Suppr超能文献

低管电压肝脏 MDCT 联合基于谱信号确认的迭代重建技术在肝细胞癌检测中的应用。

Low Tube Voltage Liver MDCT with Sinogram-Affirmed Iterative Reconstructions for the Detection of Hepatocellular Carcinoma.

机构信息

Department of Radiology, University Hospital Regensburg, Regensburg, Germany.

Department of Internal Medicine I, University Hospital Regensburg, Regensburg, Germany.

出版信息

Sci Rep. 2017 Aug 25;7(1):9460. doi: 10.1038/s41598-017-10095-6.

Abstract

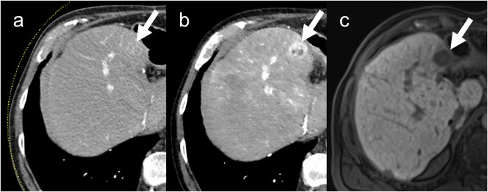
Aim of this study was to compare low tube voltage computed tomography (80 kV) of the liver using iterative image reconstruction (SAFIRE) with standard computed tomography (120 kV) using filtered back-projection (FBP) for the detection of hepatocellular carcinoma (HCC). 46 patients (43 men) with 93 HCC confirmed by 3 T MRI with Gd-EOB-DPTA, in inconclusive cases combined with contrast-enhanced ultrasound, underwent dual-energy CT. The raw data of the 80 kV tube was reconstructed using the iterative reconstruction algorithm SAFIRE with two strengths (I3 and I5). The virtual 120 kV image data set was reconstructed using FBP. The CT images were reviewed to determine the lesion-to-liver contrast (LLC), the lesion contrast-to-noise ratio (CNR) and the sensitivity. The LLC (57.1/54.3 [I3/I5] vs. 34.9 [FBP]; p ≤ 0.01), CNR (3.67/4.45 [I3/I5] vs. 2.48 [FBP]; p < 0.01) and sensitivity (91.4%/88.2% [I3/I5] vs. 72.0% [FBP]; p ≤ 0.01) were significantly higher in the low-voltage protocol using SAFIRE. Therefore, low tube voltage CT using SAFIRE results in an increased lesion-to-liver contrast as well as an improved lesion contrast-to-noise ratio compared to FBP at 120 kV which results in a higher sensitivity for the detection of HCC.

摘要

本研究旨在比较使用迭代重建(SAFIRE)的低管电压(80kV)肝脏计算机断层扫描(CT)与使用滤波反投影(FBP)的标准 CT(120kV)在检测肝细胞癌(HCC)方面的效果。46 例(43 例男性)患者,其 93 个 HCC 经 3T MRI 检查结合钆塞酸二钠(Gd-EOB-DPTA),对诊断不确定的病例结合增强超声检查,进行了双能 CT 检查。80kV 管的原始数据使用迭代重建算法 SAFIRE 进行重建,具有两种强度(I3 和 I5)。虚拟 120kV 图像数据集使用 FBP 进行重建。对 CT 图像进行了回顾性分析,以确定病灶与肝脏的对比(LLC)、病灶对比噪声比(CNR)和灵敏度。低电压协议使用 SAFIRE 时 LLC(57.1/54.3[I3/I5]比 34.9[FBP];p≤0.01)、CNR(3.67/4.45[I3/I5]比 2.48[FBP];p<0.01)和灵敏度(91.4%/88.2%[I3/I5]比 72.0%[FBP];p≤0.01)显著更高。因此,与 120kV 时的 FBP 相比,使用 SAFIRE 的低管电压 CT 可提高病灶与肝脏的对比度,以及病灶对比噪声比,从而提高 HCC 的检测灵敏度。

https://cdn.ncbi.nlm.nih.gov/pmc/blobs/f78b/5573356/f012d94eb942/41598_2017_10095_Fig1_HTML.jpg

文献AI研究员

20分钟写一篇综述,助力文献阅读效率提升50倍。

立即体验

用中文搜PubMed

大模型驱动的PubMed中文搜索引擎

马上搜索

文档翻译

学术文献翻译模型,支持多种主流文档格式。

立即体验