Suppr超能文献

18例炎症性肌纤维母细胞瘤的临床病理研究及ALK-1表达分析:三级医疗中心的5年经验

Clinicopathological Study of 18 Cases of Inflammatory Myofibroblastic Tumors with Reference to ALK-1 Expression: 5-Year Experience in a Tertiary Care Center.

作者信息

Telugu Ramesh Babu, Prabhu Anne Jennifer, Kalappurayil Nobin Babu, Mathai John, Gnanamuthu Birla Roy, Manipadam Marie Therese

机构信息

Department of General Pathology, Christian Medical College and Hospital, Vellore, India.

Department of Paediatric Surgery, Christian Medical College and Hospital, Vellore, India.

出版信息

J Pathol Transl Med. 2017 May;51(3):255-263. doi: 10.4132/jptm.2017.01.12. Epub 2017 Apr 17.

Abstract

BACKGROUND

Inflammatory myofibroblastic tumor is a histopathologically distinctive neoplasm of children and young adults. According to World Health Organization (WHO) classification, inflammatory myofibroblastic tumor is an intermediate-grade tumor, with potential for recurrence and rare metastasis. There are no definite histopathologic, molecular, or cytogenetic features to predict malignant transformation, recurrence, or metastasis.

METHODS

A 5-year retrospective study of histopathologically diagnosed inflammatory myofibroblastic tumors of various anatomic sites was conducted to correlate anaplastic lymphoma kinase-1 (ALK-1) expression with histological atypia, multicentric origin of tumor, recurrence, and metastasis. Clinical details of all the cases were noted from the clinical work station. Immunohistochemical stains for ALK-1 and other antibodies were performed. Statistical analysis was done using Fisher exact test.

RESULTS

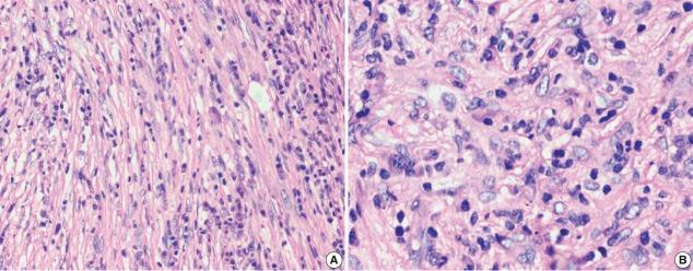
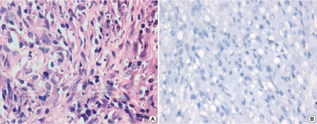
A total of 18 cases of inflammatory myofibroblastic tumors were found during the study period, of which 14 were classical. The female-male ratio was 1:1 and the mean age was 23.8 years. Histologically atypical (four cases) and multifocal tumors (three cases, multicentric in origin) were noted. Recurrence was noted in 30% of ALK-1 positive and 37.5% of ALK-1 negative cases, whereas metastasis to the lung, liver, and pelvic bone was noted in the ALK-1 positive group only.

CONCLUSIONS

Overall, ALK-1 protein was expressed in 55.6% of inflammatory myofibroblastic tumors. There was no statistically significant correlation between ALK-1 expression, tumor type, recurrence and metastasis. However, ALK-1 immunohistochemistry is a useful diagnostic aid in the appropriate clinical and histomorphologic context.

摘要

背景

炎性肌纤维母细胞瘤是儿童和年轻人中一种组织病理学上独特的肿瘤。根据世界卫生组织(WHO)分类,炎性肌纤维母细胞瘤是一种中级别肿瘤,有复发潜力且罕见转移。目前尚无明确的组织病理学、分子或细胞遗传学特征可预测恶性转化、复发或转移。

方法

对不同解剖部位经组织病理学诊断的炎性肌纤维母细胞瘤进行了一项为期5年的回顾性研究,以将间变性淋巴瘤激酶-1(ALK-1)表达与组织学异型性、肿瘤多中心起源、复发和转移相关联。从临床工作站记录了所有病例的临床细节。进行了ALK-1和其他抗体的免疫组织化学染色。使用Fisher精确检验进行统计分析。

结果

研究期间共发现18例炎性肌纤维母细胞瘤,其中14例为经典型。男女比例为1:1,平均年龄为23.8岁。观察到组织学异型性(4例)和多灶性肿瘤(3例,多中心起源)。ALK-1阳性病例中有30%出现复发,ALK-1阴性病例中有37.5%出现复发,而仅在ALK-1阳性组中观察到肺、肝和骨盆骨转移。

结论

总体而言,55.6%的炎性肌纤维母细胞瘤表达ALK-1蛋白。ALK-1表达、肿瘤类型、复发和转移之间无统计学显著相关性。然而,在适当的临床和组织形态学背景下,ALK-1免疫组织化学是一种有用的诊断辅助手段。

https://cdn.ncbi.nlm.nih.gov/pmc/blobs/0af2/5445201/ca2a370572e9/jptm-2017-01-12f1.jpg

文献AI研究员

20分钟写一篇综述,助力文献阅读效率提升50倍。

立即体验

用中文搜PubMed

大模型驱动的PubMed中文搜索引擎

马上搜索

文档翻译

学术文献翻译模型,支持多种主流文档格式。

立即体验