Tunthanathip Thara, Ratanalert Sanguansin, Sae-Heng Sakchai, Oearsakul Thakul
Department of Surgery, Division of Neurosurgery, Faculty of Medicine, Prince of Songkla University, Hat Yai, Songkhla 90110, Thailand.
J Neurosci Rural Pract. 2017 Aug;8(Suppl 1):S57-S65. doi: 10.4103/jnrp.jnrp_176_17.
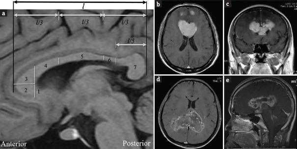
The pathologies implicate the bilateral corpus callosum that builds the butterfly pattern on axial view. These tumors have seldom been investigated for both clinical manifestations and outcome.
The objective of this study was to describe the clinical characteristics and outcomes of the butterfly tumor and to identify the predictive factors associated with survival outcome.
A retrospective study of 50 butterfly tumor was conducted between 2003 and 2016. The clinical characteristics, imaging, and outcome were assessed for the purpose of descriptive analysis. Using the Kaplan-Meier method, the median overall survival of the butterfly tumor was determined. Furthermore, the Cox proportional hazard regression was the estimated hazard ratio for death.
Diffuse large B-cell lymphoma was common of butterfly lesions. The mortality rate was 78% and overall median survival time was 16.03 months (95% confidence interval: 14.0-19.8). Using Cox proportional hazards regression, the independent prognostic factors were Karnofsky Performance Status score ≤70, splenium involvement, and butterfly glioblastoma.
The butterfly tumor is a poor prognostic disease compared with each histology subgroup. Further molecular investigation is preferable to explore genetic variations associated with these tumors.
这些病变累及双侧胼胝体,在轴位视图上形成蝴蝶样形态。对于这些肿瘤的临床表现和预后,此前鲜有研究。
本研究旨在描述蝴蝶状肿瘤的临床特征和预后,并确定与生存预后相关的预测因素。
对2003年至2016年间的50例蝴蝶状肿瘤进行回顾性研究。评估临床特征、影像学表现及预后,以进行描述性分析。采用Kaplan-Meier法确定蝴蝶状肿瘤的中位总生存期。此外,使用Cox比例风险回归分析估计死亡风险比。
弥漫性大B细胞淋巴瘤是蝴蝶状病变中最常见的类型。死亡率为78%,总体中位生存时间为16.03个月(95%置信区间:14.0 - 19.8)。通过Cox比例风险回归分析,独立预后因素为卡诺夫斯基功能状态评分≤70、脾受累以及蝴蝶状胶质母细胞瘤。
与各组织学亚组相比,蝴蝶状肿瘤预后较差。进一步进行分子研究以探索与这些肿瘤相关的基因变异较为可取。