Suppr超能文献

原发性肾上腺淋巴瘤导致猫醛固酮减少症。

Primary adrenal lymphoma causing hypoaldosteronism in a cat.

作者信息

Romine Jessica F, Kozicki Angela R, Elie Marc S

机构信息

Department of Internal Medicine, BluePearl Veterinary Partners, Southfield, MI, USA.

Department of Oncology, BluePearl Veterinary Partners, Southfield, MI, USA.

出版信息

JFMS Open Rep. 2016 Dec 1;2(2):2055116916684409. doi: 10.1177/2055116916684409. eCollection 2016 Jul-Dec.

Abstract

CASE SUMMARY

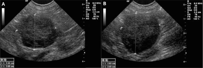
A 10-year-old, 5.1 kg (11.2 lb), male castrated cat was presented with signs of lethargy and decreased appetite at home after being previously healthy. Serum biochemical analysis identified normokalemia (5.1 mmol/l; reference interval [RI] 3.4-5.6 mmol/l) and severe hyponatremia (123 mmol/l; RI 145-158 mmol/l), with an Na/K ratio of 24 (RI 32-41). Baseline serum cortisol was low to normal, but serum aldosterone was markedly decreased with a pre-adrenocorticotropic hormone stimulation concentration of 13 pmol/l (RI 194-388 pmol/l) and post-adrenocorticotropic hormone stimulation concentration of 21 pmol/l (RI 277-721 pmol/l). Hematologic and biochemical analyses were otherwise unremarkable. Abdominal ultrasound revealed bilaterally enlarged adrenal glands with no other abnormalities noted; thoracic radiographs also did not identify any signs of metastasis. Fine-needle aspiration was strongly suggestive of lymphoma of the adrenal glands, and PCR for antigen receptor rearrangement was positive for B-cell clonal expansion; based on these findings, a diagnosis of primary adrenal B-cell lymphoma was made. Stable disease was achieved for a short period of time following vincristine, cyclophosphamide, prednisolone and fludrocortisone therapy, followed by progressive adrenal enlargement and electrolyte derangements that responded to neither doxorubicin nor adjustments in fludrocortisone dosage. Ultrasonographic metastasis was not identified at any time, and other organ derangements were not noted on hematologic or biochemical analyses. The cat was euthanized 55 days after initial presentation.

RELEVANCE AND NOVEL INFORMATION

This is the first report of primary adrenal lymphoma in a cat, with presenting signs compatible with hypoaldosteronism. Lymphoma should be a differential for cats presenting with adrenal enlargement or clinical signs and biochemical changes consistent with hypoaldosteronism or hypoadrenocorticism.

摘要

病例摘要

一只10岁、体重5.1千克(11.2磅)的去势雄性猫,此前健康,在家中出现嗜睡和食欲减退的症状。血清生化分析显示血钾正常(5.1毫摩尔/升;参考区间[RI] 3.4 - 5.6毫摩尔/升),严重低钠血症(123毫摩尔/升;RI 145 - 158毫摩尔/升),钠/钾比值为24(RI 32 - 41)。基础血清皮质醇水平低至正常,但血清醛固酮显著降低,促肾上腺皮质激素刺激前浓度为13皮摩尔/升(RI 194 - 388皮摩尔/升),促肾上腺皮质激素刺激后浓度为21皮摩尔/升(RI 277 - 721皮摩尔/升)。血液学和生化分析其他方面无异常。腹部超声显示双侧肾上腺肿大,未发现其他异常;胸部X光片也未发现转移迹象。细针穿刺强烈提示肾上腺淋巴瘤,抗原受体重排的聚合酶链反应显示B细胞克隆性扩增呈阳性;基于这些发现,诊断为原发性肾上腺B细胞淋巴瘤。长春新碱、环磷酰胺、泼尼松龙和氟氢可的松治疗后短期内病情稳定,随后肾上腺逐渐增大,电解质紊乱加重,多柔比星治疗及氟氢可的松剂量调整均无效。在任何时候均未发现超声检查提示的转移,血液学或生化分析也未发现其他器官紊乱。该猫在初次就诊后55天实施安乐死。

相关性及新信息

这是首例关于猫原发性肾上腺淋巴瘤的报道,其临床表现与醛固酮缺乏症相符。对于出现肾上腺肿大或具有与醛固酮缺乏症或肾上腺皮质功能减退症相符的临床症状及生化改变的猫,淋巴瘤应作为鉴别诊断之一。

https://cdn.ncbi.nlm.nih.gov/pmc/blobs/1971/5415298/e1e8c337bce1/10.1177_2055116916684409-fig1.jpg

文献AI研究员

20分钟写一篇综述,助力文献阅读效率提升50倍。

立即体验

用中文搜PubMed

大模型驱动的PubMed中文搜索引擎

马上搜索

文档翻译

学术文献翻译模型,支持多种主流文档格式。

立即体验