• 文献检索
  • 文档翻译
  • 深度研究
  • 学术资讯
  • Suppr Zotero 插件Zotero 插件
  • 邀请有礼
  • 套餐&价格
  • 历史记录
应用&插件
Suppr Zotero 插件Zotero 插件浏览器插件Mac 客户端Windows 客户端微信小程序
定价
高级版会员购买积分包购买API积分包
服务
文献检索文档翻译深度研究API 文档MCP 服务
关于我们
关于 Suppr公司介绍联系我们用户协议隐私条款
关注我们

Suppr 超能文献

核心技术专利:CN118964589B侵权必究
粤ICP备2023148730 号-1Suppr @ 2026

文献检索

告别复杂PubMed语法,用中文像聊天一样搜索,搜遍4000万医学文献。AI智能推荐,让科研检索更轻松。

立即免费搜索

文件翻译

保留排版,准确专业,支持PDF/Word/PPT等文件格式,支持 12+语言互译。

免费翻译文档

深度研究

AI帮你快速写综述,25分钟生成高质量综述,智能提取关键信息,辅助科研写作。

立即免费体验

黄芩苷通过调节血脑屏障破坏、炎症和氧化损伤减轻小鼠蛛网膜下腔出血脑损伤。

Baicalin Attenuates Subarachnoid Hemorrhagic Brain Injury by Modulating Blood-Brain Barrier Disruption, Inflammation, and Oxidative Damage in Mice.

机构信息

Intensive Care Unit, Guizhou Province People's Hospital, Guiyang, Guizhou Province 550002, China.

出版信息

Oxid Med Cell Longev. 2017;2017:1401790. doi: 10.1155/2017/1401790. Epub 2017 Aug 24.

DOI:10.1155/2017/1401790
PMID:28912935
原文链接:https://pmc.ncbi.nlm.nih.gov/articles/PMC5587966/
Abstract

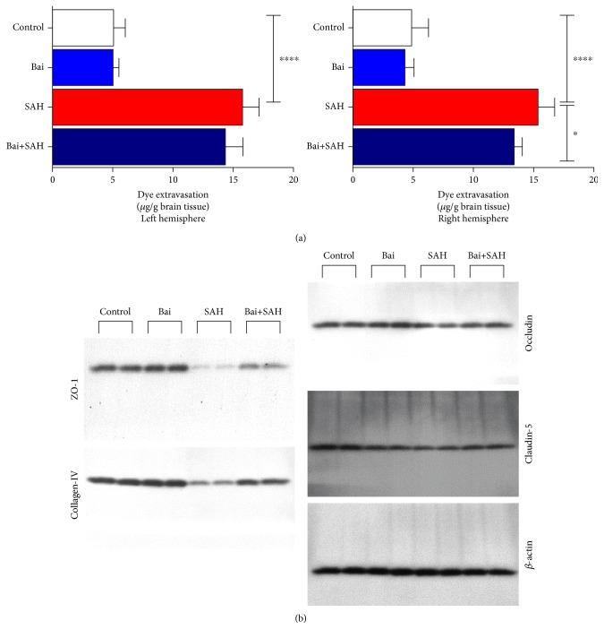
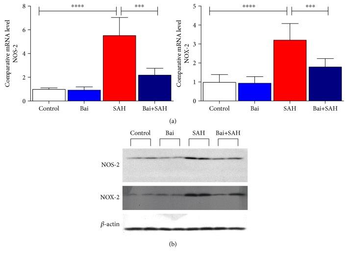
In subarachnoid hemorrhagic brain injury, the early crucial events are edema formation due to inflammatory responses and blood-brain barrier disruption. Baicalin, a flavone glycoside, has antineuroinflammatory and antioxidant properties. We examined the effect of baicalin in subarachnoid hemorrhagic brain injury. Subarachnoid hemorrhage was induced through filament perforation and either baicalin or vehicle was administered 30 min prior to surgery. Brain tissues were collected 24 hours after surgery after evaluation of neurological scores. Brain tissues were processed for water content, real-time PCR, and immunoblot analyses. Baicalin improved neurological score and brain water content. Decreased levels of tight junction proteins (occludin, claudin-5, ZO-1, and collagen IV) required for blood-brain barrier function were restored to normal level by baicalin. Real-time PCR data demonstrated that baicalin attenuated increased proinflammatory cytokine (IL-1, IL-6, and CXCL-3) production in subarachnoid hemorrhage mice. In addition to that, baicalin attenuated microglial cell secretion of IL-1 and IL-6 induced by lipopolysaccharide (100 ng/ml) dose dependently. Finally, baicalin attenuated induction of NOS-2 and NOX-2 in SAH mice at the mRNA and protein level. Thus, we demonstrated that baicalin inhibited microglial cell activation and reduced inflammation, oxidative damage, and brain edema.

摘要

在蛛网膜下腔出血性脑损伤中,早期的关键事件是由于炎症反应和血脑屏障破坏导致的水肿形成。黄芩苷是一种黄酮糖苷,具有神经抗炎和抗氧化作用。我们研究了黄芩苷对蛛网膜下腔出血性脑损伤的影响。蛛网膜下腔出血通过纤维穿孔诱导,在手术前 30 分钟给予黄芩苷或载体。手术后 24 小时评估神经评分后收集脑组织。对脑组织进行水含量、实时 PCR 和免疫印迹分析。黄芩苷可改善神经评分和脑水含量。黄芩苷可恢复血脑屏障功能所需的紧密连接蛋白(occludin、claudin-5、ZO-1 和胶原 IV)的水平,使其恢复正常。实时 PCR 数据表明,黄芩苷可减轻蛛网膜下腔出血小鼠促炎细胞因子(IL-1、IL-6 和 CXCL-3)的产生增加。此外,黄芩苷还可依剂量依赖性抑制脂多糖(100ng/ml)诱导的小胶质细胞分泌 IL-1 和 IL-6。最后,黄芩苷可在 mRNA 和蛋白水平上抑制 SAH 小鼠中 NOS-2 和 NOX-2 的诱导。因此,我们证明了黄芩苷抑制小胶质细胞激活,减少炎症、氧化损伤和脑水肿。

https://cdn.ncbi.nlm.nih.gov/pmc/blobs/477a/5587966/83f6e56d30de/OMCL2017-1401790.007.jpg
https://cdn.ncbi.nlm.nih.gov/pmc/blobs/477a/5587966/bf8461d34a2b/OMCL2017-1401790.001.jpg
https://cdn.ncbi.nlm.nih.gov/pmc/blobs/477a/5587966/f198dc041c55/OMCL2017-1401790.002.jpg
https://cdn.ncbi.nlm.nih.gov/pmc/blobs/477a/5587966/7b2f071c0dc6/OMCL2017-1401790.003.jpg
https://cdn.ncbi.nlm.nih.gov/pmc/blobs/477a/5587966/0955e1a02f77/OMCL2017-1401790.004.jpg
https://cdn.ncbi.nlm.nih.gov/pmc/blobs/477a/5587966/25bc69c7ec55/OMCL2017-1401790.005.jpg
https://cdn.ncbi.nlm.nih.gov/pmc/blobs/477a/5587966/4527b24d7824/OMCL2017-1401790.006.jpg
https://cdn.ncbi.nlm.nih.gov/pmc/blobs/477a/5587966/83f6e56d30de/OMCL2017-1401790.007.jpg
https://cdn.ncbi.nlm.nih.gov/pmc/blobs/477a/5587966/bf8461d34a2b/OMCL2017-1401790.001.jpg
https://cdn.ncbi.nlm.nih.gov/pmc/blobs/477a/5587966/f198dc041c55/OMCL2017-1401790.002.jpg
https://cdn.ncbi.nlm.nih.gov/pmc/blobs/477a/5587966/7b2f071c0dc6/OMCL2017-1401790.003.jpg
https://cdn.ncbi.nlm.nih.gov/pmc/blobs/477a/5587966/0955e1a02f77/OMCL2017-1401790.004.jpg
https://cdn.ncbi.nlm.nih.gov/pmc/blobs/477a/5587966/25bc69c7ec55/OMCL2017-1401790.005.jpg
https://cdn.ncbi.nlm.nih.gov/pmc/blobs/477a/5587966/4527b24d7824/OMCL2017-1401790.006.jpg
https://cdn.ncbi.nlm.nih.gov/pmc/blobs/477a/5587966/83f6e56d30de/OMCL2017-1401790.007.jpg

相似文献

1
Baicalin Attenuates Subarachnoid Hemorrhagic Brain Injury by Modulating Blood-Brain Barrier Disruption, Inflammation, and Oxidative Damage in Mice.黄芩苷通过调节血脑屏障破坏、炎症和氧化损伤减轻小鼠蛛网膜下腔出血脑损伤。
Oxid Med Cell Longev. 2017;2017:1401790. doi: 10.1155/2017/1401790. Epub 2017 Aug 24.
2
Hydrogen-Rich Saline Attenuated Subarachnoid Hemorrhage-Induced Early Brain Injury in Rats by Suppressing Inflammatory Response: Possible Involvement of NF-κB Pathway and NLRP3 Inflammasome.富氢盐水通过抑制炎症反应减轻大鼠蛛网膜下腔出血诱导的早期脑损伤:NF-κB通路和NLRP3炎性小体的可能参与
Mol Neurobiol. 2016 Jul;53(5):3462-3476. doi: 10.1007/s12035-015-9242-y. Epub 2015 Jun 20.
3
Melatonin attenuates inflammatory response-induced brain edema in early brain injury following a subarachnoid hemorrhage: a possible role for the regulation of pro-inflammatory cytokines.褪黑素减轻蛛网膜下腔出血后早期脑损伤炎症反应引起的脑水肿:可能通过调节促炎细胞因子发挥作用。
J Pineal Res. 2014 Oct;57(3):340-7. doi: 10.1111/jpi.12173. Epub 2014 Sep 15.
4
Minocycline Protects Against NLRP3 Inflammasome-Induced Inflammation and P53-Associated Apoptosis in Early Brain Injury After Subarachnoid Hemorrhage.米诺环素可预防蛛网膜下腔出血后早期脑损伤中NLRP3炎性小体诱导的炎症和P53相关凋亡。
Mol Neurobiol. 2016 May;53(4):2668-78. doi: 10.1007/s12035-015-9318-8. Epub 2015 Jul 5.
5
Obestatin alleviates subarachnoid haemorrhage-induced oxidative injury in rats via its anti-apoptotic and antioxidant effects.肥胖抑制素通过其抗凋亡和抗氧化作用减轻大鼠蛛网膜下腔出血诱导的氧化损伤。
Brain Inj. 2013;27(10):1181-9. doi: 10.3109/02699052.2013.804199. Epub 2013 Jul 29.
6
Curcumin attenuates blood-brain barrier disruption after subarachnoid hemorrhage in mice.姜黄素可减轻小鼠蛛网膜下腔出血后的血脑屏障破坏。
J Surg Res. 2017 Jan;207:85-91. doi: 10.1016/j.jss.2016.08.090. Epub 2016 Sep 3.
7
Fluoxetine is Neuroprotective in Early Brain Injury via its Anti-inflammatory and Anti-apoptotic Effects in a Rat Experimental Subarachnoid Hemorrhage Model.氟西汀通过其在大鼠实验性蛛网膜下腔出血模型中的抗炎和抗细胞凋亡作用具有神经保护作用。
Neurosci Bull. 2018 Dec;34(6):951-962. doi: 10.1007/s12264-018-0232-8. Epub 2018 Apr 30.
8
Inhibition of Blood-Brain Barrier Disruption by an Apolipoprotein E-Mimetic Peptide Ameliorates Early Brain Injury in Experimental Subarachnoid Hemorrhage.载脂蛋白 E 模拟肽抑制血脑屏障破坏可改善实验性蛛网膜下腔出血的早期脑损伤。
Transl Stroke Res. 2017 Jun;8(3):257-272. doi: 10.1007/s12975-016-0507-1. Epub 2016 Oct 31.
9
Baicalin Reduces Early Brain Injury after Subarachnoid Hemorrhage in Rats.黄芩苷减轻大鼠蛛网膜下腔出血后的早期脑损伤。
Chin J Integr Med. 2020 Jul;26(7):510-518. doi: 10.1007/s11655-020-3183-7. Epub 2020 Jan 23.
10
Ethyl pyruvate alleviates early brain injury following subarachnoid hemorrhage in rats.丙酮酸乙酯可减轻大鼠蛛网膜下腔出血后的早期脑损伤。
Acta Neurochir (Wien). 2016 Jun;158(6):1069-76. doi: 10.1007/s00701-016-2795-3. Epub 2016 Apr 12.

引用本文的文献

1
Phytotherapy and the Role of Bioactive Compounds in Modulating Mechanisms of Overweight and Obesity Comorbid with Depressive Symptoms-A Scoping Review of Mechanisms of Action.植物疗法及生物活性化合物在调节伴有抑郁症状的超重和肥胖机制中的作用——作用机制的范围综述
Molecules. 2025 Jun 30;30(13):2827. doi: 10.3390/molecules30132827.
2
Neuroinflammation and Natural Antidepressants: Balancing Fire with Flora.神经炎症与天然抗抑郁药:用菌群平衡“火势”
Biomedicines. 2025 May 7;13(5):1129. doi: 10.3390/biomedicines13051129.
3
Baicalin plays a protective role by regulating ferroptosis in multiple diseases.

本文引用的文献

1
Chinese Herbal Medicines Attenuate Acute Pancreatitis: Pharmacological Activities and Mechanisms.中草药减轻急性胰腺炎:药理活性与作用机制
Front Pharmacol. 2017 Apr 25;8:216. doi: 10.3389/fphar.2017.00216. eCollection 2017.
2
Poly-dimensional network comparative analysis reveals the pure pharmacological mechanism of baicalin in the targeted network of mouse cerebral ischemia.多维度网络比较分析揭示了黄芩苷在小鼠脑缺血靶向网络中的纯药理机制。
Brain Res. 2017 Jul 1;1666:70-79. doi: 10.1016/j.brainres.2017.04.008. Epub 2017 Apr 29.
3
Involvement of Nox2 and Nox4 NADPH oxidases in early brain injury after subarachnoid hemorrhage.
黄芩苷通过调节多种疾病中的铁死亡发挥保护作用。
Naunyn Schmiedebergs Arch Pharmacol. 2025 May;398(5):4837-4849. doi: 10.1007/s00210-024-03704-5. Epub 2024 Dec 11.
4
Dietary Flavonoid Intake and Risk of Mild Cognitive Impairment in the Elderly: A Case-Control Study.老年人膳食类黄酮摄入量与轻度认知障碍风险:一项病例对照研究。
Nutr Metab Insights. 2024 Oct 29;17:11786388241283779. doi: 10.1177/11786388241283779. eCollection 2024.
5
Protective effects of flavonoids against intracerebral and subarachnoid hemorrhage (Review).黄酮类化合物对脑内出血和蛛网膜下腔出血的保护作用(综述)
Exp Ther Med. 2024 Jul 4;28(3):350. doi: 10.3892/etm.2024.12639. eCollection 2024 Sep.
6
Baicalin and baicalein from Scutellaria baicalensis Georgi alleviate aberrant neuronal suppression mediated by GABA from reactive astrocytes.黄芩素和黄芩苷能减轻反应性星形胶质细胞中 GABA 介导的异常神经元抑制。
CNS Neurosci Ther. 2024 May;30(5):e14740. doi: 10.1111/cns.14740.
7
The potential of baicalin to enhance neuroprotection and mitochondrial function in a human neuronal cell model.黄芩苷增强人神经细胞模型神经保护和线粒体功能的潜力。
Mol Psychiatry. 2024 Aug;29(8):2487-2495. doi: 10.1038/s41380-024-02525-5. Epub 2024 Mar 19.
8
Rapid magnetic separation: An immunoassay platform for the SERS-based detection of subarachnoid hemorrhage biomarkers.快速磁分离:一种基于表面增强拉曼光谱的蛛网膜下腔出血生物标志物检测免疫分析平台。
Front Chem. 2022 Oct 21;10:1002351. doi: 10.3389/fchem.2022.1002351. eCollection 2022.
9
The mechanism and relevant mediators associated with neuronal apoptosis and potential therapeutic targets in subarachnoid hemorrhage.蛛网膜下腔出血中与神经元凋亡相关的机制、相关介质及潜在治疗靶点。
Neural Regen Res. 2023 Feb;18(2):244-252. doi: 10.4103/1673-5374.346542.
10
Preparation of baicalin-loaded ligand-modified nanoparticles for nose-to-brain delivery for neuroprotection in cerebral ischemia.载黄芩苷配体修饰纳米粒经鼻腔给药用于脑缺血神经保护
Drug Deliv. 2022 Dec;29(1):1282-1298. doi: 10.1080/10717544.2022.2064564.
Nox2和Nox4 NADPH氧化酶在蛛网膜下腔出血后早期脑损伤中的作用。
Free Radic Res. 2017 Mar;51(3):316-328. doi: 10.1080/10715762.2017.1311015. Epub 2017 Apr 9.
4
Neuroinflammation responses after subarachnoid hemorrhage: A review.蛛网膜下腔出血后的神经炎症反应:综述
J Clin Neurosci. 2017 Aug;42:7-11. doi: 10.1016/j.jocn.2017.02.001. Epub 2017 Mar 13.
5
Therapeutic potentials of baicalin and its aglycone, baicalein against inflammatory disorders.黄芩苷及其苷元黄芩素对炎症性疾病的治疗潜力。
Eur J Med Chem. 2017 May 5;131:68-80. doi: 10.1016/j.ejmech.2017.03.004. Epub 2017 Mar 6.
6
Pinocembrin protects hemorrhagic brain primarily by inhibiting toll-like receptor 4 and reducing M1 phenotype microglia.松属素主要通过抑制 Toll 样受体 4 和减少 M1 表型小胶质细胞来保护出血性脑。
Brain Behav Immun. 2017 Mar;61:326-339. doi: 10.1016/j.bbi.2016.12.012. Epub 2016 Dec 20.
7
Curcumin attenuates blood-brain barrier disruption after subarachnoid hemorrhage in mice.姜黄素可减轻小鼠蛛网膜下腔出血后的血脑屏障破坏。
J Surg Res. 2017 Jan;207:85-91. doi: 10.1016/j.jss.2016.08.090. Epub 2016 Sep 3.
8
Inducible nitric oxide synthase (NOS-2) in subarachnoid hemorrhage: Regulatory mechanisms and therapeutic implications.蛛网膜下腔出血中的诱导型一氧化氮合酶(NOS-2):调节机制及治疗意义
Brain Circ. 2016;2(1):8-19. doi: 10.4103/2394-8108.178541.
9
Network pharmacology dissection of multiscale mechanisms of herbal medicines in stage IV gastric adenocarcinoma treatment.网络药理学剖析草药在IV期胃腺癌治疗中的多尺度机制
Medicine (Baltimore). 2016 Aug;95(35):e4389. doi: 10.1097/MD.0000000000004389.
10
NADPH Oxidase: A Potential Target for Treatment of Stroke.烟酰胺腺嘌呤二核苷酸磷酸氧化酶:中风治疗的潜在靶点。
Oxid Med Cell Longev. 2016;2016:5026984. doi: 10.1155/2016/5026984. Epub 2016 Jan 31.