Suppr超能文献

子痫前期患者蜕膜自然杀伤细胞和巨噬细胞的数量

Number of decidual natural killer cells & macrophages in pre-eclampsia.

作者信息

Milosevic-Stevanovic Jelena, Krstic Miljan, Radovic-Janosevic Dragana, Popovic Jasmina, Tasic Marija, Stojnev Slavica

机构信息

Department of Gynecology & Obstetrics; Department of Clinic of Gynecology & Obstetrics, Clinical Center Nis, Nis, Serbia.

Department of Pathology, Faculty of Medicine, University of Nis; Department of Pathology & Pathological Anatomy Center, Clinical Center Nis, Nis, Serbia.

出版信息

Indian J Med Res. 2016 Dec;144(6):823-830. doi: 10.4103/ijmr.IJMR_776_15.

Abstract

BACKGROUND & OBJECTIVES: The process of human placentation is complex and still not well understood. This study was aimed to examine the relationship between clinical features of pre-eclampsia and degree of trophoblastic invasion after its immunohistochemical visualization in the context of possible alterations in the number of natural killer (NK) cells and macrophages in the decidua.

METHODS

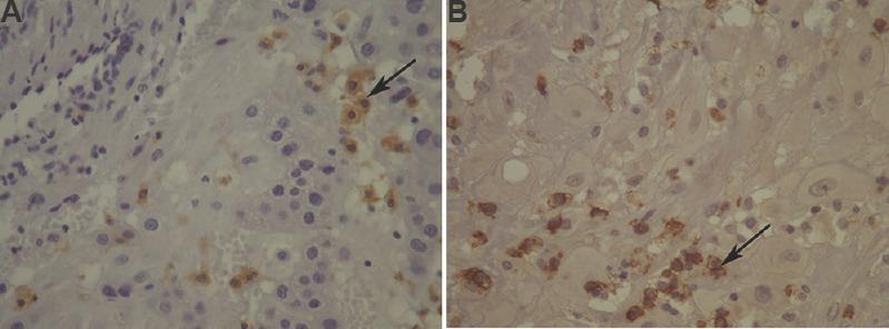
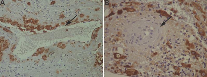
This prospective study included a study group comprising 30 pregnant women with pre-eclampsia delivered by caesarean section and a control group comprising 20 healthy pregnant women also delivered by caesarean section. Samples of placental bed obtained during caesarean section were analyzed after immunohistochemical labelling CD56 + NK cells, CD68 + macrophages and cytokeratin 7 trophoblastic cells.

RESULTS

In pre-eclampsia, there was a significantly lower number of CD56 + NK cells in the decidua (P<0.001) and a higher number of CD68 + macrophages (P<0.001) compared to control group. In the subgroup of pre-eclampsia with intrauterine growth retardation (IUGR), a significantly greater number of NK cells (P<0.05) was recorded, as well as an increased number of macrophages, but not significantly compared to pre-eclampsia without IUGR. There was no significant difference in the distribution of these cells in the decidua in relation to the severity of pre-eclampsia. CD56 + NK cells were significantly less (P<0.05) and macrophages were more (P<0.05) in the group with poor trophoblastic invasion.

INTERPRETATION & CONCLUSIONS: Alterations in the number of immune cells in relation to the degree of trophoblastic invasion indicated their role in aetiopathogenesis of pre-eclampsia, while the direct association between their number and severity of pre-eclampsia was not confirmed.

摘要

背景与目的

人类胎盘形成过程复杂,目前仍未被充分了解。本研究旨在探讨子痫前期的临床特征与滋养细胞浸润程度之间的关系,此研究在蜕膜中自然杀伤(NK)细胞和巨噬细胞数量可能发生改变的背景下,通过免疫组织化学方法显示滋养细胞浸润程度。

方法

本前瞻性研究包括一个研究组,由30例行剖宫产分娩的子痫前期孕妇组成,以及一个对照组,由20例同样行剖宫产分娩的健康孕妇组成。剖宫产时获取的胎盘床样本在进行免疫组织化学标记CD56⁺NK细胞、CD68⁺巨噬细胞和细胞角蛋白7滋养细胞后进行分析。

结果

与对照组相比,子痫前期患者蜕膜中CD56⁺NK细胞数量显著减少(P<0.001),而CD68⁺巨噬细胞数量增多(P<0.001)。在伴有胎儿宫内生长受限(IUGR)的子痫前期亚组中,NK细胞数量显著增多(P<0.05),巨噬细胞数量也增加,但与不伴有IUGR的子痫前期相比无显著差异。这些细胞在蜕膜中的分布与子痫前期的严重程度无显著差异。滋养细胞浸润较差的组中,CD56⁺NK细胞显著减少(P<0.05),巨噬细胞增多(P<0.05)。

解读与结论

免疫细胞数量与滋养细胞浸润程度的改变表明它们在子痫前期的病因发病机制中起作用,而它们的数量与子痫前期严重程度之间的直接关联未得到证实。

https://cdn.ncbi.nlm.nih.gov/pmc/blobs/c865/5433275/3259f680f632/IJMR-144-823-g001.jpg

文献AI研究员

20分钟写一篇综述,助力文献阅读效率提升50倍。

立即体验

用中文搜PubMed

大模型驱动的PubMed中文搜索引擎

马上搜索

文档翻译

学术文献翻译模型,支持多种主流文档格式。

立即体验