Suppr超能文献

子宫腺肌病与子宫内膜癌共存相比单纯子宫内膜癌预后较好。

Coexistence of adenomyosis uteri and endometrial cancer is associated with an improved prognosis compared with endometrial cancer only.

作者信息

Hertlein Linda, Rath Johanna, Zeder-Göss Christine, Fürst Sophie, Bayer Daniela, Trillsch Fabian, Mahner Sven, Burges Alexander, Jeschke Udo

机构信息

Department of Obstetrics and Gynecology, Ludwig-Maximilian University of Munich, D-81377 Munich, Germany.

出版信息

Oncol Lett. 2017 Sep;14(3):3302-3308. doi: 10.3892/ol.2017.6592. Epub 2017 Jul 18.

Abstract

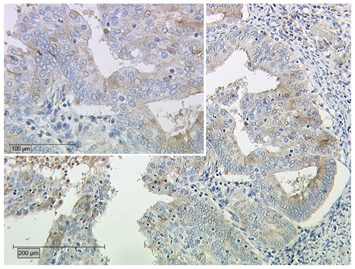
The present study aimed to identify differences in protein expression in cases of endometrioid endometrial cancer (EEC) with and without coexisting adenomyosis uteri (AM), and to evaluate the histopathological and prognostic distinctions. The total cohort included 22 patients in Group A (patients with concomitant AM and EEC) and 35 patients in Group B (patients affected only by EEC). Evaluation of the following factors was performed: Tumour grade, International Federation of Gynaecology and Obstetrics (FIGO) stage, survival, and expression of estrogen receptor β (ERβ), glycodelin and inhibin βB. Group A (AM and EEC) was associated with a lower tumour grade (G1, 90.9 vs. 45.7%; P=0.001) and a lower FIGO stage (FIGO stage I, 100 vs. 80%; P=0.002) compared with Group B (EEC only). In the survival analysis, Group A was associated with a significantly higher 5-year survival rate (95 vs. 82%; P=0.024) than Group B. In addition, the expression of ERβ in Group A was significantly higher (P<0.001), whereas the expression of glycodelin is significantly lower (P=0.028), compared with Group B. The results of the present study indicate that the presence of AM in cases of EEC may be a positive prognostic factor.

摘要

本研究旨在确定伴有和不伴有子宫腺肌病(AM)的子宫内膜样子宫内膜癌(EEC)病例中蛋白质表达的差异,并评估组织病理学和预后差异。总队列包括A组22例患者(伴有AM和EEC的患者)和B组35例患者(仅受EEC影响的患者)。对以下因素进行了评估:肿瘤分级、国际妇产科联合会(FIGO)分期、生存率以及雌激素受体β(ERβ)、糖蛋白和抑制素βB的表达。与B组(仅EEC)相比,A组(AM和EEC)的肿瘤分级较低(G1,90.9%对45.7%;P=0.001),FIGO分期较低(FIGO I期,100%对80%;P=0.002)。在生存分析中,A组的5年生存率显著高于B组(95%对82%;P=0.024)。此外,与B组相比,A组中ERβ的表达显著更高(P<0.001),而糖蛋白的表达显著更低(P=0.028)。本研究结果表明,EEC病例中AM的存在可能是一个积极的预后因素。

https://cdn.ncbi.nlm.nih.gov/pmc/blobs/dd43/5588003/9e668b5c7dab/ol-14-03-3302-g00.jpg

文献AI研究员

20分钟写一篇综述,助力文献阅读效率提升50倍。

立即体验

用中文搜PubMed

大模型驱动的PubMed中文搜索引擎

马上搜索

文档翻译

学术文献翻译模型,支持多种主流文档格式。

立即体验