Suppr超能文献

山柰酚对高糖诱导人脐静脉内皮细胞损伤的保护作用及其机制研究

Essential Oil from Fructus Alpiniae Zerumbet Protects Human Umbilical Vein Endothelial Cells In Vitro from Injury Induced by High Glucose Levels by Suppressing Nuclear Transcription Factor-Kappa B Signaling.

机构信息

Department of Cardiovascular Medicine, Affiliated Hospital of Guizhou Medical University, Guiyang, Guizhou, China (mainland).

The High Educational Key Laboratory of Guizhou Province for Natural Medicinal Pharmacology and Drugability, Guizhou Medical University, Huaxi University Town, Guiyang, Guizhou, China (mainland).

出版信息

Med Sci Monit. 2017 Oct 4;23:4760-4767. doi: 10.12659/msm.906463.

Abstract

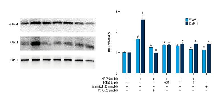
BACKGROUND In China, the essential oil of the fruit, Fructus Alpiniae zerumbet (FAZ), is used to treat cardiovascular diseases. Recent in vitro studies have shown that the essential oil of FAZ (EOFAZ) can protect endothelial cells from injury. Because of the prevalence of diabetes mellitus and its effects on the cardiovascular system, the aim of this study was to investigate the mechanism of the effects of EOFAZ on human umbilical vein endothelial cells (HUVECs) treated with high levels of glucose in vitro. MATERIAL AND METHODS The lactate dehydrogenase (LDH) leakage assay was used to detect HUVEC injury. Tumor necrosis factor-alpha (TNF-α), interleukin-8 (IL-8), and nuclear transcription factor-kappa B (NF-κB) p65 subunit DNA-binding activity was detected. The expression of NF-κB pathway-associated proteins, intercellular adhesion molecule-1 (ICAM-1), and vascular cell adhesion molecule-1 (VCAM-1) was studied by Western blotting. The cellular location of NF-κB in HUVECs was evaluated using immunofluorescence. RESULTS Cell viability and LDH leakage assays showed that high glucose-induced HUVEC injury was reduced by EOFAZ. High glucose-induced secretion of IL-8, TNF-α, ICAM-1, and VCAM-1 was reduced, and translocation of the p65 subunit of NF-κB to the endothelial cell nucleus was inhibited by EOFAZ. Western blotting confirmed that EOFAZ blocked the activation of NF-κB induced by high glucose levels. EOFAZ reduced high glucose-induced p65/DNA binding to inhibit NF-κB activation. CONCLUSIONS The findings of this in vitro study showed that treatment of HUVECs with EOFAZ had a protective role against the effects of high glucose levels via the NF-κB signaling pathway.

摘要

背景

在中国,药用姜科植物益智的果实挥发油(FAZ)被用于治疗心血管疾病。最近的体外研究表明,FAZ 挥发油(EOFAZ)可以保护内皮细胞免受损伤。由于糖尿病的流行及其对心血管系统的影响,本研究旨在探讨 EOFAZ 对体外高糖处理的人脐静脉内皮细胞(HUVEC)的作用机制。

材料和方法

采用乳酸脱氢酶(LDH)漏出实验检测 HUVEC 损伤;检测肿瘤坏死因子-α(TNF-α)、白细胞介素-8(IL-8)和核转录因子-κB(NF-κB)p65 亚基 DNA 结合活性;采用 Western blot 检测 NF-κB 通路相关蛋白、细胞间黏附分子-1(ICAM-1)和血管细胞黏附分子-1(VCAM-1)的表达;采用免疫荧光法评价 NF-κB 在 HUVEC 中的细胞定位。

结果

细胞活力和 LDH 漏出实验表明,EOFAZ 可减轻高糖诱导的 HUVEC 损伤;高糖诱导的 IL-8、TNF-α、ICAM-1 和 VCAM-1 分泌减少,NF-κB p65 亚基向内皮细胞核易位被 EOFAZ 抑制;Western blot 证实 EOFAZ 阻断了高糖水平诱导的 NF-κB 激活;EOFAZ 减少了高糖诱导的 p65/DNA 结合,从而抑制 NF-κB 激活。

结论

这项体外研究的结果表明,EOFAZ 处理 HUVEC 可通过 NF-κB 信号通路发挥对高糖水平的保护作用。

https://cdn.ncbi.nlm.nih.gov/pmc/blobs/99c8/5637625/52b92e3815f3/medscimonit-23-4760-g001.jpg

文献检索

告别复杂PubMed语法,用中文像聊天一样搜索,搜遍4000万医学文献。AI智能推荐,让科研检索更轻松。

立即免费搜索

文件翻译

保留排版,准确专业,支持PDF/Word/PPT等文件格式,支持 12+语言互译。

免费翻译文档

深度研究

AI帮你快速写综述,25分钟生成高质量综述,智能提取关键信息,辅助科研写作。

立即免费体验