• 文献检索
  • 文档翻译
  • 深度研究
  • 学术资讯
  • Suppr Zotero 插件Zotero 插件
  • 邀请有礼
  • 套餐&价格
  • 历史记录
应用&插件
Suppr Zotero 插件Zotero 插件浏览器插件Mac 客户端Windows 客户端微信小程序
定价
高级版会员购买积分包购买API积分包
服务
文献检索文档翻译深度研究API 文档MCP 服务
关于我们
关于 Suppr公司介绍联系我们用户协议隐私条款
关注我们

Suppr 超能文献

核心技术专利:CN118964589B侵权必究
粤ICP备2023148730 号-1Suppr @ 2026

文献检索

告别复杂PubMed语法,用中文像聊天一样搜索,搜遍4000万医学文献。AI智能推荐,让科研检索更轻松。

立即免费搜索

文件翻译

保留排版,准确专业,支持PDF/Word/PPT等文件格式,支持 12+语言互译。

免费翻译文档

深度研究

AI帮你快速写综述,25分钟生成高质量综述,智能提取关键信息,辅助科研写作。

立即免费体验

芽囊原虫属加剧结肠癌发生

Exacerbation of colon carcinogenesis by Blastocystis sp.

作者信息

Kumarasamy Vinoth, Kuppusamy Umah Rani, Jayalakshmi Pailoor, Samudi Chandramathi, Ragavan Nanthiney Devi, Kumar Suresh

机构信息

Department of Microbiology, Faculty of Medicine, MAHSA University, Bandar Saujana Putra, Shah Alam, Malaysia.

Department of Biomedical Science, Faculty of Medicine, University of Malaya, Kuala Lumpur, Malaysia.

出版信息

PLoS One. 2017 Aug 31;12(8):e0183097. doi: 10.1371/journal.pone.0183097. eCollection 2017.

DOI:10.1371/journal.pone.0183097
PMID:28859095
原文链接:https://pmc.ncbi.nlm.nih.gov/articles/PMC5578604/
Abstract

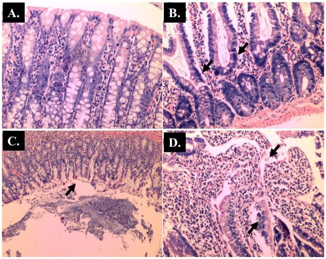
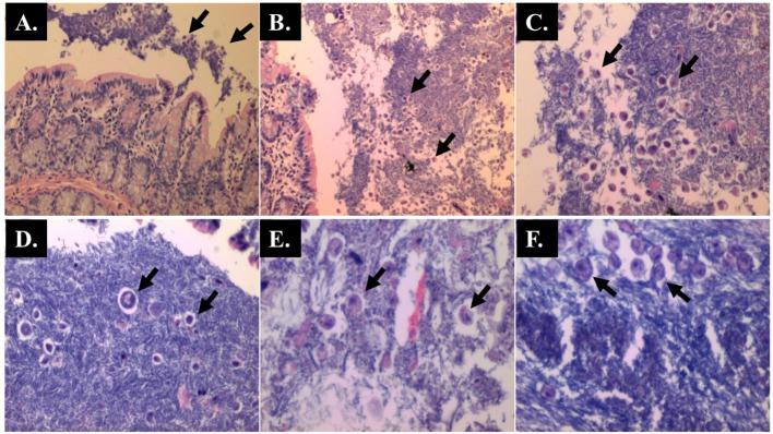
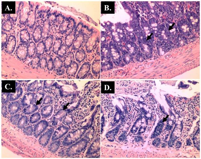
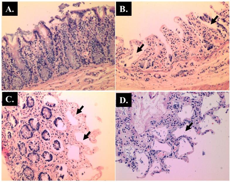
Colorectal cancer (CRC) is one the most commonly diagnosed cancers worldwide and the number is increasing every year. Despite advances in screening programs, CRC remains as the second leading cause of cancer deaths in the United States. Oxidative stress plays an important role in the molecular mechanisms of colorectal cancer (CRC) and has been shown to be associated with Blastocystis sp., a common intestinal microorganism. In the present study, we aimed to identify a role for Blastocystis sp. in exacerbating carcinogenesis using in vivo rat model. Methylene blue staining was used to identify colonic aberrant crypt foci (ACF) and adenomas formation in infected rats whilst elevation of oxidative stress biomarker levels in the urine and serum samples were evaluated using biochemical assays. Histological changes of the intestinal mucosa were observed and a significant number of ACF was found in Blastocystis sp. infected AOM-rats compared to the AOM-controls. High levels of urinary oxidative indices including advanced oxidative protein products (AOPP) and hydrogen peroxide were observed in Blastocystis sp. infected AOM-rats compared to the uninfected AOM-rats. Our study provides evidence that Blastocystis sp. has a significant role in enhancing AOM-induced carcinogenesis by resulting damage to the intestinal epithelium and promoting oxidative damage in Blastocystis sp. infected rats.

摘要

结直肠癌(CRC)是全球最常被诊断出的癌症之一,且其数量逐年增加。尽管筛查项目有所进展,但CRC在美国仍是癌症死亡的第二大主要原因。氧化应激在结直肠癌(CRC)的分子机制中起重要作用,并且已被证明与一种常见的肠道微生物——芽囊原虫属有关。在本研究中,我们旨在利用体内大鼠模型确定芽囊原虫属在加剧致癌作用中的作用。使用亚甲蓝染色来识别感染大鼠的结肠异常隐窝灶(ACF)和腺瘤形成,同时使用生化测定法评估尿液和血清样本中氧化应激生物标志物水平的升高。观察肠道黏膜的组织学变化,与AOM对照组相比,在感染芽囊原虫属的AOM大鼠中发现了大量的ACF。与未感染的AOM大鼠相比,在感染芽囊原虫属的AOM大鼠中观察到高水平的尿液氧化指标,包括晚期氧化蛋白产物(AOPP)和过氧化氢。我们的研究提供了证据,表明芽囊原虫属通过对肠道上皮造成损伤并促进感染芽囊原虫属的大鼠的氧化损伤,在增强AOM诱导的致癌作用中起重要作用。

https://cdn.ncbi.nlm.nih.gov/pmc/blobs/1ed6/5578604/513d33eaca96/pone.0183097.g012.jpg
https://cdn.ncbi.nlm.nih.gov/pmc/blobs/1ed6/5578604/fea17d81a5b5/pone.0183097.g001.jpg
https://cdn.ncbi.nlm.nih.gov/pmc/blobs/1ed6/5578604/fe5ab318bde7/pone.0183097.g002.jpg
https://cdn.ncbi.nlm.nih.gov/pmc/blobs/1ed6/5578604/1bde2d98ebfb/pone.0183097.g003.jpg
https://cdn.ncbi.nlm.nih.gov/pmc/blobs/1ed6/5578604/b2876ae3ab94/pone.0183097.g004.jpg
https://cdn.ncbi.nlm.nih.gov/pmc/blobs/1ed6/5578604/44655f10ec62/pone.0183097.g005.jpg
https://cdn.ncbi.nlm.nih.gov/pmc/blobs/1ed6/5578604/58f7bc6d8152/pone.0183097.g006.jpg
https://cdn.ncbi.nlm.nih.gov/pmc/blobs/1ed6/5578604/00a72556e48f/pone.0183097.g007.jpg
https://cdn.ncbi.nlm.nih.gov/pmc/blobs/1ed6/5578604/9b4557ddad80/pone.0183097.g008.jpg
https://cdn.ncbi.nlm.nih.gov/pmc/blobs/1ed6/5578604/10ede7a674a4/pone.0183097.g009.jpg
https://cdn.ncbi.nlm.nih.gov/pmc/blobs/1ed6/5578604/8609351fd9be/pone.0183097.g010.jpg
https://cdn.ncbi.nlm.nih.gov/pmc/blobs/1ed6/5578604/092c69ef80fc/pone.0183097.g011.jpg
https://cdn.ncbi.nlm.nih.gov/pmc/blobs/1ed6/5578604/513d33eaca96/pone.0183097.g012.jpg
https://cdn.ncbi.nlm.nih.gov/pmc/blobs/1ed6/5578604/fea17d81a5b5/pone.0183097.g001.jpg
https://cdn.ncbi.nlm.nih.gov/pmc/blobs/1ed6/5578604/fe5ab318bde7/pone.0183097.g002.jpg
https://cdn.ncbi.nlm.nih.gov/pmc/blobs/1ed6/5578604/1bde2d98ebfb/pone.0183097.g003.jpg
https://cdn.ncbi.nlm.nih.gov/pmc/blobs/1ed6/5578604/b2876ae3ab94/pone.0183097.g004.jpg
https://cdn.ncbi.nlm.nih.gov/pmc/blobs/1ed6/5578604/44655f10ec62/pone.0183097.g005.jpg
https://cdn.ncbi.nlm.nih.gov/pmc/blobs/1ed6/5578604/58f7bc6d8152/pone.0183097.g006.jpg
https://cdn.ncbi.nlm.nih.gov/pmc/blobs/1ed6/5578604/00a72556e48f/pone.0183097.g007.jpg
https://cdn.ncbi.nlm.nih.gov/pmc/blobs/1ed6/5578604/9b4557ddad80/pone.0183097.g008.jpg
https://cdn.ncbi.nlm.nih.gov/pmc/blobs/1ed6/5578604/10ede7a674a4/pone.0183097.g009.jpg
https://cdn.ncbi.nlm.nih.gov/pmc/blobs/1ed6/5578604/8609351fd9be/pone.0183097.g010.jpg
https://cdn.ncbi.nlm.nih.gov/pmc/blobs/1ed6/5578604/092c69ef80fc/pone.0183097.g011.jpg
https://cdn.ncbi.nlm.nih.gov/pmc/blobs/1ed6/5578604/513d33eaca96/pone.0183097.g012.jpg

相似文献

1
Exacerbation of colon carcinogenesis by Blastocystis sp.芽囊原虫属加剧结肠癌发生
PLoS One. 2017 Aug 31;12(8):e0183097. doi: 10.1371/journal.pone.0183097. eCollection 2017.
2
Structural shift of gut microbiota during chemo-preventive effects of epigallocatechin gallate on colorectal carcinogenesis in mice.表没食子儿茶素没食子酸酯在预防结直肠肿瘤发生中对肠道微生物群落结构的影响。
World J Gastroenterol. 2017 Dec 14;23(46):8128-8139. doi: 10.3748/wjg.v23.i46.8128.
3
Suppressive effect of RAS inhibitor manumycin A on aberrant crypt foci formation in the azoxymethane-induced rat colorectal carcinogenesis model.RAS 抑制剂马尼霉素 A 对氧化偶氮甲烷诱导的大鼠结直肠癌变模型中异常隐窝病灶形成的抑制作用。
J Gastroenterol Hepatol. 2013 Oct;28(10):1616-23. doi: 10.1111/jgh.12287.
4
Metabonomic variations associated with AOM-induced precancerous colorectal lesions and resveratrol treatment.与氧化偶氮甲烷诱导的结直肠癌前病变及白藜芦醇治疗相关的代谢组学变化
J Proteome Res. 2012 Jun 1;11(6):3436-48. doi: 10.1021/pr300284h. Epub 2012 May 22.
5
Differences Between the Intestinal Lumen Microbiota of Aberrant Crypt Foci (ACF)-Bearing and Non-bearing Rats.具有和不具有错构瘤病灶(ACF)大鼠肠腔微生物群的差异。
Dig Dis Sci. 2018 Nov;63(11):2923-2929. doi: 10.1007/s10620-018-5180-7. Epub 2018 Jul 16.
6
Suppressive effect of an inducible nitric oxide inhibitor, ONO-1714, on AOM-induced rat colon carcinogenesis.诱导型一氧化氮抑制剂ONO-1714对氧化偶氮甲烷诱导的大鼠结肠癌发生的抑制作用。
Nitric Oxide. 2006 Mar;14(2):130-6. doi: 10.1016/j.niox.2005.07.004. Epub 2005 Aug 24.
7
Green tea polyphenols inhibit colorectal aberrant crypt foci (ACF) formation and prevent oncogenic changes in dysplastic ACF in azoxymethane-treated F344 rats.绿茶多酚可抑制用氧化偶氮甲烷处理的F344大鼠的结肠异常隐窝灶(ACF)形成,并防止发育异常的ACF发生致癌性变化。
Carcinogenesis. 2008 Jan;29(1):113-9. doi: 10.1093/carcin/bgm204. Epub 2007 Sep 24.
8
Molecular changes in the early stage of colon carcinogenesis in rats treated with azoxymethane.用偶氮甲烷处理的大鼠结肠癌发生早期的分子变化。
J Exp Clin Cancer Res. 2002 Jun;21(2):203-11.
9
Modifying effects of naturally occurring products on the development of colonic aberrant crypt foci induced by azoxymethane in F344 rats.天然产物对F344大鼠中由氧化偶氮甲烷诱导的结肠异常隐窝病灶发展的调节作用。
Cancer Res. 1995 Mar 15;55(6):1277-82.
10
Inhibitory effect of caffeic acid esters on azoxymethane-induced biochemical changes and aberrant crypt foci formation in rat colon.咖啡酸酯对大鼠结肠中氧化偶氮甲烷诱导的生化变化及异常隐窝病灶形成的抑制作用。
Cancer Res. 1993 Sep 15;53(18):4182-8.

引用本文的文献

1
Global prevalence and correlation of intestinal parasitic infections in patients with colorectal cancer: a systematic review and meta-analysis.结直肠癌患者肠道寄生虫感染的全球患病率及相关性:一项系统评价和荟萃分析。
BMC Gastroenterol. 2025 Aug 13;25(1):584. doi: 10.1186/s12876-025-04144-y.
2
The Role of spp. in the Etiology of Gastrointestinal and Autoimmune Diseases.某些物种在胃肠道疾病和自身免疫性疾病病因学中的作用。 (注:原文本中“spp.”表述有误,推测可能是“species”,这里按照纠正后的理解翻译。)
Pathogens. 2025 Mar 25;14(4):313. doi: 10.3390/pathogens14040313.
3
An Update on : Possible Mechanisms of -Mediated Colorectal Cancer.

本文引用的文献

1
Subtyping of Blastocystis sp. isolated from symptomatic and asymptomatic individuals in Makkah, Saudi Arabia.沙特麦加地区有症状和无症状个体中分离的芽囊原虫的亚型分析。
Parasit Vectors. 2017 Apr 7;10(1):174. doi: 10.1186/s13071-017-2114-8.
2
Pathogenic mechanisms in Blastocystis spp. - Interpreting results from in vitro and in vivo studies.芽囊原虫属的致病机制——解读体外和体内研究结果
Parasitol Int. 2016 Dec;65(6 Pt B):772-779. doi: 10.1016/j.parint.2016.05.007. Epub 2016 May 13.
3
Immunopathological assessments of human Blastocystis spp. in experimentally infected immunocompetent and immunosuppresed mice.
关于:[具体物质]介导的结直肠癌的可能机制的最新进展。 需注意,原文中“-Mediated”处有缺失信息,我按照通用格式进行了补充翻译。
Microorganisms. 2024 Sep 22;12(9):1924. doi: 10.3390/microorganisms12091924.
4
Effect of sp. infection on hematological parameters and trace element status in children with iron-deficiency anemia.特定感染对缺铁性贫血患儿血液学参数及微量元素状况的影响。
J Parasit Dis. 2024 Sep;48(3):514-524. doi: 10.1007/s12639-024-01690-2. Epub 2024 Jun 12.
5
Systematic Review and Meta-Analysis: Epidemiology of Human spp. Infection in Malaysia.系统评价与荟萃分析:马来西亚人类感染情况的流行病学
Trop Med Infect Dis. 2023 Aug 15;8(8):415. doi: 10.3390/tropicalmed8080415.
6
The associated risk of infection in cancer: A case control study.癌症相关的感染风险:一项病例对照研究。
Front Oncol. 2023 Feb 20;13:1115835. doi: 10.3389/fonc.2023.1115835. eCollection 2023.
7
The synthesis of extracellular vesicles by the protistan parasite .原生动物寄生虫的细胞外囊泡的合成。
Front Cell Infect Microbiol. 2022 Oct 27;12:1019789. doi: 10.3389/fcimb.2022.1019789. eCollection 2022.
8
Levels of Genetic Variants Among Symptomatic Blastocystis Subtypes and their Relationship to Mucosal Immune Surveillance in the Precancerous Colons of Experimentally Infected Rats.症状性芽囊原虫亚型中的遗传变异水平及其与实验感染大鼠癌前结肠黏膜免疫监测的关系。
Acta Parasitol. 2023 Mar;68(1):70-83. doi: 10.1007/s11686-022-00628-z. Epub 2022 Nov 15.
9
Exosomes secreted by subtypes affect the expression of proinflammatory and anti-inflammatory cytokines (TNFα, IL-6, IL-10, IL-4).亚型分泌的外泌体影响促炎和抗炎细胞因子(TNFα、IL-6、IL-10、IL-4)的表达。
Front Med (Lausanne). 2022 Aug 11;9:940332. doi: 10.3389/fmed.2022.940332. eCollection 2022.
10
Are Blastocystis hominis and Cryptosporidium spp. playing a positive role in colorectal cancer risk? A systematic review and meta-analysis.人芽囊原虫和隐孢子虫属在结直肠癌风险中是否发挥积极作用?一项系统评价和荟萃分析。
Infect Agent Cancer. 2022 Jun 17;17(1):32. doi: 10.1186/s13027-022-00447-x.
人芽囊原虫在实验感染的免疫健全和免疫抑制小鼠中的免疫病理学评估
Parasitol Res. 2016 May;115(5):2061-71. doi: 10.1007/s00436-016-4951-3. Epub 2016 Feb 10.
4
Long-Term Alcohol Consumption and Breast, Upper Aero-Digestive Tract and Colorectal Cancer Risk: A Systematic Review and Meta-Analysis.长期饮酒与乳腺癌、上消化道癌和结直肠癌风险:一项系统评价与荟萃分析
Alcohol Alcohol. 2016 May;51(3):315-30. doi: 10.1093/alcalc/agv110. Epub 2015 Sep 22.
5
Differential regulation of proinflammatory cytokine expression by mitogen-activated protein kinases in macrophages in response to intestinal parasite infection.丝裂原活化蛋白激酶对巨噬细胞中促炎细胞因子表达的差异调节,以响应肠道寄生虫感染。
Infect Immun. 2014 Nov;82(11):4789-801. doi: 10.1128/IAI.02279-14. Epub 2014 Aug 25.
6
Intra-subtype variation in enteroadhesion accounts for differences in epithelial barrier disruption and is associated with metronidazole resistance in Blastocystis subtype-7.肠粘连的亚型内变异导致上皮屏障破坏的差异,并与芽囊原虫7型对甲硝唑的耐药性相关。
PLoS Negl Trop Dis. 2014 May 22;8(5):e2885. doi: 10.1371/journal.pntd.0002885. eCollection 2014 May.
7
Strain-dependent induction of human enterocyte apoptosis by blastocystis disrupts epithelial barrier and ZO-1 organization in a caspase 3- and 9-dependent manner.人芽囊原虫对人肠上皮细胞凋亡的诱导具有菌株依赖性,通过半胱天冬酶3和9依赖性方式破坏上皮屏障和紧密连接蛋白1的结构。
Biomed Res Int. 2014;2014:209163. doi: 10.1155/2014/209163. Epub 2014 Apr 14.
8
Stress exacerbates infectivity and pathogenicity of Blastocystis hominis: in vitro and in vivo evidences.应激加剧人芽囊原虫的感染性和致病性:体外和体内证据
PLoS One. 2014 May 2;9(5):e94567. doi: 10.1371/journal.pone.0094567. eCollection 2014.
9
Blastocystis sp. subtype 3 triggers higher proliferation of human colorectal cancer cells, HCT116.囊胚型 3 型触发人结直肠癌细胞(HCT116)更高的增殖。
Parasitol Res. 2013 Oct;112(10):3551-5. doi: 10.1007/s00436-013-3538-5. Epub 2013 Aug 10.
10
Risk of colorectal high-grade dysplasia and cancer in a prospective observational cohort of patients with inflammatory bowel disease.炎症性肠病患者前瞻性观察队列中结直肠高级别异型增生和癌症的风险。
Gastroenterology. 2013 Jul;145(1):166-175.e8. doi: 10.1053/j.gastro.2013.03.044. Epub 2013 Mar 27.