• 文献检索
  • 文档翻译
  • 深度研究
  • 学术资讯
  • Suppr Zotero 插件Zotero 插件
  • 邀请有礼
  • 套餐&价格
  • 历史记录
应用&插件
Suppr Zotero 插件Zotero 插件浏览器插件Mac 客户端Windows 客户端微信小程序
定价
高级版会员购买积分包购买API积分包
服务
文献检索文档翻译深度研究API 文档MCP 服务
关于我们
关于 Suppr公司介绍联系我们用户协议隐私条款
关注我们

Suppr 超能文献

核心技术专利:CN118964589B侵权必究
粤ICP备2023148730 号-1Suppr @ 2026

文献检索

告别复杂PubMed语法,用中文像聊天一样搜索,搜遍4000万医学文献。AI智能推荐,让科研检索更轻松。

立即免费搜索

文件翻译

保留排版,准确专业,支持PDF/Word/PPT等文件格式,支持 12+语言互译。

免费翻译文档

深度研究

AI帮你快速写综述,25分钟生成高质量综述,智能提取关键信息,辅助科研写作。

立即免费体验

弥漫性星形细胞瘤与一种不寻常表型的诊断困境:一例报告。

Diffuse astrocytoma and the diagnostic dilemma of an unusual phenotype: A case report.

作者信息

Alshoabi Sultan A, Alareqi Amal A, Omer Awatef M, Suliman Awadia G, Daqqaq Tareef S

机构信息

Department of Diagnostic Radiology Technology, College of Applied Medical Sciences, Taibah University, Almadinah Almunawwarah, 42312, Kingdom of Saudi Arabia.

Department of Radiology, University of Science and Technology Hospital (USTH), Sana'a, Republic of Yemen.

出版信息

Radiol Case Rep. 2020 Dec 3;16(2):319-326. doi: 10.1016/j.radcr.2020.11.023. eCollection 2021 Feb.

DOI:10.1016/j.radcr.2020.11.023
PMID:33304444
原文链接:https://pmc.ncbi.nlm.nih.gov/articles/PMC7718471/
Abstract

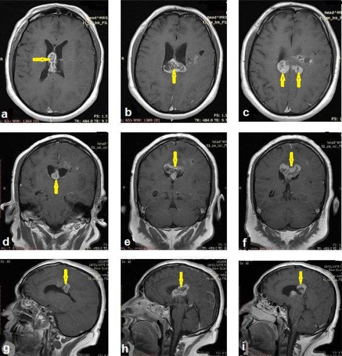
Diffuse astrocytoma is an infiltrating type of glioma (World Health Organization grade II), which even with histopathology, is difficult to diagnose. Magnetic resonance imaging (MRI) is the cornerstone for diagnoses and follow-up of brain gliomas. This report describes a case of diffuse astrocytoma in a 48-year-old man who presented with sudden right-sided weakness and repeated convulsive attacks. On brain computed tomography, the case was diagnosed and treated as an acute infarction. Ten days later, the patient returned with a total loss of consciousness. Brain MRI images revealed an irregularly outlined lesion involving the splenium of the corpus callosum that extended into the left periventricular parietal lobe of the brain with cystic foci in the septum pellucidum. Contrast-enhanced and new sequences of MRI was helpful in approach to diagnosis because of its superior tissue characterization. The histopathology results ultimately confirmed the diagnosis of diffuse astrocytoma. The patient died postoperatively.

摘要

弥漫性星形细胞瘤是一种浸润性胶质瘤(世界卫生组织二级),即使通过组织病理学检查也难以诊断。磁共振成像(MRI)是脑胶质瘤诊断和随访的基石。本报告描述了一例48岁男性弥漫性星形细胞瘤病例,该患者表现为突发右侧肢体无力和反复惊厥发作。在脑部计算机断层扫描中,该病例被诊断并当作急性梗死进行治疗。十天后,患者再次就诊时已完全失去意识。脑部MRI图像显示胼胝体压部有一个轮廓不规则的病变,延伸至左侧脑室旁顶叶,透明隔内有囊性病灶。MRI的增强扫描和新序列因其出色的组织特征有助于诊断。组织病理学结果最终确诊为弥漫性星形细胞瘤。患者术后死亡。

https://cdn.ncbi.nlm.nih.gov/pmc/blobs/506c/7718471/501bfe7d994f/gr7.jpg
https://cdn.ncbi.nlm.nih.gov/pmc/blobs/506c/7718471/d8ce2a8f5270/gr1.jpg
https://cdn.ncbi.nlm.nih.gov/pmc/blobs/506c/7718471/5e1f3f0929fe/gr2.jpg
https://cdn.ncbi.nlm.nih.gov/pmc/blobs/506c/7718471/aadfccdaec5e/gr3.jpg
https://cdn.ncbi.nlm.nih.gov/pmc/blobs/506c/7718471/12e80ea1cff4/gr4.jpg
https://cdn.ncbi.nlm.nih.gov/pmc/blobs/506c/7718471/e47c52ceb36c/gr5.jpg
https://cdn.ncbi.nlm.nih.gov/pmc/blobs/506c/7718471/5032001f51e2/gr6.jpg
https://cdn.ncbi.nlm.nih.gov/pmc/blobs/506c/7718471/501bfe7d994f/gr7.jpg
https://cdn.ncbi.nlm.nih.gov/pmc/blobs/506c/7718471/d8ce2a8f5270/gr1.jpg
https://cdn.ncbi.nlm.nih.gov/pmc/blobs/506c/7718471/5e1f3f0929fe/gr2.jpg
https://cdn.ncbi.nlm.nih.gov/pmc/blobs/506c/7718471/aadfccdaec5e/gr3.jpg
https://cdn.ncbi.nlm.nih.gov/pmc/blobs/506c/7718471/12e80ea1cff4/gr4.jpg
https://cdn.ncbi.nlm.nih.gov/pmc/blobs/506c/7718471/e47c52ceb36c/gr5.jpg
https://cdn.ncbi.nlm.nih.gov/pmc/blobs/506c/7718471/5032001f51e2/gr6.jpg
https://cdn.ncbi.nlm.nih.gov/pmc/blobs/506c/7718471/501bfe7d994f/gr7.jpg

相似文献

1
Diffuse astrocytoma and the diagnostic dilemma of an unusual phenotype: A case report.弥漫性星形细胞瘤与一种不寻常表型的诊断困境:一例报告。
Radiol Case Rep. 2020 Dec 3;16(2):319-326. doi: 10.1016/j.radcr.2020.11.023. eCollection 2021 Feb.
2
[A case of adult pilocytic astrocytoma in the right temporal lobe].[一例右侧颞叶成人毛细胞型星形细胞瘤]
No Shinkei Geka. 1991 Jul;19(7):689-94.
3
[Diffuse Astrocytoma with Pilomyxoid Features Presenting as Intratumoral Hemorrhage:A Case Report].[以瘤内出血为表现的具有毛黏液样特征的弥漫性星形细胞瘤:一例报告]
No Shinkei Geka. 2018 Dec;46(12):1073-1079. doi: 10.11477/mf.1436203870.
4
Diffusion-weighted imaging demonstrates transient cytotoxic edema involving the corpus callosum in a patient with diffuse brain injury.扩散加权成像显示一名弥漫性脑损伤患者胼胝体出现短暂性细胞毒性水肿。
Clin Neurol Neurosurg. 2000 Sep;102(3):135-9. doi: 10.1016/s0303-8467(00)00079-2.
5
[Values of diffusion-weighted magnetic resonance imaging in the early detection of periventricular leukomalacia in preterm infants].[扩散加权磁共振成像在早产儿脑室周围白质软化早期检测中的价值]
Zhonghua Er Ke Za Zhi. 2008 May;46(5):354-8.
6
Magnetic resonance spectroscopy detection of high lipid levels in intraaxial tumors without central necrosis: a characteristic of malignant lymphoma.磁共振波谱检测无中心坏死的脑内肿瘤中的高脂水平:恶性淋巴瘤的一个特征
J Neurosurg. 2015 Jun;122(6):1370-9. doi: 10.3171/2014.9.JNS14106. Epub 2015 Mar 6.
7
Reversible post-traumatic bilateral extensive restricted diffusion of the brain. A case study and review of the literature.创伤后可逆性双侧大脑广泛弥散受限。病例报告及文献综述。
Brain Inj. 2009 May;23(5):466-72. doi: 10.1080/02699050902841912.
8
Perfusion and diffusion MRI signatures in histologic and genetic subtypes of WHO grade II-III diffuse gliomas.世界卫生组织II - III级弥漫性胶质瘤组织学和基因亚型中的灌注及扩散磁共振成像特征
J Neurooncol. 2017 Aug;134(1):177-188. doi: 10.1007/s11060-017-2506-9. Epub 2017 May 25.
9
A Case of Leptomeningeal Dissemination of Pilocytic Astrocytoma in a Child.儿童毛细胞型星形细胞瘤脑膜播散 1 例
Can J Neurol Sci. 2017 Sep;44(5):607-610. doi: 10.1017/cjn.2017.22. Epub 2017 Apr 27.
10
[Multifocal gliomas in cerebral hemisphere associated with von Recklinghausen's disease: case report].[大脑半球多灶性胶质瘤伴冯·雷克林霍增氏病:病例报告]
No Shinkei Geka. 1989 Feb;17(2):197-202.

引用本文的文献

1
Novel Application of Ion Mobility Mass Spectrometry Reveals Complex Ganglioside Landscape in Diffuse Astrocytoma Peritumoral Regions.离子淌度质谱的新应用揭示弥漫性星形细胞瘤瘤周区域复杂的神经节苷脂图谱。
Int J Mol Sci. 2025 Aug 29;26(17):8433. doi: 10.3390/ijms26178433.
2
Splenial lesions of the corpus callosum: a comprehensive study on etiology, clinical presentation, radiological features, and prognostic insights.胼胝体压部病变:关于病因、临床表现、影像学特征及预后见解的综合研究
Neurol Sci. 2025 Jul 17. doi: 10.1007/s10072-025-08352-y.
3
Gliomas Infiltrating the Corpus Callosum: A Systematic Review of the Literature.

本文引用的文献

1
Detection of occult neoplastic infiltration in the corpus callosum and prediction of overall survival in patients with glioblastoma using diffusion tensor imaging.使用弥散张量成像检测胼胝体隐匿性肿瘤浸润并预测胶质母细胞瘤患者的总生存期。
Eur J Radiol. 2019 Mar;112:106-111. doi: 10.1016/j.ejrad.2019.01.015. Epub 2019 Jan 15.
2
Astrocytoma progression scoring system based on the WHO 2016 criteria.基于 WHO 2016 标准的星形细胞瘤进展评分系统。
Sci Rep. 2019 Jan 14;9(1):96. doi: 10.1038/s41598-018-36471-4.
3
Improved detectability of acute and subacute brainstem infarctions by combining standard axial and thin-sliced sagittal DWI.
侵犯胼胝体的胶质瘤:文献系统综述
Cancers (Basel). 2022 May 19;14(10):2507. doi: 10.3390/cancers14102507.
标准轴位与薄层矢状面 DWI 联合应用可提高急性和亚急性脑干梗死的检出率。
PLoS One. 2018 Jul 3;13(7):e0200092. doi: 10.1371/journal.pone.0200092. eCollection 2018.
4
Clinical applications of diffusion weighted imaging in neuroradiology.扩散加权成像在神经放射学中的临床应用。
Insights Imaging. 2018 Aug;9(4):535-547. doi: 10.1007/s13244-018-0624-3. Epub 2018 May 30.
5
Butterfly Tumor of the Corpus Callosum: Clinical Characteristics, Diagnosis, and Survival Analysis.胼胝体部蝶形肿瘤:临床特征、诊断及生存分析
J Neurosci Rural Pract. 2017 Aug;8(Suppl 1):S57-S65. doi: 10.4103/jnrp.jnrp_176_17.
6
Advanced magnetic resonance imaging in glioblastoma: a review.胶质母细胞瘤的高级磁共振成像:综述
Chin Clin Oncol. 2017 Aug;6(4):40. doi: 10.21037/cco.2017.06.28.
7
Developmentally regulated signaling pathways in glioma invasion.发育调控信号通路在胶质瘤侵袭中的作用。
Cell Mol Life Sci. 2018 Feb;75(3):385-402. doi: 10.1007/s00018-017-2608-8. Epub 2017 Aug 18.
8
Splenial Lesions of the Corpus Callosum: Disease Spectrum and MRI Findings.胼胝体压部病变:疾病谱与MRI表现
Korean J Radiol. 2017 Jul-Aug;18(4):710-721. doi: 10.3348/kjr.2017.18.4.710. Epub 2017 May 19.
9
Prognostic Value of Diffusion-Weighted Imaging (DWI) Apparent Diffusion Coefficient (ADC) in Patients with Hyperacute Cerebral Infarction Receiving rt-PA Intravenous Thrombolytic Therapy.扩散加权成像(DWI)表观扩散系数(ADC)在接受rt-PA静脉溶栓治疗的超急性脑梗死患者中的预后价值
Med Sci Monit. 2016 Nov 19;22:4438-4445. doi: 10.12659/msm.897149.
10
Choline-to-N-acetyl aspartate and lipids-lactate-to-creatine ratios together with age assemble a significant Cox's proportional-hazards regression model for prediction of survival in high-grade gliomas.胆碱与N-乙酰天门冬氨酸的比值以及脂质与乳酸与肌酸的比值,再结合年龄,构成了一个显著的Cox比例风险回归模型,用于预测高级别胶质瘤的生存率。
Br J Radiol. 2016 Nov;89(1067):20150502. doi: 10.1259/bjr.20150502. Epub 2016 Sep 14.