Suppr超能文献

一名糖尿病患者双侧视盘玻璃膜疣,酷似糖尿病性视乳头病变,为视盘水肿的病因。

Bilateral disc drusen in a diabetic patient simulating diabetic papillopathy as a cause of disc edema.

作者信息

Chawla Rohan, Nair Soman, Venkatesh Pradeep, Garg Satpal, Mittal Kanhaiya

机构信息

Dr. Rajendra Prasad Centre for Ophthalmic Sciences, All India Institute of Medical Sciences, New Delhi, India.

出版信息

Indian J Ophthalmol. 2017 Oct;65(10):1051-1053. doi: 10.4103/ijo.IJO_355_17.

Abstract

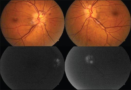
Bilateral optic disc edema in a diabetic patient may be caused by diabetic papillopathy. We herein report on a patient with bilateral optic disc drusen simulating diabetic papillopathy. A 55-year-old patient with type 2 diabetes presented with decreased vision of 1-month. Diabetic papillopathy was initially considered as there was disc edema in both eyes with focal hemorrhages at the disc margin and mild visual loss. Ultrasound of the optic nerve head revealed optic disc drusen in both eyes and this was also confirmed by the control photograph. Optic nerve head drusen should be considered in the differential diagnosis of a diabetic patient presenting with disc edema.

摘要

糖尿病患者双侧视盘水肿可能由糖尿病性视乳头病变引起。我们在此报告一例双侧视盘玻璃疣酷似糖尿病性视乳头病变的患者。一名55岁2型糖尿病患者出现视力下降1个月。最初考虑为糖尿病性视乳头病变,因为双眼视盘水肿,视盘边缘有局灶性出血,且视力轻度下降。视神经乳头超声检查显示双眼视盘玻璃疣,对照照片也证实了这一点。对于出现视盘水肿的糖尿病患者,鉴别诊断时应考虑视神经乳头玻璃疣。

https://cdn.ncbi.nlm.nih.gov/pmc/blobs/2ff7/5678315/25856f36eeba/IJO-65-1051-g001.jpg

文献AI研究员

20分钟写一篇综述,助力文献阅读效率提升50倍。

立即体验

用中文搜PubMed

大模型驱动的PubMed中文搜索引擎

马上搜索

文档翻译

学术文献翻译模型,支持多种主流文档格式。

立即体验