Suppr超能文献

极低频磁场驱动磁性纳米颗粒的肿瘤治疗评价。

Evaluation of Tumor Treatment of Magnetic Nanoparticles Driven by Extremely Low Frequency Magnetic Field.

机构信息

Department of Biomedical Engineering, Nanjing University of Aeronautics and Astronautics, 29 Yudao Street, Nanjing, 210016, China.

出版信息

Sci Rep. 2017 Apr 11;7:46287. doi: 10.1038/srep46287.

Abstract

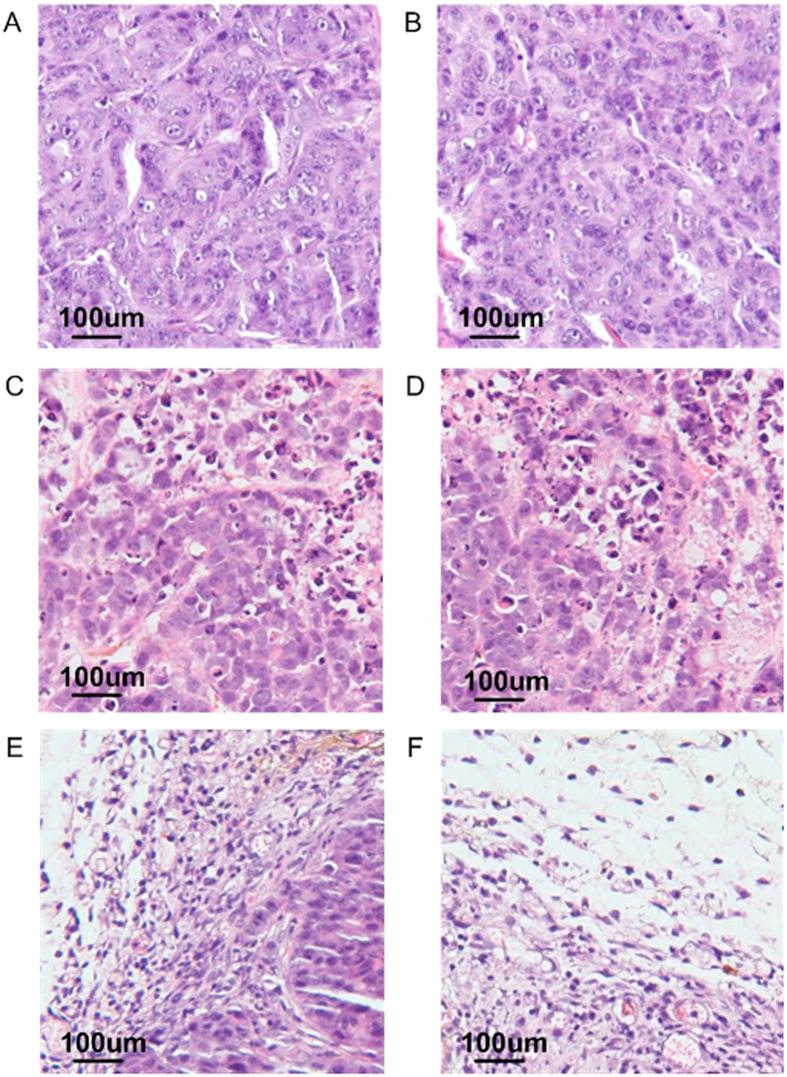
Recently, magnetic nanoparticles (MNPs), which can be manipulated in the magnetic field, have received much attention in tumor therapy. Extremely low frequency magnetic field (ELMF) system can initiate MNPs vibrating and the movement of MNPs inside of cells can be controlled by adjusting the frequency and intensity of ELMF towards irreversible cell damages. In this study, we investigated the detrimental effects on tumor cells with MNPs under various ELMF exposure conditions. An in-house built ELMF system was developed and utilized for evaluating the treatment efficiency of MNPs on tumor cells with specific intensities (2-20 Hz) and frequencies (0.1-20 mT). Significant morphological changes were found in tumor cells treated with MNPs in combing with ELMF, which were consistent with noticeable decrease in cell viability. With the increase of the intensity and frequency of the magnetic field, the structural integrity of tumor tissue can be further destroyed. Destructive effects of MNPs and ELMF on tumor tissues were further determined by the pathophysiological changes observed in vivo in animal study. Taken together, the combination of MNPs and ELMF had a great potential as an innovative treatment approach for tumor intervention.

摘要

最近,磁性纳米粒子(MNPs)因其可以在磁场中操纵而受到广泛关注,在肿瘤治疗中得到了广泛的关注。极低频磁场(ELMF)系统可以引发 MNPs 的振动,通过调整 ELMF 的频率和强度,可以控制 MNPs 在细胞内的运动,从而导致不可逆的细胞损伤。在这项研究中,我们研究了在不同 ELMF 暴露条件下 MNPs 对肿瘤细胞的有害影响。我们开发了一个内部建造的 ELMF 系统,并利用该系统评估了特定强度(2-20 Hz)和频率(0.1-20 mT)下 MNPs 对肿瘤细胞的治疗效率。在与 ELMF 联合治疗的肿瘤细胞中发现了明显的形态变化,这与细胞活力的显著下降是一致的。随着磁场强度和频率的增加,肿瘤组织的结构完整性可以进一步被破坏。在动物研究中观察到的体内病理生理变化进一步确定了 MNPs 和 ELMF 对肿瘤组织的破坏作用。总之,MNPs 和 ELMF 的联合应用作为一种肿瘤干预的创新治疗方法具有很大的潜力。

https://cdn.ncbi.nlm.nih.gov/pmc/blobs/afd7/5387737/970d2caf2bb7/srep46287-f1.jpg

文献AI研究员

20分钟写一篇综述,助力文献阅读效率提升50倍。

立即体验

用中文搜PubMed

大模型驱动的PubMed中文搜索引擎

马上搜索

文档翻译

学术文献翻译模型,支持多种主流文档格式。

立即体验