Suppr超能文献

成釉细胞瘤和成釉细胞癌的组织学及免疫组化对比研究

Comparative histological and immunohistochemical study of ameloblastomas and ameloblastic carcinomas.

作者信息

Martínez-Martínez M, Mosqueda-Taylor A, Carlos-Bregni R, Pires F-R, Delgado-Azanero W, Neves-Silva R, Aldape-Barrios B, Paes-de Almeida O

机构信息

Piracicaba Dental School, University of Campinas (UNICAMP), Av. Limeira 901, P.O. Box 52, 13414-903 Piracicaba, São Paulo, Brazil,

出版信息

Med Oral Patol Oral Cir Bucal. 2017 May 1;22(3):e324-e332. doi: 10.4317/medoral.21901.

Abstract

BACKGROUND

This study aimed to compare the histological and immunohistochemical characteristics of ameloblastomas (AM) and ameloblastic carcinomas (AC).

MATERIAL AND METHODS

Fifteen cases of AM and 9 AC were submitted to hematoxilin and eosin (H&E) and immunohistochemical analysis with the following antibodies: cytokeratins 5,7,8,14 and 19, Ki-67, p53, p63 and the cellular adhesion molecules CD138 (Syndecan-1), E-cadherin and β-catenin. The mean score of the expression of Ki-67 and p53 labelling index (LIs) were compared between the groups using the t test. A value of p<0.05 was considered to be statistically significant.

RESULTS

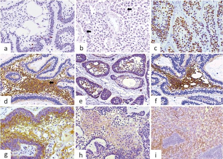
All cases were positive for CKs 5, 14 and 19, but negative for CKs 7 and 8. CKs 5 and 19 were positive mainly in the central regions of the ameloblastic islands, while the expression in AC was variable in intensity and localization. CK14 was also variably expressed in both AM and AC. Ki-67 (P=.001) and p53 (P=.004) immunoexpression was higher in AC. All cases were positive for p63, but values were higher in AC. CD138 was mainly expressed in peripheral cells of AM, with a weak positivity in the central areas, while it was positive in most areas of ACs, except in less differentiated regions, where expression was decreased or lost. E-cadherin and β-catenin were weakly positive in both AM and AC.

CONCLUSIONS

These results shows that Ki-67, p53 and p63 expression was higher in AC as compared to AM, suggesting that these markers can be useful when considering diagnosis of malignancy, and perhaps could play a role in malignant transformation of AM. Pattern of expression of CKs 5 and 19 in AC were different to those found in AM, suggesting genetic alterations of these proteins in malignant cells. It was confirmed that CK19 is a good marker for benign odontogenic tumors, such as AM, but it is variably expressed in malignant cases.

摘要

背景

本研究旨在比较成釉细胞瘤(AM)和成釉细胞癌(AC)的组织学和免疫组化特征。

材料与方法

15例AM和9例AC进行苏木精-伊红(H&E)染色及免疫组化分析,所用抗体如下:细胞角蛋白5、7、8、14和19、Ki-67、p53、p63以及细胞黏附分子CD138(Syndecan-1)、E-钙黏蛋白和β-连环蛋白。采用t检验比较两组间Ki-67和p53标记指数(LIs)表达的平均得分。p<0.05被认为具有统计学意义。

结果

所有病例CK5、14和19均呈阳性,但CK7和8呈阴性。CK5和19主要在成釉细胞岛的中央区域呈阳性,而在AC中的表达强度和定位各不相同。CK14在AM和AC中也呈不同程度表达。AC中Ki-67(P = 0.001)和p53(P = 0.004)的免疫表达更高。所有病例p63均呈阳性,但AC中的值更高。CD138主要在AM的外周细胞中表达,中央区域呈弱阳性,而在AC的大多数区域呈阳性,除了分化较差的区域,其表达减少或缺失。E-钙黏蛋白和β-连环蛋白在AM和AC中均呈弱阳性。

结论

这些结果表明,与AM相比,AC中Ki-67、p53和p63的表达更高,提示这些标志物在考虑恶性肿瘤诊断时可能有用,并且可能在AM的恶性转化中起作用。AC中CK5和19的表达模式与AM中不同,提示这些蛋白在恶性细胞中发生了基因改变。已证实CK19是良性牙源性肿瘤如AM的良好标志物,但在恶性病例中表达各异。

https://cdn.ncbi.nlm.nih.gov/pmc/blobs/d985/5432081/5a9a97dcf34a/medoral-22-e324-g001.jpg

文献AI研究员

20分钟写一篇综述,助力文献阅读效率提升50倍。

立即体验

用中文搜PubMed

大模型驱动的PubMed中文搜索引擎

马上搜索

文档翻译

学术文献翻译模型,支持多种主流文档格式。

立即体验