Suppr超能文献

局部涂抹毛喉素乳膏通过抑制多发性硬化症小鼠模型中的炎症通路和电压门控离子通道来缓解神经病理性疼痛。

Topical moringin-cream relieves neuropathic pain by suppression of inflammatory pathway and voltage-gated ion channels in murine model of multiple sclerosis.

机构信息

RCCS Centro Neurolesi "Bonino-Pulejo", Via Provinciale Palermo, Contrada Casazza, Messina, Italy.

Consiglio per la ricerca in agricoltura e l'analisi dell'economia agraria, Centro di ricerca Agricoltura e Ambiente (CREA-AA), Bologna, Italy.

出版信息

Mol Pain. 2017 Jan-Dec;13:1744806917724318. doi: 10.1177/1744806917724318.

Abstract

BACKGROUND

Neuropathic pain represents the major public health burden with a strong impact on quality life in multiple sclerosis patients. Although some advances have been obtained in the last years, the conventional therapies remain poorly effective. Thus, the discovery of innovative approaches to improve the outcomes for multiple sclerosis patients is a goal of primary importance. With this aim, we investigated the efficacy of the 4-(α−L-rhamnopyranosyloxy)benzyl isothiocyanate (moringin), purified from Moringa oleifera seeds and ready-to-use as topical treatment in experimental autoimmune encephalomyelitis, murine model of multiple sclerosis. Female C57BL/6 mice immunized with myelin oligodendrocyte glycoprotein (MOG35–55) were topically treated with 2% moringin cream twice daily from the onset of the symptoms until the sacrifice occurred about 21 days after experimental autoimmune encephalomyelitis induction.

RESULTS

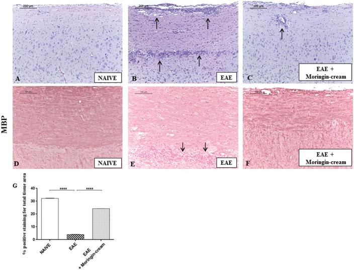
Our observations showed the efficacy of 2% moringin cream treatment in reducing clinical and histological disease score, as well as in alleviating neuropathic pain with consequent recovering of the hind limbs and response to mechanical stimuli. In particular, Western blot analysis and immunohistochemical evaluations revealed that 2% moringin cream was able to counteract the inflammatory cascade by reducing the production of pro-inflammatory cytokines (interleukin-17 and interferon-γ) and in parallel by increasing the expression of anti-inflammatory cytokine (interleukin-10). Interestingly, 2% moringin cream treatment was found to modulate the expression of voltage-gated ion channels (results focused on P2X7, Nav 1.7, Nav 1.8 KV4.2, and α2δ-1) as well as metabotropic glutamate receptors (mGluR5 and xCT) involved in neuropathic pain initiation and maintenance.

CONCLUSIONS

Finally, our evidences suggest 2% moringin cream as a new pharmacological trend in the management of multiple sclerosis-induced neuropathic pain.

摘要

背景

神经病理性疼痛是多发性硬化症患者的主要公共健康负担,对生活质量有很大影响。尽管近年来取得了一些进展,但常规疗法仍效果不佳。因此,发现改善多发性硬化症患者治疗效果的创新方法是首要目标。为此,我们研究了 4-(α-L-鼠李吡喃糖氧基)苄基异硫氰酸酯(辣木素)的疗效,辣木素从辣木种子中提取,可作为实验性自身免疫性脑脊髓炎(多发性硬化症的小鼠模型)的局部治疗药物使用。用髓鞘少突胶质细胞糖蛋白(MOG35-55)免疫的雌性 C57BL/6 小鼠从症状出现开始每日两次用 2%辣木素乳膏局部治疗,持续到实验性自身免疫性脑脊髓炎诱导后约 21 天处死。

结果

我们的观察结果表明,2%辣木素乳膏治疗可降低临床和组织学疾病评分,并缓解神经病理性疼痛,从而恢复后肢活动和对机械刺激的反应。特别是,Western blot 分析和免疫组织化学评估表明,2%辣木素乳膏通过减少促炎细胞因子(白细胞介素-17 和干扰素-γ)的产生和增加抗炎细胞因子(白细胞介素-10)的表达,从而抑制炎症级联反应。有趣的是,发现 2%辣木素乳膏治疗可调节电压门控离子通道(重点关注 P2X7、Nav1.7、Nav1.8 KV4.2 和α2δ-1)和代谢型谷氨酸受体(mGluR5 和 xCT)的表达,这些受体参与神经病理性疼痛的发生和维持。

结论

总之,我们的证据表明 2%辣木素乳膏可能成为治疗多发性硬化症引起的神经病理性疼痛的新药物趋势。

https://cdn.ncbi.nlm.nih.gov/pmc/blobs/f0cb/5555508/f8f1fcbc6e7d/10.1177_1744806917724318-fig1.jpg

文献AI研究员

20分钟写一篇综述,助力文献阅读效率提升50倍。

立即体验

用中文搜PubMed

大模型驱动的PubMed中文搜索引擎

马上搜索

文档翻译

学术文献翻译模型,支持多种主流文档格式。

立即体验