Suppr超能文献

原发性骨内鳞状细胞癌——一种罕见的牙源性恶性肿瘤。

Primary intraosseous squamous cell carcinoma - A rare odontogenic malignancy.

作者信息

Thakur Arush, Tupkari Jagdish V, Joy Tabita, Gogri Ajas A

机构信息

Department of Oral Pathology and Microbiology, Government Dental College and Hospital, Mumbai, Maharashtra, India.

出版信息

J Oral Maxillofac Pathol. 2017 May-Aug;21(2):320. doi: 10.4103/jomfp.JOMFP_25_16.

Abstract

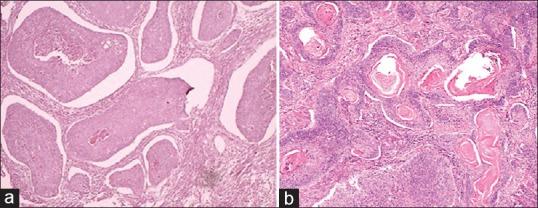
Primary intraosseous squamous cell carcinoma (PIOSCC) is a rare epithelial odontogenic malignancy affecting the jaws, especially in elderly population. It is a rare lesion, because very few cases of PIOSCC have been reported in the literature with not much of research done on this particular entity. In the present article, we report a case of PIOSCC with detailed discussion of clinical, radiographic and histopathologic features along with review of literature.

摘要

原发性骨内鳞状细胞癌(PIOSCC)是一种罕见的上皮性牙源性恶性肿瘤,主要影响颌骨,尤其在老年人群中。它是一种罕见的病变,因为文献中报道的PIOSCC病例很少,且针对这一特定实体的研究也不多。在本文中,我们报告了一例PIOSCC病例,并详细讨论了其临床、影像学和组织病理学特征,同时对文献进行了综述。

https://cdn.ncbi.nlm.nih.gov/pmc/blobs/d7fc/5596693/415763559406/JOMFP-21-320a-g001.jpg

文献检索

告别复杂PubMed语法,用中文像聊天一样搜索,搜遍4000万医学文献。AI智能推荐,让科研检索更轻松。

立即免费搜索

文件翻译

保留排版,准确专业,支持PDF/Word/PPT等文件格式,支持 12+语言互译。

免费翻译文档

深度研究

AI帮你快速写综述,25分钟生成高质量综述,智能提取关键信息,辅助科研写作。

立即免费体验