• 文献检索
  • 文档翻译
  • 深度研究
  • 学术资讯
  • Suppr Zotero 插件Zotero 插件
  • 邀请有礼
  • 套餐&价格
  • 历史记录
应用&插件
Suppr Zotero 插件Zotero 插件浏览器插件Mac 客户端Windows 客户端微信小程序
定价
高级版会员购买积分包购买API积分包
服务
文献检索文档翻译深度研究API 文档MCP 服务
关于我们
关于 Suppr公司介绍联系我们用户协议隐私条款
关注我们

Suppr 超能文献

核心技术专利:CN118964589B侵权必究
粤ICP备2023148730 号-1Suppr @ 2026

文献检索

告别复杂PubMed语法,用中文像聊天一样搜索,搜遍4000万医学文献。AI智能推荐,让科研检索更轻松。

立即免费搜索

文件翻译

保留排版,准确专业,支持PDF/Word/PPT等文件格式,支持 12+语言互译。

免费翻译文档

深度研究

AI帮你快速写综述,25分钟生成高质量综述,智能提取关键信息,辅助科研写作。

立即免费体验

受体结合位点之外的DNA序列以不同方式调节小鼠乳腺肿瘤病毒启动子对各种类固醇激素的反应性。

DNA sequences outside the receptor-binding sites differently modulate the responsiveness of the mouse mammary tumour virus promoter to various steroid hormones.

作者信息

Cato A C, Skroch P, Weinmann J, Butkeraitis P, Ponta H

机构信息

Kernforschungszentrum Karlsruhe, Institut für Genetik und Toxikologie, FRG.

出版信息

EMBO J. 1988 May;7(5):1403-10. doi: 10.1002/j.1460-2075.1988.tb02957.x.

DOI:10.1002/j.1460-2075.1988.tb02957.x
PMID:2842149
原文链接:https://pmc.ncbi.nlm.nih.gov/articles/PMC458390/
Abstract

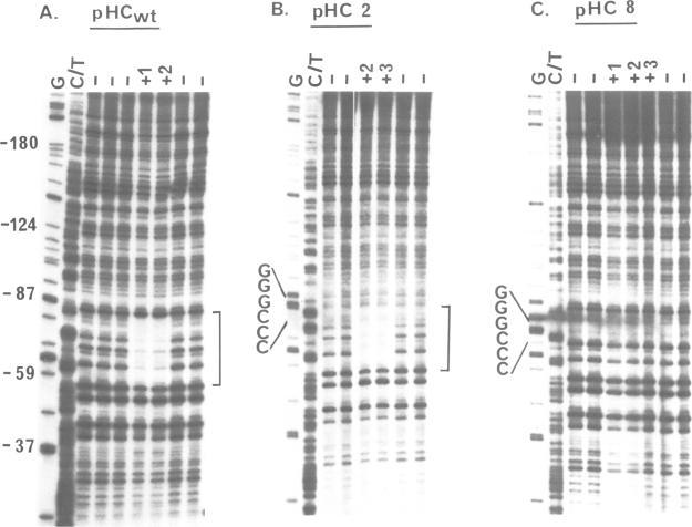
Glucocorticoids, progestins and androgens all induce the transcription of the mouse mammary tumour virus (MMTV) DNA upon binding of their respective receptors to the hormone response element (HRE). This element is located between -202 and -59 5' upstream of the start of transcription on the MMTV long terminal repeat (LTR) region. The HRE contains four repeats of the hexanucleotide 5'-TGTTCT-3' to which the steroid hormone receptors are thought to bind. To investigate the contribution of the individual receptor-binding sites and neighbouring sequences to the steroid hormone action at the MMTV LTR promoter, we mutated various regions of the HRE and studied their response in transfection experiments. Each of the four receptor-binding sites was found to contribute substantially to the overall induction of transcription by all the various steroid hormones tested. This indicates that each individual receptor-binding site on the HRE is important for maximum hormone response. Additionally, we identified four separate sequences outside the receptor binding sites that differentially modulated the response of the MMTV LTR promoter to various steroids. One of these sequences binds the cellular factor, NFI. Thus the interaction of trans-acting factors with sequences outside the hormone receptor-binding sites controls the hormone response of the MMTV LTR promoter.

摘要

糖皮质激素、孕激素和雄激素在各自的受体与激素反应元件(HRE)结合后,均可诱导小鼠乳腺肿瘤病毒(MMTV)DNA的转录。该元件位于MMTV长末端重复序列(LTR)区域转录起始点上游5'端的-202至-59之间。HRE包含六核苷酸5'-TGTTCT-3'的四个重复序列,类固醇激素受体被认为与之结合。为了研究单个受体结合位点和相邻序列对MMTV LTR启动子处类固醇激素作用的贡献,我们对HRE的各个区域进行了突变,并在转染实验中研究了它们的反应。发现四个受体结合位点中的每一个对所测试的所有各种类固醇激素的转录总体诱导都有很大贡献。这表明HRE上的每个单独受体结合位点对于最大激素反应都很重要。此外,我们在受体结合位点之外鉴定出四个单独的序列,它们对MMTV LTR启动子对各种类固醇的反应有不同的调节作用。其中一个序列结合细胞因子NFI。因此,反式作用因子与激素受体结合位点之外的序列之间的相互作用控制着MMTV LTR启动子的激素反应。

https://cdn.ncbi.nlm.nih.gov/pmc/blobs/861b/458390/c3d9c5b86e64/emboj00142-0156-a.jpg
https://cdn.ncbi.nlm.nih.gov/pmc/blobs/861b/458390/9202b1188589/emboj00142-0155-a.jpg
https://cdn.ncbi.nlm.nih.gov/pmc/blobs/861b/458390/c3d9c5b86e64/emboj00142-0156-a.jpg
https://cdn.ncbi.nlm.nih.gov/pmc/blobs/861b/458390/9202b1188589/emboj00142-0155-a.jpg
https://cdn.ncbi.nlm.nih.gov/pmc/blobs/861b/458390/c3d9c5b86e64/emboj00142-0156-a.jpg

相似文献

1
DNA sequences outside the receptor-binding sites differently modulate the responsiveness of the mouse mammary tumour virus promoter to various steroid hormones.受体结合位点之外的DNA序列以不同方式调节小鼠乳腺肿瘤病毒启动子对各种类固醇激素的反应性。
EMBO J. 1988 May;7(5):1403-10. doi: 10.1002/j.1460-2075.1988.tb02957.x.
2
The hormone response element of the mouse mammary tumour virus DNA mediates the progestin and androgen induction of transcription in the proviral long terminal repeat region.小鼠乳腺肿瘤病毒DNA的激素反应元件介导前病毒长末端重复序列区域转录的孕激素和雄激素诱导。
EMBO J. 1987 Feb;6(2):363-8. doi: 10.1002/j.1460-2075.1987.tb04763.x.
3
Functional elements of the steroid hormone-responsive promoter of mouse mammary tumor virus.小鼠乳腺肿瘤病毒类固醇激素反应性启动子的功能元件
J Virol. 1990 Sep;64(9):4477-88. doi: 10.1128/JVI.64.9.4477-4488.1990.
4
Cellular factors binding to a novel cis-acting element mediate steroid hormone responsiveness of mouse mammary tumor virus promoter.与一种新型顺式作用元件结合的细胞因子介导小鼠乳腺肿瘤病毒启动子的类固醇激素反应性。
J Biol Chem. 1995 Oct 13;270(41):24502-8. doi: 10.1074/jbc.270.41.24502.
5
The long terminal repeat region of the mouse mammary tumour virus contains multiple regulatory elements.小鼠乳腺肿瘤病毒的长末端重复序列区域包含多个调控元件。
Nucleic Acids Res. 1990 Apr 25;18(8):2017-24. doi: 10.1093/nar/18.8.2017.
6
In vivo binding of proteins to stably integrated MMTV DNA in murine cell lines: occupancy of NFI and OTF1 binding sites in the absence and presence of glucocorticoids.蛋白质与小鼠细胞系中稳定整合的MMTV DNA的体内结合:在存在和不存在糖皮质激素的情况下NFI和OTF1结合位点的占有率
Cell Mol Biol Res. 1994;40(7-8):643-52.
7
Nuclear factor I acts as a transcription factor on the MMTV promoter but competes with steroid hormone receptors for DNA binding.核因子I作为MMTV启动子上的转录因子,但与类固醇激素受体竞争DNA结合。
EMBO J. 1990 Jul;9(7):2233-9. doi: 10.1002/j.1460-2075.1990.tb07393.x.
8
Mutations in the hormone regulatory element of mouse mammary tumor virus differentially affect the response to progestins, androgens, and glucocorticoids.小鼠乳腺肿瘤病毒激素调节元件中的突变对孕激素、雄激素和糖皮质激素的反应有不同影响。
Mol Cell Biol. 1989 Sep;9(9):3999-4008. doi: 10.1128/mcb.9.9.3999-4008.1989.
9
Gene regulation by steroid hormones.类固醇激素对基因的调控
J Steroid Biochem. 1987;27(1-3):9-14. doi: 10.1016/0022-4731(87)90288-3.
10
Interplay of steroid hormone receptors and transcription factors on the mouse mammary tumor virus promoter.类固醇激素受体与转录因子在小鼠乳腺肿瘤病毒启动子上的相互作用。
J Steroid Biochem Mol Biol. 1992 Oct;43(5):365-78. doi: 10.1016/0960-0760(92)90071-p.

引用本文的文献

1
Reduced steroid activation of elephant shark GR and MR after inserting four amino acids from the DNA-binding domain of lamprey corticoid receptor-1.将来自七鳃鳗皮质素受体-1 DNA 结合域的四个氨基酸插入后,减少了象鲨 GR 和 MR 的类固醇激活。
PLoS One. 2023 Aug 23;18(8):e0290159. doi: 10.1371/journal.pone.0290159. eCollection 2023.
2
Construction of reporter gene assays using and mutant yeasts for enhanced detection of various sex steroids.使用[具体名称未给出]和[具体名称未给出]突变酵母构建报告基因检测法以增强对各种性类固醇的检测。
Genes Environ. 2020 May 27;42:20. doi: 10.1186/s41021-020-00159-x. eCollection 2020.
3
Testosterone Induces Relaxation of Human Corpus Cavernosum Tissue of Patients With Erectile Dysfunction.

本文引用的文献

1
Recombinant genomes which express chloramphenicol acetyltransferase in mammalian cells.在哺乳动物细胞中表达氯霉素乙酰转移酶的重组基因组。
Mol Cell Biol. 1982 Sep;2(9):1044-51. doi: 10.1128/mcb.2.9.1044-1051.1982.
2
The TGGCA-binding protein: a eukaryotic nuclear protein recognizing a symmetrical sequence on double-stranded linear DNA.TGGCA结合蛋白:一种识别双链线性DNA上对称序列的真核细胞核蛋白。
Nucleic Acids Res. 1984 May 25;12(10):4295-311. doi: 10.1093/nar/12.10.4295.
3
Sequence-specific binding of glucocorticoid receptor to MTV DNA at sites within and upstream of the transcribed region.
睾酮可诱导勃起功能障碍患者阴茎海绵体组织松弛。
Sex Med. 2020 Mar;8(1):114-119. doi: 10.1016/j.esxm.2019.10.003. Epub 2019 Nov 22.
4
Evolutionary Fate of the Androgen Receptor-Signaling Pathway in Ray-Finned Fishes with a Special Focus on Cichlids.辐鳍鱼类雄激素受体信号通路的进化命运,特别关注丽鱼科鱼类
G3 (Bethesda). 2015 Sep 1;5(11):2275-83. doi: 10.1534/g3.115.020685.
5
Non-genomic actions of androgens.雄激素的非基因组作用。
Front Neuroendocrinol. 2008 May;29(2):169-81. doi: 10.1016/j.yfrne.2007.10.005. Epub 2007 Nov 7.
6
Promoter complex in the central part of the mouse mammary tumor virus long terminal repeat.小鼠乳腺肿瘤病毒长末端重复序列中部的启动子复合体
J Virol. 2007 Nov;81(22):12572-81. doi: 10.1128/JVI.00351-07. Epub 2007 Aug 8.
7
Chromatin-mediated restriction of nuclear factor 1/CTF binding in a repressed and hormone-activated promoter in vivo.染色质介导的体内抑制型和激素激活型启动子中核因子1/CTF结合的限制
Mol Cell Biol. 2004 Apr;24(7):3036-47. doi: 10.1128/MCB.24.7.3036-3047.2004.
8
ATP-dependent mobilization of the glucocorticoid receptor during chromatin remodeling.染色质重塑过程中依赖ATP的糖皮质激素受体动员
Mol Cell Biol. 2002 May;22(10):3255-63. doi: 10.1128/MCB.22.10.3255-3263.2002.
9
Cyclin E as a coactivator of the androgen receptor.细胞周期蛋白E作为雄激素受体的共激活因子。
J Cell Biol. 2000 Aug 21;150(4):873-80. doi: 10.1083/jcb.150.4.873.
10
Structure and dynamic properties of a glucocorticoid receptor-induced chromatin transition.糖皮质激素受体诱导的染色质转变的结构与动态特性
Mol Cell Biol. 2000 Sep;20(17):6466-75. doi: 10.1128/MCB.20.17.6466-6475.2000.
糖皮质激素受体与转录区域内及上游位点的MTV DNA发生序列特异性结合。
Cell. 1983 Dec;35(2 Pt 1):381-92. doi: 10.1016/0092-8674(83)90171-x.
4
Identification of two distinct regulatory regions adjacent to the human beta-interferon gene.鉴定出与人类β-干扰素基因相邻的两个不同调控区域。
Cell. 1983 Oct;34(3):865-79. doi: 10.1016/0092-8674(83)90544-5.
5
A small region of the mouse mammary tumor virus long terminal repeat confers glucocorticoid hormone regulation on a linked heterologous gene.小鼠乳腺肿瘤病毒长末端重复序列的一个小区域赋予了与它相连的异源基因糖皮质激素调节功能。
Proc Natl Acad Sci U S A. 1983 Oct;80(19):5866-70. doi: 10.1073/pnas.80.19.5866.
6
The glucocorticoid receptor binds to defined nucleotide sequences near the promoter of mouse mammary tumour virus.糖皮质激素受体与小鼠乳腺肿瘤病毒启动子附近特定的核苷酸序列结合。
Nature. 1983;304(5928):749-52. doi: 10.1038/304749a0.
7
Enhancer elements.增强子元件
Cell. 1983 Jun;33(2):313-4. doi: 10.1016/0092-8674(83)90410-5.
8
pEMBL: a new family of single stranded plasmids.pEMBL:一类新型单链质粒。
Nucleic Acids Res. 1983 Mar 25;11(6):1645-55. doi: 10.1093/nar/11.6.1645.
9
Multiple point mutations affecting the simian virus 40 enhancer.影响猿猴病毒40增强子的多个点突变
Science. 1983 Feb 11;219(4585):626-31. doi: 10.1126/science.6297005.
10
Sequencing end-labeled DNA with base-specific chemical cleavages.通过碱基特异性化学切割对末端标记的DNA进行测序。
Methods Enzymol. 1980;65(1):499-560. doi: 10.1016/s0076-6879(80)65059-9.