• 文献检索
  • 文档翻译
  • 深度研究
  • 学术资讯
  • Suppr Zotero 插件Zotero 插件
  • 邀请有礼
  • 套餐&价格
  • 历史记录
应用&插件
Suppr Zotero 插件Zotero 插件浏览器插件Mac 客户端Windows 客户端微信小程序
定价
高级版会员购买积分包购买API积分包
服务
文献检索文档翻译深度研究API 文档MCP 服务
关于我们
关于 Suppr公司介绍联系我们用户协议隐私条款
关注我们

Suppr 超能文献

核心技术专利:CN118964589B侵权必究
粤ICP备2023148730 号-1Suppr @ 2026

文献检索

告别复杂PubMed语法,用中文像聊天一样搜索,搜遍4000万医学文献。AI智能推荐,让科研检索更轻松。

立即免费搜索

文件翻译

保留排版,准确专业,支持PDF/Word/PPT等文件格式,支持 12+语言互译。

免费翻译文档

深度研究

AI帮你快速写综述,25分钟生成高质量综述,智能提取关键信息,辅助科研写作。

立即免费体验

Post traumatic dural sinus thrombosis following epidural hematoma: Literature review and case report.

作者信息

Pescatori Lorenzo, Tropeano Maria Pia, Mancarella Cristina, Prizio Emiliano, Santoro Giorgio, Domenicucci Maurizio

机构信息

Lorenzo Pescatori, Maria Pia Tropeano, Cristina Mancarella, Emiliano Prizio, Giorgio Santoro, Maurizio Domenicucci, DAI Neurology and Psichiatry - Department of Neurosurgery, Policlinico Umberto I - Sapienza University of Rome, 00161 Rome, Italy.

出版信息

World J Clin Cases. 2017 Jul 16;5(7):292-298. doi: 10.12998/wjcc.v5.i7.292.

DOI:10.12998/wjcc.v5.i7.292
PMID:28798925
原文链接:https://pmc.ncbi.nlm.nih.gov/articles/PMC5535321/
Abstract

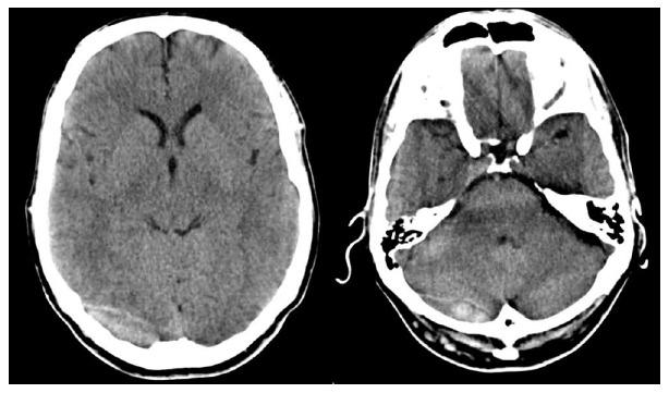
Dural sinus thrombosis following a head trauma is a rare condition, described in literature along with the lack of consensus regarding diagnosis and management. We present a case of a fifty-year-old man with a head injury and combined supratentorial-subtentorial epidural hematoma who was treated conservatively through the administration of low molecular weight heparin. The diagnosis and management of this condition are discussed based on a literature review. The early diagnosis may prevent potentially treatable poor outcomes.

摘要
https://cdn.ncbi.nlm.nih.gov/pmc/blobs/fa5f/5535321/ec0c462b330e/WJCC-5-292-g006.jpg
https://cdn.ncbi.nlm.nih.gov/pmc/blobs/fa5f/5535321/22735c9a1cea/WJCC-5-292-g001.jpg
https://cdn.ncbi.nlm.nih.gov/pmc/blobs/fa5f/5535321/c81ad968037b/WJCC-5-292-g002.jpg
https://cdn.ncbi.nlm.nih.gov/pmc/blobs/fa5f/5535321/55a32bb4781a/WJCC-5-292-g003.jpg
https://cdn.ncbi.nlm.nih.gov/pmc/blobs/fa5f/5535321/beff08868cb5/WJCC-5-292-g004.jpg
https://cdn.ncbi.nlm.nih.gov/pmc/blobs/fa5f/5535321/8905f73c8bbe/WJCC-5-292-g005.jpg
https://cdn.ncbi.nlm.nih.gov/pmc/blobs/fa5f/5535321/ec0c462b330e/WJCC-5-292-g006.jpg
https://cdn.ncbi.nlm.nih.gov/pmc/blobs/fa5f/5535321/22735c9a1cea/WJCC-5-292-g001.jpg
https://cdn.ncbi.nlm.nih.gov/pmc/blobs/fa5f/5535321/c81ad968037b/WJCC-5-292-g002.jpg
https://cdn.ncbi.nlm.nih.gov/pmc/blobs/fa5f/5535321/55a32bb4781a/WJCC-5-292-g003.jpg
https://cdn.ncbi.nlm.nih.gov/pmc/blobs/fa5f/5535321/beff08868cb5/WJCC-5-292-g004.jpg
https://cdn.ncbi.nlm.nih.gov/pmc/blobs/fa5f/5535321/8905f73c8bbe/WJCC-5-292-g005.jpg
https://cdn.ncbi.nlm.nih.gov/pmc/blobs/fa5f/5535321/ec0c462b330e/WJCC-5-292-g006.jpg

相似文献

1
Post traumatic dural sinus thrombosis following epidural hematoma: Literature review and case report.
World J Clin Cases. 2017 Jul 16;5(7):292-298. doi: 10.12998/wjcc.v5.i7.292.
2
Dural sinus and internal jugular vein thrombosis complicating a blunt head injury in a pediatric patient.一名儿科患者钝性头部损伤并发硬脑膜窦和颈内静脉血栓形成。
Childs Nerv Syst. 2013 Aug;29(8):1231-4. doi: 10.1007/s00381-013-2184-7. Epub 2013 Jun 9.
3
Compression of the posterior fossa venous sinuses by epidural hemorrhage simulating venous sinus thrombosis: CT and MR findings.硬膜外出血模拟静脉窦血栓形成对后颅窝静脉窦的压迫:CT和MR表现
Pediatr Radiol. 2016 Jan;46(1):67-72. doi: 10.1007/s00247-015-3458-x. Epub 2015 Sep 10.
4
Dural sinus thrombosis following head injury: report of two cases and review of the literature.头部损伤后硬脑膜窦血栓形成:两例报告并文献复习
Turk Neurosurg. 2008 Jan;18(1):70-7.
5
Retroclival epidural hematoma: A rare location of epidural hematoma, case report, and review of literature.斜坡后硬膜外血肿:硬膜外血肿的罕见部位、病例报告及文献综述
J Craniovertebr Junction Spine. 2020 Oct-Dec;11(4):342-346. doi: 10.4103/jcvjs.JCVJS_97_20. Epub 2020 Nov 26.
6
Venous Sinus Thrombosis in Blunt Trauma: Incidence and Risk Factors.钝性创伤中的静脉窦血栓形成:发病率及危险因素
J Comput Assist Tomogr. 2017 Nov/Dec;41(6):891-897. doi: 10.1097/RCT.0000000000000620.
7
Cerebral venous congestion as indication for thrombolytic treatment.脑静脉淤血作为溶栓治疗的指征。
Cardiovasc Intervent Radiol. 2007 Jul-Aug;30(4):675-87. doi: 10.1007/s00270-007-9046-1.
8
Post-Traumatic Bifrontoparietal Extradural Hematoma with Superior Sagittal Sinus Detachment: A Case Report and Review of the Literature.创伤后双侧额顶叶硬膜外血肿伴上矢状窦分离:一例报告并文献复习
World Neurosurg. 2016 Sep;93:489.e17-20. doi: 10.1016/j.wneu.2016.06.085. Epub 2016 Jun 28.
9
Conservative vs. Surgical Management of Post-Traumatic Epidural Hematoma: A Case and Review of Literature.创伤后硬膜外血肿的保守治疗与手术治疗:病例报告及文献综述
Am J Case Rep. 2015 Nov 14;16:811-7. doi: 10.12659/ajcr.895231.
10
Cerebral venous sinus thrombosis following accidental dural puncture and epidural blood patch.意外硬膜穿刺和硬膜外血补丁后发生的脑静脉窦血栓形成
Int J Obstet Anesth. 2008 Jul;17(3):267-70. doi: 10.1016/j.ijoa.2008.01.001. Epub 2008 May 21.

引用本文的文献

1
Anticoagulation strategies in patients with coexisting traumatic intracranial hematomas and cerebral venous sinus thrombosis: an observational cohort study.合并创伤性颅内血肿和脑静脉窦血栓形成患者的抗凝策略:一项观察性队列研究。
Acta Neurochir (Wien). 2024 Sep 27;166(1):385. doi: 10.1007/s00701-024-06287-5.

本文引用的文献

1
Early Spontaneous Recanalization of Sigmoid Sinus Thrombosis Following a Closed Head Injury in a Pediatric Patient : A Case Report and Review of Literature.小儿闭合性颅脑损伤后乙状窦血栓形成的早期自发再通:一例报告并文献复习
J Korean Neurosurg Soc. 2015 Aug;58(2):150-4. doi: 10.3340/jkns.2015.58.2.150. Epub 2015 Aug 28.
2
Cerebral sinus thrombosis in a 6-year-old boy after a minor head injury.
Pediatr Emerg Care. 2014 Mar;30(3):177-9. doi: 10.1097/PEC.0000000000000088.
3
Dural sinus and internal jugular vein thrombosis complicating a blunt head injury in a pediatric patient.一名儿科患者钝性头部损伤并发硬脑膜窦和颈内静脉血栓形成。
Childs Nerv Syst. 2013 Aug;29(8):1231-4. doi: 10.1007/s00381-013-2184-7. Epub 2013 Jun 9.
4
Unfractionated or low-molecular weight heparin for the treatment of cerebral venous thrombosis.未分级肝素或低分子量肝素治疗颅内静脉血栓形成。
Stroke. 2010 Nov;41(11):2575-80. doi: 10.1161/STROKEAHA.110.588822. Epub 2010 Oct 7.
5
EFNS guideline on the treatment of cerebral venous and sinus thrombosis in adult patients.EFNS 成人颅内静脉和静脉窦血栓形成治疗指南。
Eur J Neurol. 2010 Oct;17(10):1229-35. doi: 10.1111/j.1468-1331.2010.03011.x.
6
[Venous sinus thrombosis after closed head injury: case report].
Ulus Travma Acil Cerrahi Derg. 2010 Jan;16(1):98-102.
7
Cerebral venous sinus thrombosis: review of the demographics, pathophysiology, current diagnosis, and treatment.脑静脉窦血栓形成:人口统计学、病理生理学、当前诊断及治疗综述
Neurosurg Focus. 2009 Nov;27(5):E3. doi: 10.3171/2009.8.FOCUS09167.
8
Closed traumatic head injury: dural sinus and internal jugular vein thrombosis.闭合性创伤性颅脑损伤:硬脑膜窦和颈内静脉血栓形成。
Emerg Med J. 2008 Nov;25(11):777-8. doi: 10.1136/emj.2008.061952.
9
Dural sinus thrombosis following head injury: report of two cases and review of the literature.头部损伤后硬脑膜窦血栓形成:两例报告并文献复习
Turk Neurosurg. 2008 Jan;18(1):70-7.
10
Dural sinus thrombosis after minor head injury in a child.
Ann Acad Med Singap. 2005 Nov;34(10):639-41.