Suppr超能文献

肝脏影像报告和数据系统(LI-RADS)评估肝细胞癌的主要及辅助磁共振特征:综述与更新

Major and ancillary magnetic resonance features of LI-RADS to assess HCC: an overview and update.

作者信息

Granata Vincenza, Fusco Roberta, Avallone Antonio, Catalano Orlando, Filice Francesco, Leongito Maddalena, Palaia Raffaele, Izzo Francesco, Petrillo Antonella

机构信息

Radiology Division, "Istituto Nazionale Tumori - IRCCS - Fondazione G. Pascale", Via Mariano Semmola, Naples, Italy.

Abdominal Oncology Division, "Istituto Nazionale Tumori - IRCCS - Fondazione G. Pascale", Via Mariano Semmola, Naples, Italy.

出版信息

Infect Agent Cancer. 2017 Apr 28;12:23. doi: 10.1186/s13027-017-0132-y. eCollection 2017.

Abstract

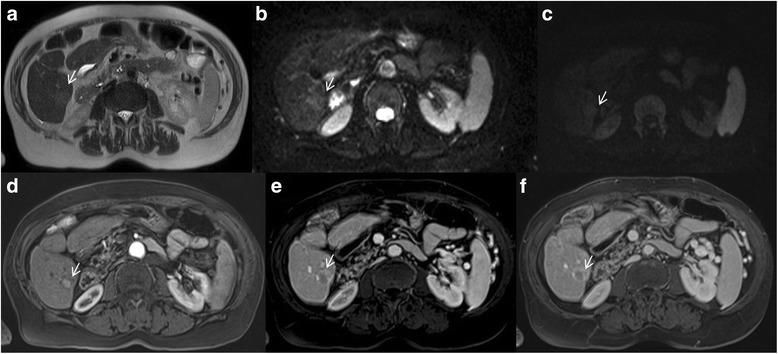
Liver Imaging Reporting and Data System (LI-RADS) is a system for interpreting and reporting of imaging features on multidetector computed tomography (MDCT) and magnetic resonance (MR) studies in patients at risk for hepatocellular carcinoma (HCC). American College of Radiology (ACR) sustained the spread of LI-RADS to homogenizing the interpreting and reporting data of HCC patients. Diagnosis of HCC is due to the presence of major imaging features. Major features are imaging data used to categorize LI-RADS-3, LI-RADS-4, and LI-RADS-5 and include arterial-phase hyperenhancement, tumor diameter, washout appearance, capsule appearance and threshold growth. Ancillary are features that can be used to modify the LI-RADS classification. Ancillary features supporting malignancy (diffusion restriction, moderate T2 hyperintensity, T1 hypointensity on hapatospecifc phase) can be used to upgrade category by one or more categories, but not beyond LI-RADS-4. Our purpose is reporting an overview and update of major and ancillary MR imaging features in assessment of HCC.

摘要

肝脏影像报告和数据系统(LI-RADS)是一种用于解读和报告肝细胞癌(HCC)高危患者多排螺旋计算机断层扫描(MDCT)和磁共振成像(MR)检查影像特征的系统。美国放射学会(ACR)推动了LI-RADS的推广,以统一HCC患者的解读和报告数据。HCC的诊断基于主要影像特征的存在。主要特征是用于对LI-RADS-3、LI-RADS-4和LI-RADS-5进行分类的影像数据,包括动脉期强化、肿瘤直径、廓清表现、包膜表现和阈值生长。辅助特征可用于修改LI-RADS分类。支持恶性的辅助特征(扩散受限、T2中等度高信号、肝胆期T1低信号)可用于将类别提升一级或多级,但不超过LI-RADS-4。我们的目的是报告在HCC评估中主要和辅助MR成像特征的概述及更新情况。

https://cdn.ncbi.nlm.nih.gov/pmc/blobs/ad5e/5410075/4026f83d6fbf/13027_2017_132_Fig1_HTML.jpg

文献检索

告别复杂PubMed语法,用中文像聊天一样搜索,搜遍4000万医学文献。AI智能推荐,让科研检索更轻松。

立即免费搜索

文件翻译

保留排版,准确专业,支持PDF/Word/PPT等文件格式,支持 12+语言互译。

免费翻译文档

深度研究

AI帮你快速写综述,25分钟生成高质量综述,智能提取关键信息,辅助科研写作。

立即免费体验