Suppr超能文献

关节镜手术治疗颞下颌关节色素沉着绒毛结节性滑膜炎:1例报告

Arthroscopic approach for treating a pigmented villonodular sinovitis of TMJ. A case report.

作者信息

Roman-Ramos Maria, Cariati Paolo, Cabello-Serrano Almudena, Garcia-Martin Miguel, Garcia-Medina Blas

机构信息

Oral and Maxillofacial surgery resident. Hospital Universitario Virgen de las nieves, Granada, Spain.

Maxillofacial Surgeon. Hospital Universitario Virgen de las nieves, Granada, Spain.

出版信息

J Clin Exp Dent. 2017 Feb 1;9(2):e312-e314. doi: 10.4317/jced.53114. eCollection 2017 Feb.

Abstract

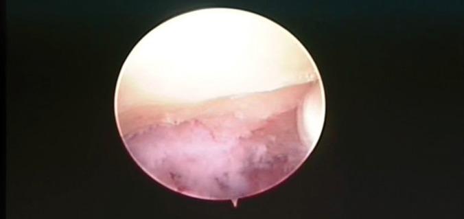
The present report describes the case of a 29-year-old man referred to our service for TMJ pain and progressive reduction of the mouth opening. Differential diagnostics included rheumatologic diseases, monoarthritis and intraarticular lumps. In this line, a face CT scan and a MRI of TMJ were carried out in order to ensure a proper diagnosis. These tests showed a solid lesion into the joint cavity. In view of that, we decided to perform a diagnostic and therapeutic arthroscopy of TMJ. Histopathological studies confirmed the diagnosis of pigmented villonodular synovitis. The main aim of this report is to describe this rare syndrome with the goal of proposing suitable treatments. Moreover, we highlight the benefits of using arthroscopic procedures in the cases which the tumor is still confined to the joint. As far as we are aware, scientific literature documents only a single case of pigmented villonodular synovitis of TMJ treated with arthroscopic approach. Arthroscopic approach, pigmented villonodular synovitis, TMJ, mouth opening.

摘要

本报告描述了一名29岁男性患者的病例,该患者因颞下颌关节疼痛和张口逐渐受限前来我院就诊。鉴别诊断包括风湿性疾病、单关节炎和关节内肿块。为此,进行了面部CT扫描和颞下颌关节MRI检查,以确保做出准确诊断。这些检查显示关节腔内有一个实性病变。鉴于此,我们决定对颞下颌关节进行诊断性和治疗性关节镜检查。组织病理学研究证实为色素沉着绒毛结节性滑膜炎。本报告的主要目的是描述这种罕见综合征,以提出合适的治疗方法。此外,我们强调在肿瘤仍局限于关节的病例中使用关节镜手术的益处。据我们所知,科学文献仅记载了1例采用关节镜治疗的颞下颌关节色素沉着绒毛结节性滑膜炎病例。关节镜手术、色素沉着绒毛结节性滑膜炎、颞下颌关节、张口

https://cdn.ncbi.nlm.nih.gov/pmc/blobs/9f26/5494200/76aa442e15df/jced-9-e312-g001.jpg

文献检索

告别复杂PubMed语法,用中文像聊天一样搜索,搜遍4000万医学文献。AI智能推荐,让科研检索更轻松。

立即免费搜索

文件翻译

保留排版,准确专业,支持PDF/Word/PPT等文件格式,支持 12+语言互译。

免费翻译文档

深度研究

AI帮你快速写综述,25分钟生成高质量综述,智能提取关键信息,辅助科研写作。

立即免费体验