• 文献检索
  • 文档翻译
  • 深度研究
  • 学术资讯
  • Suppr Zotero 插件Zotero 插件
  • 邀请有礼
  • 套餐&价格
  • 历史记录
应用&插件
Suppr Zotero 插件Zotero 插件浏览器插件Mac 客户端Windows 客户端微信小程序
定价
高级版会员购买积分包购买API积分包
服务
文献检索文档翻译深度研究API 文档MCP 服务
关于我们
关于 Suppr公司介绍联系我们用户协议隐私条款
关注我们

Suppr 超能文献

核心技术专利:CN118964589B侵权必究
粤ICP备2023148730 号-1Suppr @ 2026

文献检索

告别复杂PubMed语法,用中文像聊天一样搜索,搜遍4000万医学文献。AI智能推荐,让科研检索更轻松。

立即免费搜索

文件翻译

保留排版,准确专业,支持PDF/Word/PPT等文件格式,支持 12+语言互译。

免费翻译文档

深度研究

AI帮你快速写综述,25分钟生成高质量综述,智能提取关键信息,辅助科研写作。

立即免费体验

Portal hypertension as the initial manifestation of POEMS syndrome: a case report.

作者信息

Wu Lina, Li Yue, Yao Fang, Lu Chongmei, Li Jian, Zhou Weixun, Qian Jiaming

机构信息

Department of Gastroenterology, Peking Union Medical College Hospital, Chinese Academy of Medical Sciences and Peking Union Medical College, Beijing, 100730 China.

Department of Hematology, Peking Union Medical College Hospital, Chinese Academy of Medical Sciences and Peking Union Medical College, Beijing, 100730 China.

出版信息

BMC Hematol. 2017 May 11;17:9. doi: 10.1186/s12878-017-0078-8. eCollection 2017.

DOI:10.1186/s12878-017-0078-8
PMID:28503308
原文链接:https://pmc.ncbi.nlm.nih.gov/articles/PMC5425989/
Abstract

BACKGROUND

Portal hypertension has a broad differential diagnosis. POEMS syndrome is an uncommon cause of it. POEMS syndrome is a rare disease involving multiple organs. In differential diagnosis of portal hypertension, POEMS syndrome should be considered especially when other symptoms such as numbness, organomegaly, endocrine alteration and skin changes also present, as it is highlighted by our case.

CASE PRESENTATION

We report a 46-year-old Chinese male, a teacher, presenting with portal hypertension. Electromyography revealed peripheral neuropathy. Immunofixation showed monoclonal immunoglobulin A lambda protein. The diagnosis of POEMS syndrome was established. After treatment of lenalidomide combined with dexamethasone over 2 years, the patient achieved a considerable improvement.

CONCLUSION

This case highlights the manifestation of portal hypertension in POEMS syndrome. Lenalidomide with or without dexamethasone is effective for portal hypertension due to POEMS syndrome, though esophageal and gastric varices seems not reversible so easily.

摘要
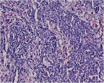
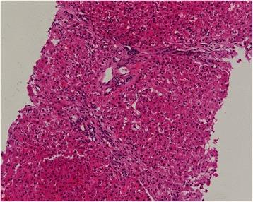
https://cdn.ncbi.nlm.nih.gov/pmc/blobs/c902/5425989/b82ef80745fe/12878_2017_78_Fig2_HTML.jpg
https://cdn.ncbi.nlm.nih.gov/pmc/blobs/c902/5425989/bf52c6aae534/12878_2017_78_Fig1_HTML.jpg
https://cdn.ncbi.nlm.nih.gov/pmc/blobs/c902/5425989/b82ef80745fe/12878_2017_78_Fig2_HTML.jpg
https://cdn.ncbi.nlm.nih.gov/pmc/blobs/c902/5425989/bf52c6aae534/12878_2017_78_Fig1_HTML.jpg
https://cdn.ncbi.nlm.nih.gov/pmc/blobs/c902/5425989/b82ef80745fe/12878_2017_78_Fig2_HTML.jpg

相似文献

1
Portal hypertension as the initial manifestation of POEMS syndrome: a case report.
BMC Hematol. 2017 May 11;17:9. doi: 10.1186/s12878-017-0078-8. eCollection 2017.
2
Polyneuropathy, Organomegaly, Endocrinopathy, M-protein, and Skin Changes (POEMS) Syndrome and Idiopathic Portal Hypertension: A Rare Association.多发性神经病、器官肿大、内分泌病、M蛋白和皮肤改变(POEMS)综合征与特发性门静脉高压症:一种罕见的关联。
Cureus. 2022 May 11;14(5):e24923. doi: 10.7759/cureus.24923. eCollection 2022 May.
3
A POEMS syndrome patient with idiopathic non-cirrhotic portal hypertension received the transjugular intrahepatic portosystemic shunt: a case report and literature review.POEMS 综合征伴特发性非肝硬化性门静脉高压患者行经颈静脉肝内门体分流术:病例报告及文献复习。
Niger J Clin Pract. 2022 Nov;25(11):1939-1944. doi: 10.4103/njcp.njcp_360_22.
4
POEMS syndrome and idiopathic portal hypertension: a possible association.POEMS综合征与特发性门静脉高压症:一种可能的关联
Rev Esp Enferm Dig. 2017 May;109(5):393. doi: 10.17235/reed.2017.4623/2016.
5
Lenalidomide and Dexamethasone for a Patient of POEMS Syndrome Presenting with Massive Ascites.来那度胺和地塞米松治疗一名伴有大量腹水的POEMS综合征患者
Case Rep Hematol. 2014;2014:818946. doi: 10.1155/2014/818946. Epub 2014 Feb 19.
6
Polyneuropathy, Organomegaly, Endocrinopathy, Monoclonal Protein, and Skin Changes Associated With Castleman Disease: A Common Misdiagnosis.与卡斯特曼病相关的多发性神经病、器官肿大、内分泌病、单克隆蛋白及皮肤改变:一种常见的误诊
J Med Cases. 2021 Oct;12(10):400-404. doi: 10.14740/jmc3759. Epub 2021 Sep 29.
7
POEMS syndrome: a rare cause of adrenal insufficiency in a young male.POEMS综合征:年轻男性肾上腺功能不全的罕见病因。
Endocrinol Diabetes Metab Case Rep. 2019 Sep 17;2019. doi: 10.1530/EDM-19-0010.
8
Raynaud's phenomenon and positive antinuclear antibodies as first manifestation of POEMS syndrome (polyneuropathy, organomegaly, endocrinopathy, monoclonal gammopathy, and skin changes): a case report.雷诺现象和抗核抗体阳性作为POEMS综合征(多发性神经病、脏器肿大、内分泌病、单克隆丙种球蛋白病和皮肤改变)的首发表现:一例病例报告
BMC Rheumatol. 2022 May 19;6(1):26. doi: 10.1186/s41927-022-00258-y.
9
Polyneuropathy, organomegaly, endocrinopathy, monoclonal band, and skin (POEMS) changes syndrome presenting with a pseudosensory level: a case report.表现为假性感觉平面的多神经病、器官肿大、内分泌病、单克隆蛋白血症和皮肤(POEMS)综合征改变:一例报告
J Med Case Rep. 2019 Dec 27;13(1):384. doi: 10.1186/s13256-019-2309-z.
10
POEMS syndrome with idiopathic portal hypertension: autopsy case and review of the literature.POEMS 综合征伴特发性门静脉高压症:尸检病例并文献复习。
Pathol Int. 2010 Apr;60(4):316-20. doi: 10.1111/j.1440-1827.2009.02513.x.

引用本文的文献

1
An Unusual Cause of Treatable Portal Hypertension.可治疗门静脉高压的罕见病因
Dig Dis Sci. 2025 Aug 13. doi: 10.1007/s10620-025-09330-2.
2
Case report: POEMS syndrome with portal hypertension.病例报告:伴有门静脉高压的POEMS综合征
Front Med (Lausanne). 2024 Jul 23;11:1373397. doi: 10.3389/fmed.2024.1373397. eCollection 2024.
3
Polyneuropathy, Organomegaly, Endocrinopathy, M-protein, and Skin Changes (POEMS) Syndrome and Idiopathic Portal Hypertension: A Rare Association.多发性神经病、器官肿大、内分泌病、M蛋白和皮肤改变(POEMS)综合征与特发性门静脉高压症:一种罕见的关联。

本文引用的文献

1
POEMS syndrome: 2014 update on diagnosis, risk-stratification, and management.POEMS 综合征:2014 年诊断、风险分层和治疗更新。
Am J Hematol. 2014 Feb;89(2):214-23. doi: 10.1002/ajh.23644.
2
The characteristics of ascites in patients with POEMS syndrome.POEMS 综合征患者腹水的特征。
Ann Hematol. 2013 Dec;92(12):1661-4. doi: 10.1007/s00277-013-1829-7. Epub 2013 Jun 28.
3
Markedly upregulated serum interleukin-12 as a novel biomarker in POEMS syndrome.显著上调的血清白细胞介素-12 作为 POEMS 综合征的新型生物标志物。
Cureus. 2022 May 11;14(5):e24923. doi: 10.7759/cureus.24923. eCollection 2022 May.
Neurology. 2012 Aug 7;79(6):575-82. doi: 10.1212/WNL.0b013e318263c42b. Epub 2012 Jul 25.
4
Bortezomib and dexamethasone as first-line therapy for a patient with newly diagnosed polyneuropathy, organomegaly, endocrinopathy, M protein and skin changes syndrome complicated by renal failure.硼替佐米与地塞米松作为初诊多神经病、器官肿大、内分泌病、M蛋白和皮肤改变综合征合并肾衰竭患者的一线治疗方案。
Leuk Lymphoma. 2012 Dec;53(12):2527-9. doi: 10.3109/10428194.2012.690515. Epub 2012 Jun 12.
5
POEMS syndrome with severe neurological damage clinically recovered with lenalidomide.伴有严重神经损伤的POEMS综合征经来那度胺治疗后临床康复。
Haematologica. 2012 Feb;97(2):320-2. doi: 10.3324/haematol.2011.041897. Epub 2011 Nov 4.
6
Combination of melphalan and dexamethasone for patients with newly diagnosed POEMS syndrome.马法兰和地塞米松联合治疗新诊断的 POEMS 综合征患者。
Blood. 2011 Jun 16;117(24):6445-9. doi: 10.1182/blood-2010-12-328112. Epub 2011 Mar 10.
7
Clinical characteristics and long-term outcome of patients with POEMS syndrome in China.中国 POEMS 综合征患者的临床特征和长期预后。
Ann Hematol. 2011 Jul;90(7):819-26. doi: 10.1007/s00277-010-1149-0. Epub 2011 Jan 8.
8
POEMS syndrome with idiopathic portal hypertension: autopsy case and review of the literature.POEMS 综合征伴特发性门静脉高压症:尸检病例并文献复习。
Pathol Int. 2010 Apr;60(4):316-20. doi: 10.1111/j.1440-1827.2009.02513.x.
9
Benign nodular hepatocellular lesions caused by abnormal hepatic circulation: etiological analysis and introduction of a new concept.肝循环异常所致良性结节性肝细胞病变:病因分析及新概念介绍
J Gastroenterol Hepatol. 2001 Dec;16(12):1319-28. doi: 10.1046/j.1440-1746.2001.02576.x.
10
POEMS syndrome: report on six patients with unusual clinical signs, elevated levels of cytokines, macrophage involvement and chromosomal aberrations of bone marrow plasma cells.POEMS综合征:6例具有异常临床体征、细胞因子水平升高、巨噬细胞参与及骨髓浆细胞染色体畸变患者的报告。
Leukemia. 1997 Aug;11(8):1318-23. doi: 10.1038/sj.leu.2400733.