• 文献检索
  • 文档翻译
  • 深度研究
  • 学术资讯
  • Suppr Zotero 插件Zotero 插件
  • 邀请有礼
  • 套餐&价格
  • 历史记录
应用&插件
Suppr Zotero 插件Zotero 插件浏览器插件Mac 客户端Windows 客户端微信小程序
定价
高级版会员购买积分包购买API积分包
服务
文献检索文档翻译深度研究API 文档MCP 服务
关于我们
关于 Suppr公司介绍联系我们用户协议隐私条款
关注我们

Suppr 超能文献

核心技术专利:CN118964589B侵权必究
粤ICP备2023148730 号-1Suppr @ 2026

文献检索

告别复杂PubMed语法,用中文像聊天一样搜索,搜遍4000万医学文献。AI智能推荐,让科研检索更轻松。

立即免费搜索

文件翻译

保留排版,准确专业,支持PDF/Word/PPT等文件格式,支持 12+语言互译。

免费翻译文档

深度研究

AI帮你快速写综述,25分钟生成高质量综述,智能提取关键信息,辅助科研写作。

立即免费体验

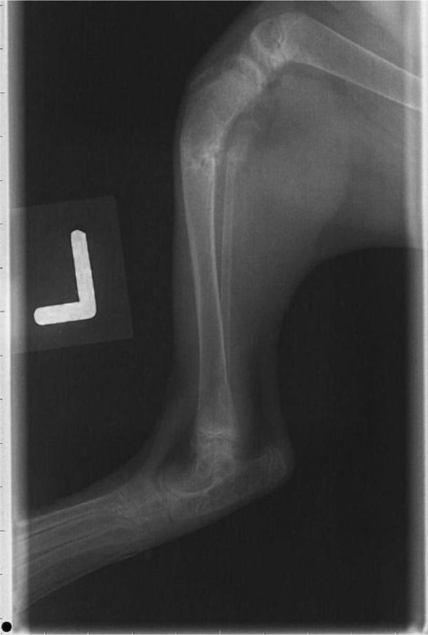
一只小猫因全肉生食饮食营养不足导致代谢性骨病和视网膜中央变性。

Metabolic bone disease and central retinal degeneration in a kitten due to nutritional inadequacy of an all-meat raw diet.

作者信息

Lenox Catherine, Becvarova Iveta, Archipow Wendy

机构信息

Royal Canin, 500 Fountain Lakes Blvd Ste 100, St Charles, MO, USA.

Hill's Pet Nutrition Manufacturing, Prague, Czech Republic.

出版信息

JFMS Open Rep. 2015 Jun 1;1(1):2055116915579682. doi: 10.1177/2055116915579682. eCollection 2015 Jan-Jun.

DOI:10.1177/2055116915579682
PMID:28491346
原文链接:https://pmc.ncbi.nlm.nih.gov/articles/PMC5362880/
Abstract

A 5-month-old castrated male Sphynx kitten presented with left hindlimb lameness shortly after adoption. Prior to adoption, the breeder had fed the kitten an exclusively raw chicken diet. Radiographs revealed generalized osteopenia and a left tibia-fibula fracture. Ophthalmic examination revealed corneal vascularization and opacity in the right eye, and lesions suggestive of feline central retinal degeneration in the left eye. The patient's diagnoses included metabolic bone disease and feline central retinal degeneration, which can result from taurine deficiency. The kitten's nutritional diseases were managed with a complete and balanced canned diet designed for kitten growth and with taurine supplementation.

摘要

一只5个月大的阉割雄性加拿大无毛猫幼猫在被领养后不久出现左后肢跛行。在被领养之前,繁育者一直只用生鸡肉喂养这只小猫。X光片显示全身性骨质减少以及左胫腓骨骨折。眼科检查发现右眼有角膜血管化和浑浊,左眼有提示猫中枢性视网膜变性的病变。该患者的诊断包括代谢性骨病和猫中枢性视网膜变性,这可能是由牛磺酸缺乏导致的。这只小猫的营养性疾病通过一种专为小猫生长设计的完全均衡的罐装食品以及补充牛磺酸来处理。

https://cdn.ncbi.nlm.nih.gov/pmc/blobs/a210/5362880/1cf547ce9c8c/10.1177_2055116915579682-fig1.jpg
https://cdn.ncbi.nlm.nih.gov/pmc/blobs/a210/5362880/1cf547ce9c8c/10.1177_2055116915579682-fig1.jpg
https://cdn.ncbi.nlm.nih.gov/pmc/blobs/a210/5362880/1cf547ce9c8c/10.1177_2055116915579682-fig1.jpg

相似文献

1
Metabolic bone disease and central retinal degeneration in a kitten due to nutritional inadequacy of an all-meat raw diet.一只小猫因全肉生食饮食营养不足导致代谢性骨病和视网膜中央变性。
JFMS Open Rep. 2015 Jun 1;1(1):2055116915579682. doi: 10.1177/2055116915579682. eCollection 2015 Jan-Jun.
2
Retinal degeneration relating to taurine deficiency in a cat.一只猫因牛磺酸缺乏导致的视网膜退化。
Mod Vet Pract. 1984 May;65(5):381, 384.
3
Nutritional problems in cats: taurine deficiency and vitamin A excess.猫的营养问题:牛磺酸缺乏和维生素A过量。
Can Vet J. 1982 Jan;23(1):2-5.
4
Taurine deficiency in Newfoundlands fed commercially available complete and balanced diets.食用市售全价均衡日粮的纽芬兰犬存在牛磺酸缺乏的情况。
J Am Vet Med Assoc. 2003 Oct 15;223(8):1130-6. doi: 10.2460/javma.2003.223.1130.
5
Postnatal development of GABA- and glycine-mediated inhibition of feline retinal ganglion cells in the area centralis.猫中央凹区域视网膜神经节细胞中γ-氨基丁酸(GABA)和甘氨酸介导的抑制作用的产后发育
Brain Res. 1985 Nov;355(1):1-17. doi: 10.1016/0165-3806(85)90002-1.
6
Severe cardiomegaly secondary to anemia in a kitten.一只小猫因贫血继发严重心脏肥大。
J Am Vet Med Assoc. 1993 Mar 15;202(6):961-4.
7
Carotid pseudoaneurysm in a kitten after accidental puncture with a needle.小猫意外被针刺后出现的颈动脉假性动脉瘤。
JFMS Open Rep. 2022 Aug 25;8(2):20551169221118554. doi: 10.1177/20551169221118554. eCollection 2022 Jul-Dec.
8
Addition of plant dietary fibre to a raw red meat high protein, high fat diet, alters the faecal bacteriome and organic acid profiles of the domestic cat (Felis catus).在生红肉高蛋白、高脂肪饮食中添加植物膳食纤维会改变家猫(Felis catus)的粪便细菌群落和有机酸谱。
PLoS One. 2019 May 1;14(5):e0216072. doi: 10.1371/journal.pone.0216072. eCollection 2019.
9
Retinal degeneration in cats fed casein. II. Supplementation with methionine, cysteine, or taurine.喂食酪蛋白的猫的视网膜变性。II. 补充蛋氨酸、半胱氨酸或牛磺酸。
Invest Ophthalmol. 1976 Jan;15(1):52-8.
10
Diffuse osteopenia and myelopathy in a puppy fed a diet composed of an organic premix and raw ground beef.一只喂食由有机预混料和生牛肉末组成的日粮的幼犬出现弥漫性骨质减少和脊髓病。
J Am Vet Med Assoc. 2009 Apr 15;234(8):1041-8. doi: 10.2460/javma.234.8.1041.

引用本文的文献

1
Current Evidence on Raw Meat Diets in Pets: A Natural Symbol, but a Nutritional Controversy.宠物生食饮食的当前证据:一种自然的象征,但却是一场营养争议。
Animals (Basel). 2025 Jan 21;15(3):293. doi: 10.3390/ani15030293.
2
Vegan versus meat-based dog food: Guardian-reported health outcomes in 2,536 dogs, after controlling for canine demographic factors.纯素狗粮与肉类狗粮对比:在控制犬类人口统计学因素后,《卫报》报道的2536只犬的健康状况
Heliyon. 2024 Aug 5;10(17):e35578. doi: 10.1016/j.heliyon.2024.e35578. eCollection 2024 Sep 15.
3
Nutritional secondary hyperparathyroidism in a kitten, supported by immunoenzymatic measurement of feline intact parathyroid hormone.

本文引用的文献

1
Evaluation of four raw meat diets using domestic cats, captive exotic felids, and cecectomized roosters.评价四种生肉饮食对家猫、圈养外来猫科动物和去盲肠公鸡的影响。
J Anim Sci. 2013 Jan;91(1):225-37. doi: 10.2527/jas.2011-4835. Epub 2012 Oct 9.
2
Vitamin D-dependent hereditary rickets type I in a cat.一只猫患I型维生素D依赖性遗传性佝偻病。
J Vet Intern Med. 2009 Jan-Feb;23(1):196-9. doi: 10.1111/j.1939-1676.2008.00220.x.
3
The risk of salmonellae shedding by dogs fed Salmonella-contaminated commercial raw food diets.喂食受沙门氏菌污染的商业生食饮食的犬只排出沙门氏菌的风险。
猫营养性继发性甲状旁腺功能亢进症,采用免疫酶法测定猫完整甲状旁腺激素支持诊断。
J Vet Diagn Invest. 2023 Mar;35(2):163-167. doi: 10.1177/10406387221143463. Epub 2023 Jan 10.
4
From Nutritional Adequacy to Hygiene Quality: A Detailed Assessment of Commercial Raw Pet-Food for Dogs and Cats.从营养充足到卫生质量:对猫狗商业生宠物食品的详细评估
Animals (Basel). 2022 Sep 13;12(18):2395. doi: 10.3390/ani12182395.
5
2022 ISFM Consensus Guidelines on Management of the Inappetent Hospitalised Cat.2022 年 ISFM 关于住院厌食猫管理的共识指南。
J Feline Med Surg. 2022 Jul;24(7):614-640. doi: 10.1177/1098612X221106353.
6
Vegan versus meat-based dog food: Guardian-reported indicators of health.素食犬粮与肉食犬粮:基于 Guardian 报道的健康指标。
PLoS One. 2022 Apr 13;17(4):e0265662. doi: 10.1371/journal.pone.0265662. eCollection 2022.
7
Commercial vs Homemade Cat Diets: What you need to know.商业猫粮与自制猫粮:你需要了解的事。
J Feline Med Surg. 2022 May;24(5):415-428. doi: 10.1177/1098612X221090389. Epub 2022 Mar 21.
8
Raw diets for dogs and cats: a review, with particular reference to microbiological hazards.犬猫生食:综述,特别提及微生物危害
J Small Anim Pract. 2019 Jun;60(6):329-339. doi: 10.1111/jsap.13000. Epub 2019 Apr 26.
Can Vet J. 2007 Jan;48(1):69-75.
4
Understanding and managing obesity in dogs and cats.了解和管理犬猫肥胖问题。
Vet Clin North Am Small Anim Pract. 2006 Nov;36(6):1283-95, vii. doi: 10.1016/j.cvsm.2006.08.005.
5
Septicemic salmonellosis in two cats fed a raw-meat diet.两只喂食生肉饮食的猫发生败血性沙门氏菌病。
J Am Anim Hosp Assoc. 2003 Nov-Dec;39(6):538-42. doi: 10.5326/0390538.
6
Taurine concentrations in animal feed ingredients; cooking influences taurine content.动物饲料原料中的牛磺酸浓度;烹饪会影响牛磺酸含量。
J Anim Physiol Anim Nutr (Berl). 2003 Aug;87(7-8):251-62. doi: 10.1046/j.1439-0396.2003.00434.x.
7
Cone and rod responses in nutritionally induced retinal degeneration in the cat.猫营养性诱导视网膜变性中的视锥和视杆细胞反应
Invest Ophthalmol. 1973 Sep;12(9):694-704.
8
Myocardial failure in cats associated with low plasma taurine: a reversible cardiomyopathy.猫血浆牛磺酸水平低相关的心肌衰竭:一种可逆性心肌病。
Science. 1987 Aug 14;237(4816):764-8. doi: 10.1126/science.3616607.
9
Retinal degeneration in cats fed casein. II. Supplementation with methionine, cysteine, or taurine.喂食酪蛋白的猫的视网膜变性。II. 补充蛋氨酸、半胱氨酸或牛磺酸。
Invest Ophthalmol. 1976 Jan;15(1):52-8.
10
Retinal degeneration in cats fed casein. I. Taurine deficiency.用酪蛋白喂养的猫的视网膜变性。I. 牛磺酸缺乏
Invest Ophthalmol. 1976 Jan;15(1):47-52.