• 文献检索
  • 文档翻译
  • 深度研究
  • 学术资讯
  • Suppr Zotero 插件Zotero 插件
  • 邀请有礼
  • 套餐&价格
  • 历史记录
应用&插件
Suppr Zotero 插件Zotero 插件浏览器插件Mac 客户端Windows 客户端微信小程序
定价
高级版会员购买积分包购买API积分包
服务
文献检索文档翻译深度研究API 文档MCP 服务
关于我们
关于 Suppr公司介绍联系我们用户协议隐私条款
关注我们

Suppr 超能文献

核心技术专利:CN118964589B侵权必究
粤ICP备2023148730 号-1Suppr @ 2026

文献检索

告别复杂PubMed语法,用中文像聊天一样搜索,搜遍4000万医学文献。AI智能推荐,让科研检索更轻松。

立即免费搜索

文件翻译

保留排版,准确专业,支持PDF/Word/PPT等文件格式,支持 12+语言互译。

免费翻译文档

深度研究

AI帮你快速写综述,25分钟生成高质量综述,智能提取关键信息,辅助科研写作。

立即免费体验

用于细胞移植的生物活性缝线的吸收性与拉伸性

Absorption and Tensility of Bioactive Sutures Prepared for Cell Transplantation.

作者信息

Horváthy Dénes B, Vácz Gabriella, Szabó Tamás, Renner Károly, Vajda Kinga, Sándor Balázs, Lacza Zsombor

机构信息

Institute of Human Physiology and Clinical Experimental Research, Semmelweis University, Tűzoltó 37-47, Budapest H-1094, Hungary.

Department of Orthopedics, Semmelweis University, Karolina 27, Budapest H-1113, Hungary.

出版信息

Materials (Basel). 2013 Feb 15;6(2):544-550. doi: 10.3390/ma6020544.

DOI:10.3390/ma6020544
PMID:28809324
原文链接:https://pmc.ncbi.nlm.nih.gov/articles/PMC5452094/
Abstract

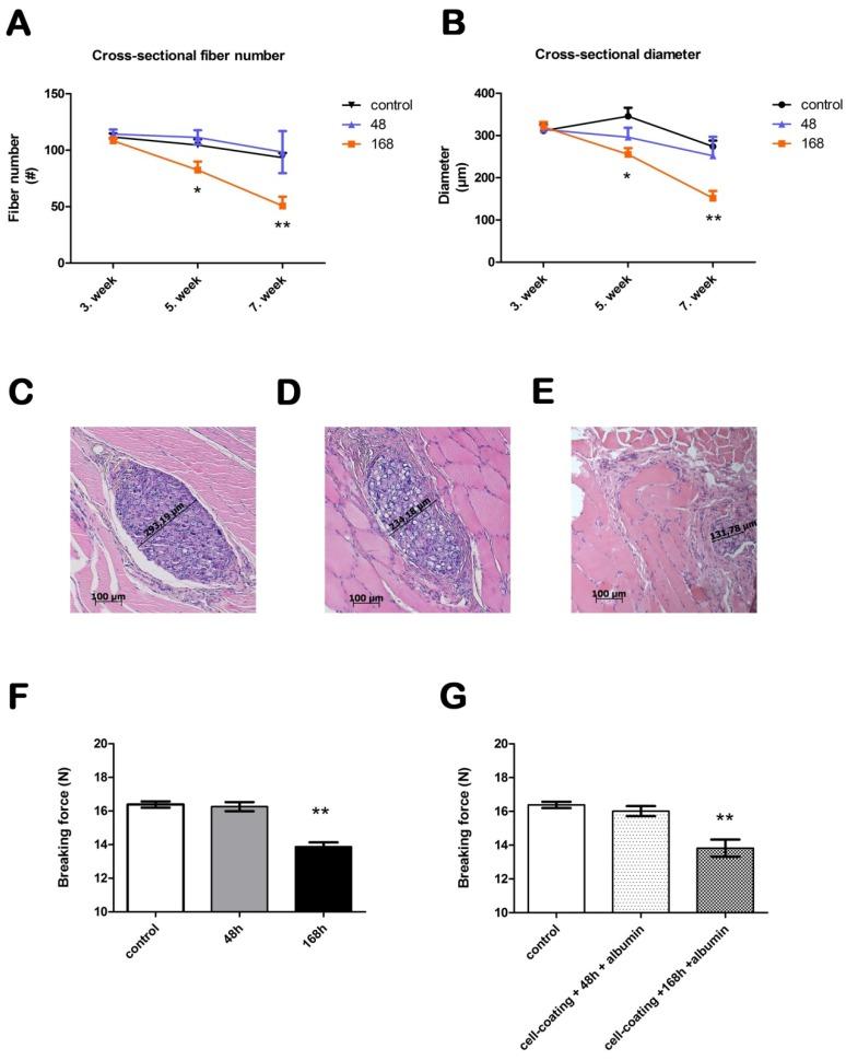
Biodegradable scaffolds are widely used to transplant stem cells into various tissues. Recent studies showed that living stem cells can be attached to the surface of absorbable sutures . Soaking the absorbable material polyglactin in a cell culture medium and thereby creating a stem cell biofilm on its surface may initiate the absorption process even before implantation; therefore, the physicochemical properties of the suture may be compromised . We found that pre-incubation of sutures in cell culture media results in tensile strength reduction and faster suture absorption in a rat model of muscle injury. Shorter incubation times of up to 48 h do not influence absorption or tensility; therefore, it is advisable to limit incubation times to two days for polyglactin-based cell delivery protocols.

摘要

可生物降解支架被广泛用于将干细胞移植到各种组织中。最近的研究表明,活的干细胞可以附着在可吸收缝线的表面。将可吸收材料聚乙交酯丙交酯浸泡在细胞培养基中,从而在其表面形成干细胞生物膜,甚至在植入前就可能启动吸收过程;因此,缝线的物理化学性质可能会受到影响。我们发现,在细胞培养基中对缝线进行预孵育会导致大鼠肌肉损伤模型中的拉伸强度降低和缝线吸收加快。长达48小时的较短孵育时间不会影响吸收或拉伸性;因此,对于基于聚乙交酯的细胞递送方案,建议将孵育时间限制在两天。

https://cdn.ncbi.nlm.nih.gov/pmc/blobs/8e43/5452094/e13e8dec5394/materials-06-00544-g002.jpg
https://cdn.ncbi.nlm.nih.gov/pmc/blobs/8e43/5452094/ba9e3d3c4774/materials-06-00544-g001.jpg
https://cdn.ncbi.nlm.nih.gov/pmc/blobs/8e43/5452094/e13e8dec5394/materials-06-00544-g002.jpg
https://cdn.ncbi.nlm.nih.gov/pmc/blobs/8e43/5452094/ba9e3d3c4774/materials-06-00544-g001.jpg
https://cdn.ncbi.nlm.nih.gov/pmc/blobs/8e43/5452094/e13e8dec5394/materials-06-00544-g002.jpg

相似文献

1
Absorption and Tensility of Bioactive Sutures Prepared for Cell Transplantation.用于细胞移植的生物活性缝线的吸收性与拉伸性
Materials (Basel). 2013 Feb 15;6(2):544-550. doi: 10.3390/ma6020544.
2
A prospective controlled study of a 10/0 absorbable polyglactin suture for corneal incision phacoemulsification.一项关于10/0可吸收聚乙醇酸缝线用于角膜切口超声乳化术的前瞻性对照研究。
Eye (Lond). 1998;12 ( Pt 3a):399-402. doi: 10.1038/eye.1998.94.
3
Albumin-coated bioactive suture for cell transplantation.用于细胞移植的白蛋白包被生物活性缝线
Surg Innov. 2013 Jun;20(3):249-55. doi: 10.1177/1553350612451353. Epub 2012 Jun 19.
4
Mechanical performance of polyglycolic acid and polyglactin 910 synthetic absorbable sutures.聚乙醇酸和聚乳酸-910合成可吸收缝线的力学性能
Surg Gynecol Obstet. 1981 Dec;153(6):835-41.
5
Polyglactin 910 suture absorption and the role of cellular enzymes.聚乙醇酸910缝线的吸收及细胞酶的作用
Surg Gynecol Obstet. 1976 Apr;142(4):544-50.
6
[Polydioxanon (PDS)--a new monofilar synthetic, absorbable suture material. Tensile strength studies in a controlled clinical trial on the large intestine of humans and physical parameters in in vitro tests].聚二氧六环酮(PDS)——一种新型单丝合成可吸收缝合材料。在人体大肠上进行的对照临床试验中的拉伸强度研究及体外试验中的物理参数
Chirurg. 1983 Feb;54(2):103-7.
7
Effect of saline conditions on the tensile strength of ophthalmic sutures.盐溶液条件对眼科缝线抗张强度的影响。
Ophthalmic Surg Lasers Imaging. 2011 Mar-Apr;42(2):148-51. doi: 10.3928/15428877-20101124-01. Epub 2010 Dec 1.
8
Comparison of absorbable and nonabsorbable sutures for microsurgical vasovasostomy in rats.大鼠显微外科输精管吻合术中可吸收缝线与不可吸收缝线的比较。
Urology. 1999 Jun;53(6):1235-8. doi: 10.1016/s0090-4295(99)00022-9.
9
The evaluation of 7-0 Polyglactin 910 suture in cataract surgery.7-0 聚乙醇酸910缝线在白内障手术中的评估
Ophthalmic Surg. 1975 Winter;6(4):99-104.
10
The use of Polyglactin 910 in muscle surgery.
Ophthalmic Surg. 1975 Spring;6(1):39-41.

引用本文的文献

1
Rat model of anal sphincter injury and two approaches for stem cell administration.肛门括约肌损伤大鼠模型及两种干细胞给药途径
World J Stem Cells. 2018 Jan 26;10(1):1-14. doi: 10.4252/wjsc.v10.i1.1.

本文引用的文献

1
The effect of suture coated with mesenchymal stem cells and bioactive substrate on tendon repair strength in a rat model.在大鼠模型中,间充质干细胞和生物活性基质涂层缝线对肌腱修复强度的影响。
J Hand Surg Am. 2012 Aug;37(8):1639-45. doi: 10.1016/j.jhsa.2012.04.038. Epub 2012 Jun 23.
2
Albumin-coated bioactive suture for cell transplantation.用于细胞移植的白蛋白包被生物活性缝线
Surg Innov. 2013 Jun;20(3):249-55. doi: 10.1177/1553350612451353. Epub 2012 Jun 19.
3
Sutures enriched with adipose-derived stem cells decrease the local acute inflammation after tracheal anastomosis in a murine model.
富含脂肪来源干细胞的缝线可减少小鼠气管吻合术后局部急性炎症。
Eur J Cardiothorac Surg. 2012 Sep;42(3):e40-7. doi: 10.1093/ejcts/ezs357. Epub 2012 Jun 11.
4
Biomechanical assessment of suture techniques used for tendon repair.
Acta Orthop Traumatol Turc. 2011;45(6):453-7. doi: 10.3944/AOTT.2011.2379.
5
An In Vitro and In Vivo Evaluation of Tensile Strength and Durability of Seven Suture Materials in Various pH and Different Conditions: An Experimental Study in Rats.七种缝合材料在不同pH值和不同条件下的拉伸强度和耐久性的体外和体内评估:大鼠实验研究
Indian J Surg. 2010 Oct;72(5):386-90. doi: 10.1007/s12262-010-0158-5. Epub 2010 Nov 23.
6
Viability and proliferation of pluripotential cells delivered to tendon repair sites using bioactive sutures--an in vitro study.
J Hand Surg Am. 2011 Feb;36(2):252-8. doi: 10.1016/j.jhsa.2010.10.004. Epub 2010 Dec 24.
7
Adipose-derived mesenchymal stem cells in biosutures do not improve healing of experimental colonic anastomoses.生物缝线中的脂肪来源间充质干细胞不能改善实验性结肠吻合口的愈合。
Br J Surg. 2008 Sep;95(9):1180-4. doi: 10.1002/bjs.6242.
8
Biodegradation of absorbable sutures in body fluids and pH buffers.可吸收缝线在体液和pH缓冲液中的生物降解
Eur Surg Res. 2004 Nov-Dec;36(6):376-85. doi: 10.1159/000081648.