤病毒DNA的限制性内切核酸酶和核苷酸序列分析:环状连接中大型末端重复序列的结构
J Virol. 1982 Apr;42(1):346-51. doi: 10.1128/JVI.42.1.346-351.1982.

引用本文的文献

1
Integration-deficient lentiviral vectors: a slow coming of age.整合缺陷型慢病毒载体:姗姗来迟的成熟
Mol Ther. 2009 Aug;17(8):1316-32. doi: 10.1038/mt.2009.122. Epub 2009 Jun 2.
2
Efficient and specific internal cleavage of a retroviral palindromic DNA sequence by tetrameric HIV-1 integrase.四聚体 HIV-1 整合酶对逆转录病毒回文 DNA 序列的高效特异性内部切割。
PLoS One. 2007 Jul 11;2(7):e608. doi: 10.1371/journal.pone.0000608.
3
A substitution in rous sarcoma virus integrase that separates its two biologically relevant enzymatic activities.

本文引用的文献

1
Altered mobility of polydeoxyribonucleotides in high resolution polyacrylamide gels due to removal of terminal phosphates.由于末端磷酸基团的去除,多脱氧核糖核苷酸在高分辨率聚丙烯酰胺凝胶中的迁移率发生改变。
Nucleic Acids Res. 1981 Dec 21;9(24):6787-94. doi: 10.1093/nar/9.24.6787.
2
Molecular biology. CACA sequences - the ends and the means?分子生物学。CACA序列——终点还是手段?
Nature. 1983;305(5930):101-2. doi: 10.1038/305101a0.
3
Circles with two tandem LTRs are precursors to integrated retrovirus DNA.带有两个串联长末端重复序列的环状结构是整合型逆转录病毒DNA的前体。
劳氏肉瘤病毒整合酶中的一种替代突变,该突变将其两种生物学相关的酶活性分隔开来。
J Virol. 2005 Apr;79(8):4691-9. doi: 10.1128/JVI.79.8.4691-4699.2005.
4
Comparison of DNA binding and integration half-site selection by avian myeloblastosis virus integrase.禽成髓细胞瘤病毒整合酶的DNA结合与整合半位点选择的比较
J Virol. 1993 May;67(5):2628-36. doi: 10.1128/JVI.67.5.2628-2636.1993.
5
Avian sarcoma and leukosis virus pol-endonuclease recognition of the tandem long terminal repeat junction: minimum site required for cleavage is also required for viral growth.禽肉瘤和白血病病毒多聚酶-核酸内切酶对串联长末端重复序列连接区的识别:切割所需的最小位点也是病毒生长所必需的。
J Virol. 1987 Jun;61(6):1999-2008. doi: 10.1128/JVI.61.6.1999-2008.1987.
6
Characterization of endonuclease activities in Moloney murine leukemia virus and its replication-defective mutants.莫洛尼鼠白血病病毒及其复制缺陷型突变体中的核酸内切酶活性特征
J Virol. 1987 May;61(5):1756-60. doi: 10.1128/JVI.61.5.1756-1760.1987.
7
An anomalous Ty1 structure attributed to an error in reverse transcription.一种归因于逆转录错误的异常Ty1结构。
Mol Cell Biol. 1986 Apr;6(4):1334-8. doi: 10.1128/mcb.6.4.1334-1338.1986.
8
Nuclease mechanism of the avian retrovirus pp32 endonuclease.禽逆转录病毒pp32核酸内切酶的核酸酶作用机制。
J Virol. 1986 Jun;58(3):970-4. doi: 10.1128/JVI.58.3.970-974.1986.
9
Properties of avian sarcoma-leukosis virus pp32-related pol-endonucleases produced in Escherichia coli.在大肠杆菌中产生的禽肉瘤-白血病病毒pp32相关的多聚酶-内切核酸酶的特性
J Virol. 1988 Jul;62(7):2358-65. doi: 10.1128/JVI.62.7.2358-2365.1988.
10
Genetic evidence that the avian retrovirus DNA endonuclease domain of pol is necessary for viral integration.有遗传学证据表明,禽逆转录病毒pol基因的DNA核酸内切酶结构域对于病毒整合是必需的。
J Virol. 1988 Jul;62(7):2307-12. doi: 10.1128/JVI.62.7.2307-2312.1988.
Cell. 1984 Mar;36(3):673-9. doi: 10.1016/0092-8674(84)90347-7.
4
Three new restriction endonucleases MaeI, MaeII and MaeIII from Methanococcus aeolicus.来自嗜热栖热甲烷球菌的三种新型限制性内切酶MaeI、MaeII和MaeIII。
Nucleic Acids Res. 1984 Mar 26;12(6):2619-28. doi: 10.1093/nar/12.6.2619.
5
Avian retrovirus pp32 DNA binding protein. Preferential binding to the promoter region of long terminal repeat DNA.禽逆转录病毒pp32 DNA结合蛋白。与长末端重复序列DNA的启动子区域优先结合。
Biochemistry. 1984 Jan 17;23(2):350-9. doi: 10.1021/bi00297a026.
6
Sequence-specific binding of glucocorticoid receptor to MTV DNA at sites within and upstream of the transcribed region.糖皮质激素受体与转录区域内及上游位点的MTV DNA发生序列特异性结合。
Cell. 1983 Dec;35(2 Pt 1):381-92. doi: 10.1016/0092-8674(83)90171-x.
7
The terminal nucleotides of retrovirus DNA are required for integration but not virus production.逆转录病毒DNA的末端核苷酸是整合所必需的,但不是病毒产生所必需的。
Nature. 1983;306(5939):155-60. doi: 10.1038/306155a0.
8
Site-specific DNA condensation and pairing mediated by the int protein of bacteriophage lambda.由噬菌体λ的整合蛋白介导的位点特异性DNA凝聚和配对
Proc Natl Acad Sci U S A. 1982 Oct;79(19):5837-41. doi: 10.1073/pnas.79.19.5837.
9
Avian retrovirus pp32 DNA-binding protein. I. Recognition of specific sequences on retrovirus DNA terminal repeats.禽逆转录病毒pp32 DNA结合蛋白。I. 对逆转录病毒DNA末端重复序列上特定序列的识别。
J Virol. 1982 Oct;44(1):330-43. doi: 10.1128/JVI.44.1.330-343.1982.
10
Nucleotide sequence of cloned unintegrated avian sarcoma virus DNA: viral DNA contains direct and inverted repeats similar to those in transposable elements.克隆的未整合禽肉瘤病毒DNA的核苷酸序列:病毒DNA含有与转座因子中相似的正向和反向重复序列。
Proc Natl Acad Sci U S A. 1981 Jan;78(1):124-8. doi: 10.1073/pnas.78.1.124.