• 文献检索
  • 文档翻译
  • 深度研究
  • 学术资讯
  • Suppr Zotero 插件Zotero 插件
  • 邀请有礼
  • 套餐&价格
  • 历史记录
应用&插件
Suppr Zotero 插件Zotero 插件浏览器插件Mac 客户端Windows 客户端微信小程序
定价
高级版会员购买积分包购买API积分包
服务
文献检索文档翻译深度研究API 文档MCP 服务
关于我们
关于 Suppr公司介绍联系我们用户协议隐私条款
关注我们

Suppr 超能文献

核心技术专利:CN118964589B侵权必究
粤ICP备2023148730 号-1Suppr @ 2026

文献检索

告别复杂PubMed语法,用中文像聊天一样搜索,搜遍4000万医学文献。AI智能推荐,让科研检索更轻松。

立即免费搜索

文件翻译

保留排版,准确专业,支持PDF/Word/PPT等文件格式,支持 12+语言互译。

免费翻译文档

深度研究

AI帮你快速写综述,25分钟生成高质量综述,智能提取关键信息,辅助科研写作。

立即免费体验

LRRK2 结合蛋白的蛋白质组学分析揭示了与 WNT/PCP 通路多个信号成分的相互作用。

A proteomic analysis of LRRK2 binding partners reveals interactions with multiple signaling components of the WNT/PCP pathway.

机构信息

Laboratory of Molecular Neurobiology, Department of Medical Biochemistry and Biophysics, Karolinska Institutet, 17177, Stockholm, Sweden.

Current address: Science for Life Laboratory, Department of Biophysics and Biochemistry, Stockholm University, 171 65, Stockholm, Sweden.

出版信息

Mol Neurodegener. 2017 Jul 11;12(1):54. doi: 10.1186/s13024-017-0193-9.

DOI:10.1186/s13024-017-0193-9
PMID:28697798
原文链接:https://pmc.ncbi.nlm.nih.gov/articles/PMC5505151/
Abstract

BACKGROUND

Autosomal-dominant mutations in the Park8 gene encoding Leucine-rich repeat kinase 2 (LRRK2) have been identified to cause up to 40% of the genetic forms of Parkinson's disease. However, the function and molecular pathways regulated by LRRK2 are largely unknown. It has been shown that LRRK2 serves as a scaffold during activation of WNT/β-catenin signaling via its interaction with the β-catenin destruction complex, DVL1-3 and LRP6. In this study, we examine whether LRRK2 also interacts with signaling components of the WNT/Planar Cell Polarity (WNT/PCP) pathway, which controls the maturation of substantia nigra dopaminergic neurons, the main cell type lost in Parkinson's disease patients.

METHODS

Co-immunoprecipitation and tandem mass spectrometry was performed in a mouse substantia nigra cell line (SN4741) and human HEK293T cell line in order to identify novel LRRK2 binding partners. Inhibition of the WNT/β-catenin reporter, TOPFlash, was used as a read-out of WNT/PCP pathway activation. The capacity of LRRK2 to regulate WNT/PCP signaling in vivo was tested in Xenopus laevis' early development.

RESULTS

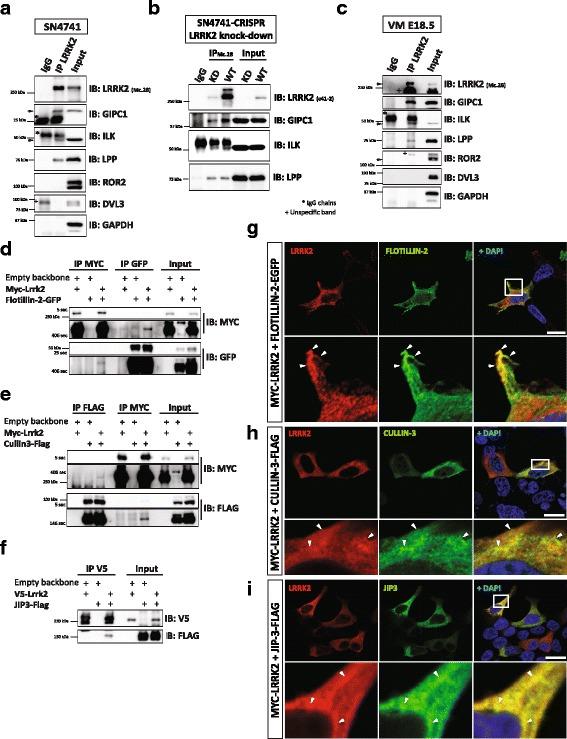
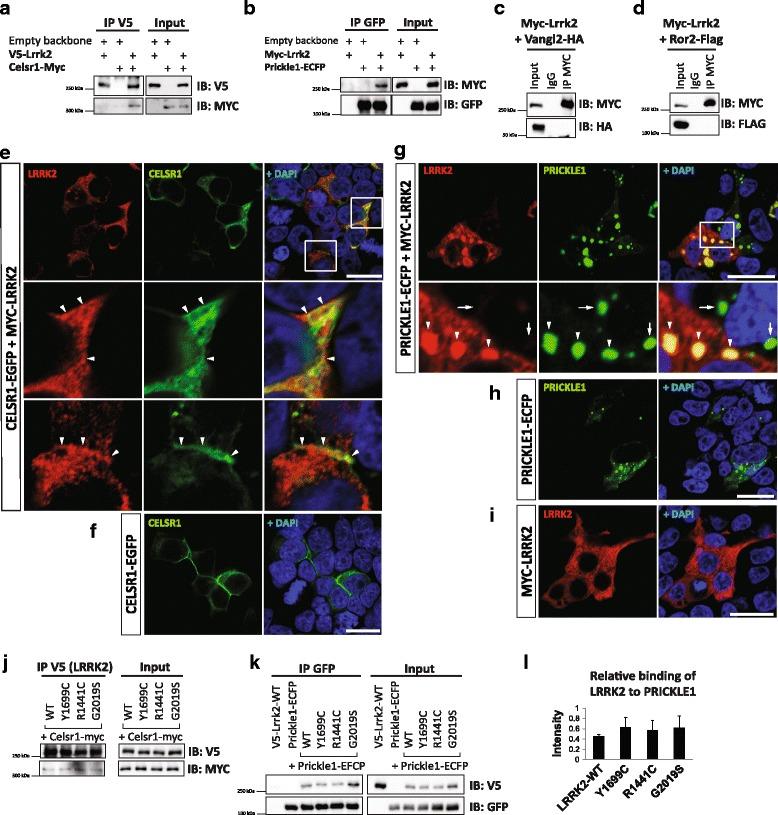
Our proteomic analysis identified that LRRK2 interacts with proteins involved in WNT/PCP signaling such as the PDZ domain-containing protein GIPC1 and Integrin-linked kinase (ILK) in dopaminergic cells in vitro and in the mouse ventral midbrain in vivo. Moreover, co-immunoprecipitation analysis revealed that LRRK2 binds to two core components of the WNT/PCP signaling pathway, PRICKLE1 and CELSR1, as well as to FLOTILLIN-2 and CULLIN-3, which regulate WNT secretion and inhibit WNT/β-catenin signaling, respectively. We also found that PRICKLE1 and LRRK2 localize in signalosomes and act as dual regulators of WNT/PCP and β-catenin signaling. Accordingly, analysis of the function of LRRK2 in vivo, in X. laevis revelaed that LRKK2 not only inhibits WNT/β-catenin pathway, but induces a classical WNT/PCP phenotype in vivo.

CONCLUSIONS

Our study shows for the first time that LRRK2 activates the WNT/PCP signaling pathway through its interaction to multiple WNT/PCP components. We suggest that LRRK2 regulates the balance between WNT/β-catenin and WNT/PCP signaling, depending on the binding partners. Since this balance is crucial for homeostasis of midbrain dopaminergic neurons, we hypothesize that its alteration may contribute to the pathophysiology of Parkinson's disease.

摘要

背景

导致高达 40%的遗传形式帕金森病的原因是编码富亮氨酸重复激酶 2(LRRK2)的常染色体显性突变。然而,LRRK2 调节的功能和分子途径在很大程度上尚不清楚。已经表明,LRRK2 通过与β-连环蛋白破坏复合物、DVL1-3 和 LRP6 的相互作用,作为 WNT/β-连环蛋白信号传导的支架。在这项研究中,我们检查了 LRRK2 是否也与 WNT/平面细胞极性(WNT/PCP)途径的信号成分相互作用,该途径控制黑质多巴胺能神经元的成熟,这是帕金森病患者中丢失的主要细胞类型。

方法

为了鉴定新的 LRRK2 结合伙伴,在鼠黑质细胞系(SN4741)和人 HEK293T 细胞系中进行了免疫沉淀和串联质谱分析。WNT/PCP 途径激活的 WNT/β-连环蛋白报告物 TOPFlash 的抑制作用用作 WNT/PCP 信号传导的读出。在非洲爪蟾早期发育中测试了 LRRK2 调节体内 WNT/PCP 信号传导的能力。

结果

我们的蛋白质组学分析表明,LRRK2 在体外和体内的多巴胺能细胞中与 PDZ 结构域蛋白 GIPC1 和整合素连接激酶(ILK)等参与 WNT/PCP 信号传导的蛋白相互作用。此外,免疫沉淀分析显示 LRRK2 与 WNT/PCP 信号通路的两个核心成分 PRICKLE1 和 CELSR1 以及调节 WNT 分泌和抑制 WNT/β-连环蛋白信号传导的 FLOTILLIN-2 和 CULLIN-3 结合。我们还发现 PRICKLE1 和 LRRK2 定位于信号小体中,并作为 WNT/PCP 和 β-连环蛋白信号传导的双重调节剂。因此,对非洲爪蟾体内 LRRK2 功能的分析表明,LRRK2 不仅抑制 WNT/β-连环蛋白途径,而且在体内诱导经典的 WNT/PCP 表型。

结论

我们的研究首次表明,LRRK2 通过与多个 WNT/PCP 成分相互作用来激活 WNT/PCP 信号通路。我们认为,LRRK2 根据结合伙伴调节 WNT/β-连环蛋白和 WNT/PCP 信号之间的平衡。由于这种平衡对于中脑多巴胺能神经元的内稳态至关重要,我们假设其改变可能导致帕金森病的病理生理学。

https://cdn.ncbi.nlm.nih.gov/pmc/blobs/843c/5505151/902d2f4370aa/13024_2017_193_Fig6_HTML.jpg
https://cdn.ncbi.nlm.nih.gov/pmc/blobs/843c/5505151/7534f2a80d8f/13024_2017_193_Fig1_HTML.jpg
https://cdn.ncbi.nlm.nih.gov/pmc/blobs/843c/5505151/015c7927d91f/13024_2017_193_Fig2_HTML.jpg
https://cdn.ncbi.nlm.nih.gov/pmc/blobs/843c/5505151/cab2d7f1dc4f/13024_2017_193_Fig3_HTML.jpg
https://cdn.ncbi.nlm.nih.gov/pmc/blobs/843c/5505151/c57d3833ae97/13024_2017_193_Fig4_HTML.jpg
https://cdn.ncbi.nlm.nih.gov/pmc/blobs/843c/5505151/a2009c0ffc82/13024_2017_193_Fig5_HTML.jpg
https://cdn.ncbi.nlm.nih.gov/pmc/blobs/843c/5505151/902d2f4370aa/13024_2017_193_Fig6_HTML.jpg
https://cdn.ncbi.nlm.nih.gov/pmc/blobs/843c/5505151/7534f2a80d8f/13024_2017_193_Fig1_HTML.jpg
https://cdn.ncbi.nlm.nih.gov/pmc/blobs/843c/5505151/015c7927d91f/13024_2017_193_Fig2_HTML.jpg
https://cdn.ncbi.nlm.nih.gov/pmc/blobs/843c/5505151/cab2d7f1dc4f/13024_2017_193_Fig3_HTML.jpg
https://cdn.ncbi.nlm.nih.gov/pmc/blobs/843c/5505151/c57d3833ae97/13024_2017_193_Fig4_HTML.jpg
https://cdn.ncbi.nlm.nih.gov/pmc/blobs/843c/5505151/a2009c0ffc82/13024_2017_193_Fig5_HTML.jpg
https://cdn.ncbi.nlm.nih.gov/pmc/blobs/843c/5505151/902d2f4370aa/13024_2017_193_Fig6_HTML.jpg

相似文献

1
A proteomic analysis of LRRK2 binding partners reveals interactions with multiple signaling components of the WNT/PCP pathway.LRRK2 结合蛋白的蛋白质组学分析揭示了与 WNT/PCP 通路多个信号成分的相互作用。
Mol Neurodegener. 2017 Jul 11;12(1):54. doi: 10.1186/s13024-017-0193-9.
2
Pathogenic LRRK2 variants are gain-of-function mutations that enhance LRRK2-mediated repression of β-catenin signaling.致病性LRRK2变体是功能获得性突变,可增强LRRK2介导的β-连环蛋白信号通路的抑制作用。
Mol Neurodegener. 2017 Jan 19;12(1):9. doi: 10.1186/s13024-017-0153-4.
3
LRRK2 functions as a Wnt signaling scaffold, bridging cytosolic proteins and membrane-localized LRP6.LRRK2 作为 Wnt 信号支架发挥作用,连接细胞质蛋白和膜定位的 LRP6。
Hum Mol Genet. 2012 Nov 15;21(22):4966-79. doi: 10.1093/hmg/dds342. Epub 2012 Aug 16.
4
Mutations in the LRRK2 Roc-COR tandem domain link Parkinson's disease to Wnt signalling pathways.LRRK2 Roc-COR 串联结构域突变将帕金森病与 Wnt 信号通路联系起来。
Hum Mol Genet. 2009 Oct 15;18(20):3955-68. doi: 10.1093/hmg/ddp337. Epub 2009 Jul 22.
5
Parkinson's Disease-Associated LRRK2 Hyperactive Kinase Mutant Disrupts Synaptic Vesicle Trafficking in Ventral Midbrain Neurons.帕金森病相关的富含亮氨酸重复激酶2(LRRK2)高活性激酶突变体破坏腹侧中脑神经元的突触小泡运输。
J Neurosci. 2017 Nov 22;37(47):11366-11376. doi: 10.1523/JNEUROSCI.0964-17.2017. Epub 2017 Oct 20.
6
Autoinhibition of Dishevelled protein regulated by its extreme C terminus plays a distinct role in Wnt/β-catenin and Wnt/planar cell polarity (PCP) signaling pathways.由其极端C末端调控的Dishevelled蛋白的自抑制在Wnt/β-连环蛋白和Wnt/平面细胞极性(PCP)信号通路中发挥着独特作用。
J Biol Chem. 2017 Apr 7;292(14):5898-5908. doi: 10.1074/jbc.M116.772509. Epub 2017 Feb 21.
7
Dysregulated phosphorylation of Rab GTPases by LRRK2 induces neurodegeneration.LRRK2 导致 Rab GTPases 的磷酸化失调,从而引发神经退行性变。
Mol Neurodegener. 2018 Feb 13;13(1):8. doi: 10.1186/s13024-018-0240-1.
8
The Wnt adaptor protein ATP6AP2 regulates multiple stages of adult hippocampal neurogenesis.Wnt衔接蛋白ATP6AP2调节成年海马神经发生的多个阶段。
J Neurosci. 2015 Mar 25;35(12):4983-98. doi: 10.1523/JNEUROSCI.4130-14.2015.
9
An integrated transcriptomics and proteomics analysis reveals functional endocytic dysregulation caused by mutations in LRRK2.一项整合转录组学和蛋白质组学分析揭示了 LRRK2 突变引起的功能性内吞作用失调。
Neurobiol Dis. 2019 Jul;127:512-526. doi: 10.1016/j.nbd.2019.04.005. Epub 2019 Apr 5.
10
The role of tyrosine hydroxylase-dopamine pathway in Parkinson's disease pathogenesis.酪氨酸羟化酶-多巴胺通路在帕金森病发病机制中的作用。
Cell Mol Life Sci. 2022 Nov 21;79(12):599. doi: 10.1007/s00018-022-04574-x.

引用本文的文献

1
Excess Wnt in neurological disease.神经系统疾病中Wnt信号过度激活
Biochem J. 2025 May 16;482(10):601-18. doi: 10.1042/BCJ20240265.
2
Dysregulated Wnt and NFAT signaling in a Parkinson's disease LRRK2 G2019S knock-in model.帕金森病 LRRK2 G2019S 敲入模型中失调的 Wnt 和 NFAT 信号。
Sci Rep. 2024 May 29;14(1):12393. doi: 10.1038/s41598-024-63130-8.
3
Exploring potential developmental origins of common neurodegenerative disorders.探索常见神经退行性疾病的潜在发育起源。

本文引用的文献

1
Selecting Sample Preparation Workflows for Mass Spectrometry-Based Proteomic and Phosphoproteomic Analysis of Patient Samples with Acute Myeloid Leukemia.为急性髓系白血病患者样本的基于质谱的蛋白质组学和磷酸化蛋白质组学分析选择样本制备工作流程
Proteomes. 2016 Aug 22;4(3):24. doi: 10.3390/proteomes4030024.
2
Pathogenic LRRK2 variants are gain-of-function mutations that enhance LRRK2-mediated repression of β-catenin signaling.致病性LRRK2变体是功能获得性突变,可增强LRRK2介导的β-连环蛋白信号通路的抑制作用。
Mol Neurodegener. 2017 Jan 19;12(1):9. doi: 10.1186/s13024-017-0153-4.
3
Dopaminergic neurons differentiating from LRRK2 G2019S induced pluripotent stem cells show early neuritic branching defects.
Biochem Soc Trans. 2024 Jun 26;52(3):1035-1044. doi: 10.1042/BST20230422.
4
Development of a highly potent and selective degrader of LRRK2.一种高效且选择性的LRRK2降解剂的研发。
Bioorg Med Chem Lett. 2023 Oct 1;94:129449. doi: 10.1016/j.bmcl.2023.129449. Epub 2023 Aug 15.
5
Recent advances in novel mutation genes of Parkinson's disease.帕金森病新型突变基因的研究进展。
J Neurol. 2023 Aug;270(8):3723-3732. doi: 10.1007/s00415-023-11781-4. Epub 2023 May 24.
6
Single-nuclei RNA sequencing uncovers heterogenous transcriptional signatures in Parkinson's disease associated with nuclear receptor-related factor 1 defect.单核RNA测序揭示了与核受体相关因子1缺陷相关的帕金森病中的异质转录特征。
Neural Regen Res. 2023 Sep;18(9):2037-2046. doi: 10.4103/1673-5374.366493.
7
Transcriptome Profiling of the Hippocampal Seizure Network Implicates a Role for Wnt Signaling during Epileptogenesis in a Mouse Model of Temporal Lobe Epilepsy.颞叶癫痫小鼠模型中癫痫发生过程中海马癫痫网络的转录组谱分析表明 Wnt 信号通路的作用。
Int J Mol Sci. 2022 Oct 10;23(19):12030. doi: 10.3390/ijms231912030.
8
Integrative Analysis for Identification of Therapeutic Targets and Prognostic Signatures in Non-Small Cell Lung Cancer.整合分析用于鉴定非小细胞肺癌的治疗靶点和预后特征
Bioinform Biol Insights. 2022 Apr 6;16:11779322221088796. doi: 10.1177/11779322221088796. eCollection 2022.
9
The E3 ligase TRIM1 ubiquitinates LRRK2 and controls its localization, degradation, and toxicity.E3 连接酶 TRIM1 泛素化 LRRK2,控制其定位、降解和毒性。
J Cell Biol. 2022 Apr 4;221(4). doi: 10.1083/jcb.202010065. Epub 2022 Mar 10.
10
Plasma Metabolite Signature Classifies Male LRRK2 Parkinson's Disease Patients.血浆代谢物特征可对男性LRRK2帕金森病患者进行分类。
Metabolites. 2022 Feb 5;12(2):149. doi: 10.3390/metabo12020149.
由 LRRK2 G2019S 诱导多能干细胞分化而来的多巴胺能神经元表现出早期神经突分支缺陷。
Sci Rep. 2016 Sep 19;6:33377. doi: 10.1038/srep33377.
4
Epithelia-derived wingless regulates dendrite directional growth of drosophila ddaE neuron through the Fz-Fmi-Dsh-Rac1 pathway.上皮来源的无翅蛋白通过Fz-Fmi-Dsh-Rac1信号通路调控果蝇ddaE神经元的树突定向生长。
Mol Brain. 2016 Apr 29;9(1):46. doi: 10.1186/s13041-016-0228-0.
5
Freezing effects on the acute myeloid leukemia cell proteome and phosphoproteome revealed using optimal quantitative workflows.使用优化的定量工作流程揭示冷冻对急性髓系白血病细胞蛋白质组和磷酸化蛋白质组的影响。
J Proteomics. 2016 Aug 11;145:214-225. doi: 10.1016/j.jprot.2016.03.049. Epub 2016 Apr 20.
6
Protective LRRK2 R1398H Variant Enhances GTPase and Wnt Signaling Activity.具有保护作用的LRRK2 R1398H变体增强GTP酶和Wnt信号传导活性。
Front Mol Neurosci. 2016 Mar 8;9:18. doi: 10.3389/fnmol.2016.00018. eCollection 2016.
7
A GIPC1-Palmitate Switch Modulates Dopamine Drd3 Receptor Trafficking and Signaling.一种GIPC1-棕榈酸酯开关调节多巴胺Drd3受体的转运和信号传导。
Mol Cell Biol. 2016 Jan 19;36(6):1019-31. doi: 10.1128/MCB.00916-15.
8
LRRK2 G2019S mutation attenuates microglial motility by inhibiting focal adhesion kinase.LRRK2基因G2019S突变通过抑制粘着斑激酶减弱小胶质细胞的运动能力。
Nat Commun. 2015 Sep 14;6:8255. doi: 10.1038/ncomms9255.
9
Lamellipodin promotes actin assembly by clustering Ena/VASP proteins and tethering them to actin filaments.片层状肌动蛋白结合蛋白通过聚集Ena/VASP蛋白并将它们连接到肌动蛋白丝来促进肌动蛋白组装。
Elife. 2015 Aug 21;4:e06585. doi: 10.7554/eLife.06585.
10
Chronic and acute LRRK2 silencing has no long-term behavioral effects, whereas wild-type and mutant LRRK2 overexpression induce motor and cognitive deficits and altered regulation of dopamine release.慢性和急性沉默LRRK2没有长期行为影响,而野生型和突变型LRRK2的过表达会导致运动和认知缺陷以及多巴胺释放调节改变。
Parkinsonism Relat Disord. 2015 Oct;21(10):1156-63. doi: 10.1016/j.parkreldis.2015.07.025. Epub 2015 Aug 1.