• 文献检索
  • 文档翻译
  • 深度研究
  • 学术资讯
  • Suppr Zotero 插件Zotero 插件
  • 邀请有礼
  • 套餐&价格
  • 历史记录
应用&插件
Suppr Zotero 插件Zotero 插件浏览器插件Mac 客户端Windows 客户端微信小程序
定价
高级版会员购买积分包购买API积分包
服务
文献检索文档翻译深度研究API 文档MCP 服务
关于我们
关于 Suppr公司介绍联系我们用户协议隐私条款
关注我们

Suppr 超能文献

核心技术专利:CN118964589B侵权必究
粤ICP备2023148730 号-1Suppr @ 2026

文献检索

告别复杂PubMed语法,用中文像聊天一样搜索,搜遍4000万医学文献。AI智能推荐,让科研检索更轻松。

立即免费搜索

文件翻译

保留排版,准确专业,支持PDF/Word/PPT等文件格式,支持 12+语言互译。

免费翻译文档

深度研究

AI帮你快速写综述,25分钟生成高质量综述,智能提取关键信息,辅助科研写作。

立即免费体验

一名年轻男性膀胱炎性肌纤维母细胞瘤:罕见病例报告

Inflammatory Myofibroblastic Tumour of the Bladder in a Young Male: A Rare Case Report.

作者信息

Mohd Hashim Mohammad Hifzi, Abdullah Suhaila, Lee Chin Yiun, Salauddin Syahril Anuar, Hj Ghazali Hamid

机构信息

Department of Urology, Universiti Kebangsaan Malaysia Medical Center, Kuala Lumpur, MYS.

Department of Urology, Hospital Tengku Ampuan Afzan (HTAA), Kuantan, MYS.

出版信息

Cureus. 2025 May 7;17(5):e83657. doi: 10.7759/cureus.83657. eCollection 2025 May.

DOI:10.7759/cureus.83657
PMID:40486359
原文链接:https://pmc.ncbi.nlm.nih.gov/articles/PMC12143931/
Abstract

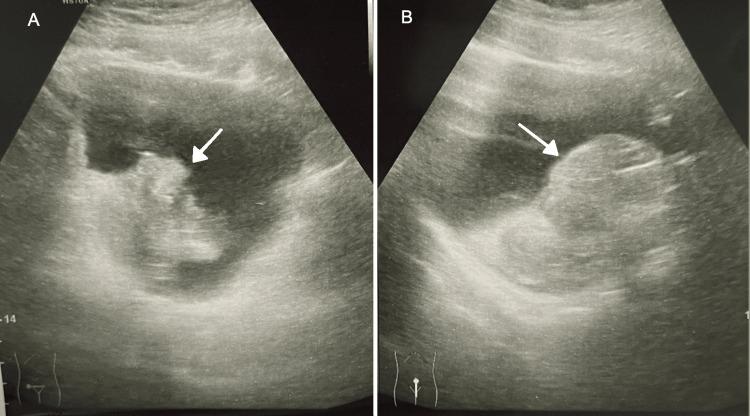
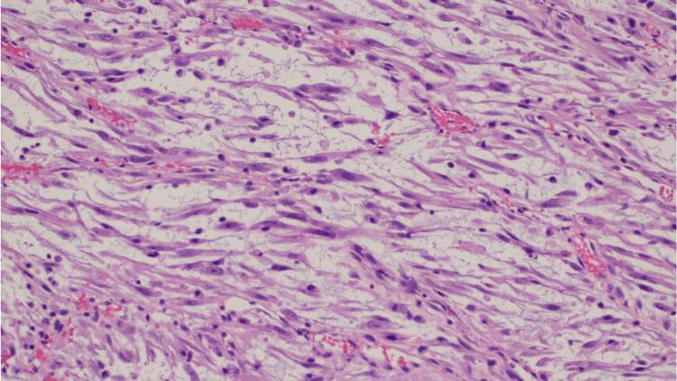
Inflammatory myofibroblastic tumour (IMT) of the urinary bladder is a rare mesenchymal neoplasm characterised by spindle-shaped myofibroblastic cells and an accompanying inflammatory infiltrate. Although its aetiology remains unclear, histopathological and immunohistochemical analyses are essential for diagnosis. We report the case of an 18-year-old male who presented with sudden-onset, painless gross haematuria. Initial evaluation revealed severe anaemia, necessitating blood transfusion. Renal ultrasound demonstrated a large echogenic lesion within the bladder. Cystoscopy revealed a large, polypoidal tumour on the right lateral bladder wall with active bleeding. The tumour was completely resected via transurethral resection of bladder tumour (TURBT). Histopathological examination confirmed IMT, with immunohistochemical staining positive for smooth muscle actin (SMA) and anaplastic lymphoma kinase (ALK), supporting the diagnosis. The patient remained stable postoperatively, with no recurrence at three- and six-month follow-up. Bladder IMTs are uncommon, particularly in young males, and typically present with non-specific urinary symptoms, most notably haematuria. Differentiation from other spindle cell neoplasms, including urothelial carcinoma and sarcomas, is crucial for appropriate management. Complete surgical excision is typically curative, and ongoing surveillance with periodic cystoscopy is recommended due to the potential for recurrence. IMT of the bladder is a rare but important differential diagnosis for bladder tumours in young patients presenting with haematuria. Timely diagnosis and surgical intervention can lead to favourable outcomes, underscoring the importance of clinical awareness.

摘要

膀胱炎性肌纤维母细胞瘤(IMT)是一种罕见的间叶性肿瘤,其特征为梭形肌纤维母细胞及伴随的炎性浸润。尽管其病因尚不清楚,但组织病理学和免疫组织化学分析对诊断至关重要。我们报告一例18岁男性患者,其表现为突发无痛肉眼血尿。初始评估显示严重贫血,需要输血。肾脏超声显示膀胱内有一个大的高回声病变。膀胱镜检查发现右侧膀胱壁有一个大的息肉样肿瘤并有活动性出血。通过经尿道膀胱肿瘤切除术(TURBT)将肿瘤完全切除。组织病理学检查确诊为IMT,免疫组织化学染色显示平滑肌肌动蛋白(SMA)和间变性淋巴瘤激酶(ALK)呈阳性,支持该诊断。患者术后情况稳定,在3个月和6个月随访时无复发。膀胱IMT并不常见,尤其是在年轻男性中,通常表现为非特异性泌尿系统症状,最显著的是血尿。与其他梭形细胞肿瘤,包括尿路上皮癌和肉瘤相鉴别,对恰当的治疗至关重要。完整的手术切除通常可治愈,鉴于有复发的可能,建议定期进行膀胱镜检查以持续监测。膀胱IMT是年轻血尿患者膀胱肿瘤的一种罕见但重要的鉴别诊断。及时诊断和手术干预可带来良好的结果,凸显了临床认识的重要性。

https://cdn.ncbi.nlm.nih.gov/pmc/blobs/e98b/12143931/9dee2284655b/cureus-0017-00000083657-i04.jpg
https://cdn.ncbi.nlm.nih.gov/pmc/blobs/e98b/12143931/d6cbef5d5f7f/cureus-0017-00000083657-i01.jpg
https://cdn.ncbi.nlm.nih.gov/pmc/blobs/e98b/12143931/da894e61ba1b/cureus-0017-00000083657-i02.jpg
https://cdn.ncbi.nlm.nih.gov/pmc/blobs/e98b/12143931/6c9b55699911/cureus-0017-00000083657-i03.jpg
https://cdn.ncbi.nlm.nih.gov/pmc/blobs/e98b/12143931/9dee2284655b/cureus-0017-00000083657-i04.jpg
https://cdn.ncbi.nlm.nih.gov/pmc/blobs/e98b/12143931/d6cbef5d5f7f/cureus-0017-00000083657-i01.jpg
https://cdn.ncbi.nlm.nih.gov/pmc/blobs/e98b/12143931/da894e61ba1b/cureus-0017-00000083657-i02.jpg
https://cdn.ncbi.nlm.nih.gov/pmc/blobs/e98b/12143931/6c9b55699911/cureus-0017-00000083657-i03.jpg
https://cdn.ncbi.nlm.nih.gov/pmc/blobs/e98b/12143931/9dee2284655b/cureus-0017-00000083657-i04.jpg

相似文献

1
Inflammatory Myofibroblastic Tumour of the Bladder in a Young Male: A Rare Case Report.一名年轻男性膀胱炎性肌纤维母细胞瘤:罕见病例报告
Cureus. 2025 May 7;17(5):e83657. doi: 10.7759/cureus.83657. eCollection 2025 May.
2
Recurrent inflammatory myofibroblastic tumors (IMTs) of bladder managed with transurethral resection; case report.经尿道切除术治疗复发性膀胱炎性肌纤维母细胞瘤(IMTs);病例报告。
Int J Surg Case Rep. 2025 Mar;128:110978. doi: 10.1016/j.ijscr.2025.110978. Epub 2025 Jan 29.
3
Inflammatory Myofibroblastic Tumour of the Urinary Bladder in a Middle-Aged Man-A Case Report of an Unusual Localization of a Rare Tumour.中年男性膀胱炎性肌纤维母细胞瘤——一种罕见肿瘤的不常见部位的病例报告。
Medicina (Kaunas). 2023 Apr 19;59(4):791. doi: 10.3390/medicina59040791.
4
Inflammatory myofibroblastic tumour of the bladder: a case report and review of the literature.膀胱炎性肌纤维母细胞瘤:一例报告并文献复习
Ther Adv Urol. 2022 May 17;14:17562872221096385. doi: 10.1177/17562872221096385. eCollection 2022 Jan-Dec.
5
Anaplastic lymphoma kinase1 positive inflammatory myofibroblastic tumor of the urinary bladder: A rare mesenchymal neoplasm with diagnostic and therapeutic implications.膀胱间变性淋巴瘤激酶1阳性炎性肌成纤维细胞瘤:一种具有诊断和治疗意义的罕见间叶性肿瘤
SAGE Open Med Case Rep. 2024 Dec 19;12:2050313X241308992. doi: 10.1177/2050313X241308992. eCollection 2024.
6
Inflammatory myofibroblastic tumor of the bladder treated with partial cystectomy: Case report.膀胱炎性肌纤维母细胞瘤行膀胱部分切除术治疗:病例报告
Int J Surg Case Rep. 2025 Apr;129:111225. doi: 10.1016/j.ijscr.2025.111225. Epub 2025 Mar 28.
7
Inflammatory Myofibroblastic Tumor of the Urinary Bladder: A Case Report.膀胱炎性肌纤维母细胞瘤:一例报告
Case Rep Oncol. 2016 Aug 17;9(2):464-469. doi: 10.1159/000448550. eCollection 2016 May-Aug.
8
Inflammatory myofibroblastic tumor of the urinary bladder with FN1‑ALK gene fusion: A case report.伴有FN1-ALK基因融合的膀胱炎性肌成纤维细胞瘤:一例报告
Oncol Lett. 2023 Apr 13;25(6):227. doi: 10.3892/ol.2023.13813. eCollection 2023 Jun.
9
[A Case of Inflammatory Myofibroblastic Tumor of Urinary Bladder].[一例膀胱炎性肌纤维母细胞瘤]
Hinyokika Kiyo. 2016 Apr;62(4):201-4.
10
Minimally invasive surgery for inflammatory myofibroblastic tumor of the urinary bladder: Three case reports.膀胱炎性肌纤维母细胞瘤的微创手术:三例报告
Medicine (Baltimore). 2018 Dec;97(49):e13474. doi: 10.1097/MD.0000000000013474.

本文引用的文献

1
Inflammatory myofibroblastic tumor of the urinary bladder: A systematic review of the literature and report of a case.膀胱炎性肌纤维母细胞瘤:文献系统综述及1例报告
Indian J Urol. 2024 Apr-Jun;40(2):88-95. doi: 10.4103/iju.iju_50_24. Epub 2024 Apr 1.
2
A Conservative Approach to Inflammatory Myofibroblastic Tumor of the Bladder: A Case Report and Review of Literature.膀胱炎性肌纤维母细胞瘤的保守治疗方法:一例病例报告及文献综述
Case Rep Urol. 2021 Mar 8;2021:6660356. doi: 10.1155/2021/6660356. eCollection 2021.
3
Crizotinib and Surgery for Long-Term Disease Control in Children and Adolescents With ALK-Positive Inflammatory Myofibroblastic Tumors.
克唑替尼与手术用于ALK阳性炎性肌纤维母细胞瘤儿童和青少年的长期疾病控制
JCO Precis Oncol. 2019 May 16;3. doi: 10.1200/PO.18.00297. eCollection 2019.
4
Inflammatory myofibroblastic tumor of urinary bladder with severe hematuria: A Case report and literature review.膀胱炎性肌纤维母细胞瘤伴严重血尿:病例报告及文献复习
Medicine (Baltimore). 2019 Jan;98(1):e13987. doi: 10.1097/MD.0000000000013987.
5
Inflammatory Myofibroblastic Tumor of Urinary Bladder.膀胱炎性肌纤维母细胞瘤
Chin Med J (Engl). 2018 Sep 20;131(18):2259-2261. doi: 10.4103/0366-6999.240816.
6
Clinicopathological Study of 18 Cases of Inflammatory Myofibroblastic Tumors with Reference to ALK-1 Expression: 5-Year Experience in a Tertiary Care Center.18例炎症性肌纤维母细胞瘤的临床病理研究及ALK-1表达分析:三级医疗中心的5年经验
J Pathol Transl Med. 2017 May;51(3):255-263. doi: 10.4132/jptm.2017.01.12. Epub 2017 Apr 17.
7
Pediatric Fibroblastic and Myofibroblastic Tumors: A Pictorial Review.小儿成纤维细胞性和肌成纤维细胞性肿瘤:图谱综述
Radiographics. 2016 Jul-Aug;36(4):1195-214. doi: 10.1148/rg.2016150191.
8
Successful treatment and follow-up of a case of recurrent pseudosarcomatous myofibroblastic proliferation.一例复发性假肉瘤性肌成纤维细胞增生症的成功治疗及随访
Saudi Med J. 2015 Mar;36(3):363-5. doi: 10.15537/smj.2015.3.10149.
9
Inoperable inflammatory myofibroblastic tumour of the para-nasal sinuses and orbit with recurrence responding to methotrexate and prednisolone: a case report.鼻窦和眼眶不可切除的炎性肌纤维母细胞瘤伴甲氨蝶呤和泼尼松龙治疗后复发:病例报告
BMC Res Notes. 2015 Feb 4;8:27. doi: 10.1186/s13104-015-0993-3.
10
Inflammatory myofibroblastic tumor of the bladder.膀胱炎性肌纤维母细胞瘤
Arch Pathol Lab Med. 2014 Oct;138(10):1272-7. doi: 10.5858/arpa.2014-0274-CC.