Bugiani Marianna, Dubey Mohit, Breur Marjolein, Postma Nienke L, Dekker Marien P, Ter Braak Timo, Boschert Ursula, Abbink Truus E M, Mansvelder Huibert D, Min Rogier, van Weering Jan R T, van der Knaap Marjo S
Department of Pediatrics/Child Neurology Amsterdam Neuroscience VU University Medical Center Amsterdam The Netherlands.
Department of Pathology Amsterdam Neuroscience VU University Medical Center Amsterdam The Netherlands.
Ann Clin Transl Neurol. 2017 Jun 6;4(7):450-465. doi: 10.1002/acn3.405. eCollection 2017 Jul.
Megalencephalic leukoencephalopathy with cysts (MLC) is a genetic infantile-onset disease characterized by macrocephaly and white matter edema due to loss of MLC1 function. Recessive mutations in either or cause the disease. MLC1 is involved in astrocytic volume regulation; GlialCAM ensures the correct membrane localization of MLC1. Their exact role in brain ion-water homeostasis is only partly defined. We characterized -null mice for further studies.
We investigated the consequences of loss of GlialCAM in -null mice and compared GlialCAM developmental expression in mice and men.
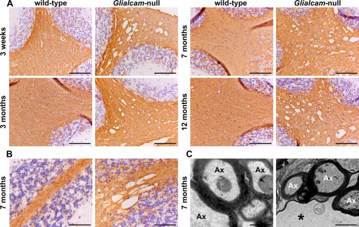
-null mice had early-onset megalencephaly and increased brain water content. From 3 weeks, astrocytes were abnormal with swollen processes abutting blood vessels. Concomitantly, progressive white matter vacuolization developed due to intramyelinic edema. -null astrocytes showed abolished expression of MLC1, reduced expression of the chloride channel ClC-2 and increased expression and redistribution of the water channel aquaporin4. Expression of other MLC1-interacting proteins and the volume regulated anion channel LRRC8A was unchanged. In mice, GlialCAM expression increased until 3 weeks and then stabilized. In humans, GlialCAM expression was highest in the first 3 years to then decrease and stabilize from approximately 5 years.
-null mice replicate the early stages of the human disease with early-onset intramyelinic edema. The earliest change is astrocytic swelling, further substantiating that a defect in astrocytic volume regulation is the primary cellular defect in MLC. GlialCAM expression affects expression of MLC1, ClC-2 and aquaporin4, indicating that abnormal interplay between these proteins is a disease mechanism in megalencephalic leukoencephalopathy with cysts.
伴囊肿的巨脑性白质脑病(MLC)是一种遗传性婴儿期发病疾病,其特征为巨脑症和因MLC1功能丧失导致的白质水肿。MLC1或GlialCAM的隐性突变会引发该疾病。MLC1参与星形胶质细胞的体积调节;GlialCAM确保MLC1在膜上的正确定位。它们在脑离子 - 水平衡中的确切作用仅部分明确。我们对GlialCAM基因敲除小鼠进行了表征,以开展进一步研究。
我们研究了GlialCAM基因敲除小鼠中GlialCAM缺失的后果,并比较了小鼠和人类中GlialCAM的发育表达情况。
GlialCAM基因敲除小鼠出现早发性巨脑症且脑含水量增加。从3周龄开始,星形胶质细胞异常,其肿胀的突起与血管相邻。与此同时,由于髓鞘内水肿,逐渐出现进行性白质空泡化。GlialCAM基因敲除的星形胶质细胞显示MLC1表达缺失,氯离子通道ClC - 2表达降低,水通道蛋白4的表达和重新分布增加。其他与MLC1相互作用的蛋白以及体积调节性阴离子通道LRRC8A的表达未发生变化。在小鼠中,GlialCAM表达在3周龄前增加,之后稳定。在人类中,GlialCAM表达在最初3年最高,随后下降,并从约5岁起稳定。
GlialCAM基因敲除小鼠复制了人类疾病的早期阶段,伴有早发性髓鞘内水肿。最早的变化是星形胶质细胞肿胀,进一步证实星形胶质细胞体积调节缺陷是MLC的主要细胞缺陷。GlialCAM表达影响MLC1、ClC - 2和水通道蛋白4的表达,表明这些蛋白之间异常的相互作用是伴囊肿的巨脑性白质脑病的一种疾病机制。