Suppr超能文献

卵巢原发性T细胞淋巴母细胞淋巴瘤:一例报告

Primary T-cell Lymphoblastic Lymphoma of the Ovary: A Case Report.

作者信息

Singh Sweta, Patra Susama, Bag Narbadyswari Deep, Naik Monalisha

机构信息

Department of Obstetrics and Gynaecology, All India Institute of Medical Sciences, Bhubaneswar, Odisha, India.

Department of Pathology, All India Institute of Medical Sciences, Bhubaneswar, Odisha, India.

出版信息

Indian J Med Paediatr Oncol. 2017 Jan-Mar;38(1):81-83. doi: 10.4103/0971-5851.203501.

Abstract

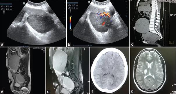
Primary ovarian lymphoma is extremely rare. We report a case of primary T-cell lymphoblastic lymphoma of the ovary in a 31-year-old multiparous woman, who presented with abdominal pain. Her menstrual cycles were regular. There was no generalized lymphadenopathy or fever. On per abdominal examination, there was a firm, tender, solid, mobile mass with well-defined borders, corresponding to 20 weeks gestation, whose lower pole was easily reached. Per vaginum examination revealed a large adnexal mass in the right and anterior fornix. Transabdominal ultrasonography showed bilateral solid ovarian tumor measuring 13.9 cm × 11.8 cm on the right side and 10.0 cm × 6.3 cm on the left side with significant vascularity. Tumor markers were within normal limit except for significantly elevated serum lactate dehydrogenase. Magnetic resonance imaging showed two large solid homogeneous masses, hypointense on T1W1 and hyperintense on T2W1 imaging, with a normal sized uterus and no ascites or lymphadenopathy. The patient developed one episode of left hemiparesis preoperatively, which improved spontaneously. Staging laparotomy with total abdominal hysterectomy and bilateral salpingo-oophorectomy along with infracolic omentectomy was done. Histopathology with immunohistochemistry revealed primary T-cell lymphoblastic lymphoma of the ovary, involving both ovaries left fallopian tube and left serosal surface of fundal region of uterus. She developed generalized convulsions on the 12 postoperative day, and final diagnosis was primary ovarian T-cell lymphoblastic lymphoma Ann Arbor Stage IV. She received three cycles of chemotherapy with cyclophosphamide, doxorubicin, vincristine, and prednisolone regimen and was on palliative care. She succumbed to her illness 5½ months postoperatively.

摘要

原发性卵巢淋巴瘤极为罕见。我们报告一例31岁经产妇的原发性卵巢T细胞淋巴母细胞淋巴瘤病例,该患者表现为腹痛。她的月经周期规律。无全身淋巴结肿大或发热。腹部检查时,可触及一个质地硬、有压痛、实性、可活动且边界清晰的肿块,大小相当于妊娠20周,其下极易于触及。经阴道检查发现右侧及前穹窿有一个大的附件肿块。经腹超声检查显示双侧实性卵巢肿瘤,右侧大小为13.9 cm×11.8 cm,左侧为10.0 cm×6.3 cm,血流丰富。除血清乳酸脱氢酶显著升高外,肿瘤标志物均在正常范围内。磁共振成像显示两个大的实性均匀肿块,在T1加权成像上呈低信号,在T2加权成像上呈高信号,子宫大小正常,无腹水或淋巴结肿大。患者术前出现一次左侧偏瘫,后自行好转。进行了分期剖腹手术,包括全腹子宫切除术、双侧输卵管卵巢切除术以及结肠下网膜切除术。组织病理学及免疫组化检查显示为原发性卵巢T细胞淋巴母细胞淋巴瘤,累及双侧卵巢、左侧输卵管及子宫底部左侧浆膜面。患者术后第12天出现全身性惊厥,最终诊断为原发性卵巢T细胞淋巴母细胞淋巴瘤,Ann Arbor分期为IV期。她接受了三个周期的环磷酰胺、阿霉素、长春新碱和泼尼松龙方案化疗,目前接受姑息治疗。她术后5个半月因病去世。

https://cdn.ncbi.nlm.nih.gov/pmc/blobs/d451/5398115/7dbeb9b27dcd/IJMPO-38-81-g001.jpg

文献检索

告别复杂PubMed语法,用中文像聊天一样搜索,搜遍4000万医学文献。AI智能推荐,让科研检索更轻松。

立即免费搜索

文件翻译

保留排版,准确专业,支持PDF/Word/PPT等文件格式,支持 12+语言互译。

免费翻译文档

深度研究

AI帮你快速写综述,25分钟生成高质量综述,智能提取关键信息,辅助科研写作。

立即免费体验