Suppr超能文献

在资源有限的医疗环境中对复杂结核病进行整体护理。

Holistic care of complicated tuberculosis in healthcare settings with limited resources.

作者信息

Duke Trevor, Kasa Tom Sharon, Poka Harry, Welch Henry

机构信息

Centre for International Child Health, University of Melbourne, Parkville, Victoria, Australia.

Intensive Care Unit, Royal Children's Hospital, Parkville, Victoria, Australia.

出版信息

Arch Dis Child. 2017 Dec;102(12):1161-1168. doi: 10.1136/archdischild-2017-313095. Epub 2017 Sep 14.

Abstract

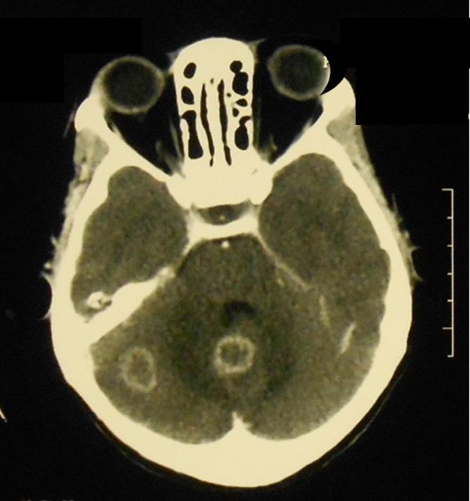
In recent years, most of the focus on improving the quality of paediatric care in low-income countries has been on improving primary care using the Integrated Management of Childhood Illness, and improving triage and emergency treatment in hospitals aimed at reducing deaths in the first 24 hours. There has been little attention paid to improving the quality of care for children with chronic or complex diseases. Children with complicated forms of tuberculosis (TB), including central nervous system and chronic pulmonary TB, provide examples of acute and chronic multisystem paediatric illnesses that commonly present to district-level and second-level referral hospitals in low-income countries. The care of these children requires a holistic clinical and continuous quality improvement approach. This includes timely decisions on the commencement of treatment often when diagnoses are not certain, identification and management of acute respiratory, neurological and nutritional complications, identification and treatment of comorbidities, supportive care, systematic monitoring of treatment and progress, rehabilitation, psychological support, ensuring adherence, and safe transition to community care. New diagnostics and imaging can assist this, but meticulous attention to clinical detail at the bedside and having a clear plan for all aspects of care that is communicated well to staff and families are essential for good outcomes. The care is multidimensional: biomedical, rehabilitative, social and economic, and multidisciplinary: medical, nursing and allied health. In the era of the Sustainable Development Goals, approaches to these dimensions of healthcare are needed within the reach of the poorest people who access district hospitals in low-income countries.

摘要

近年来,低收入国家提高儿科护理质量的工作重点大多放在通过儿童疾病综合管理改善初级护理,以及改善医院的分诊和急诊治疗以降低首24小时内的死亡率。对于改善慢性或复杂疾病患儿的护理质量,关注甚少。患有复杂形式结核病(包括中枢神经系统结核病和慢性肺结核)的儿童,是低收入国家地区级和二级转诊医院常见的急性和慢性多系统儿科疾病的例子。对这些儿童的护理需要全面的临床和持续质量改进方法。这包括在诊断往往不确定时及时决定开始治疗,识别和管理急性呼吸、神经和营养并发症,识别和治疗合并症,提供支持性护理,系统监测治疗和进展情况,进行康复治疗、心理支持,确保依从性,以及安全过渡到社区护理。新的诊断方法和成像技术可以提供帮助,但在床边细致关注临床细节,并为护理的各个方面制定清晰的计划并与工作人员和家庭进行良好沟通,对于取得良好结果至关重要。护理是多维度的:生物医学、康复、社会和经济方面;也是多学科的:医疗、护理和相关健康领域。在可持续发展目标的时代,低收入国家中前往地区医院就诊的最贫困人口需要能够获得针对医疗保健这些维度的方法。

https://cdn.ncbi.nlm.nih.gov/pmc/blobs/2375/5754861/d78811ce4424/archdischild-2017-313095f01.jpg

文献AI研究员

20分钟写一篇综述,助力文献阅读效率提升50倍。

立即体验

用中文搜PubMed

大模型驱动的PubMed中文搜索引擎

马上搜索

文档翻译

学术文献翻译模型,支持多种主流文档格式。

立即体验