Suppr超能文献

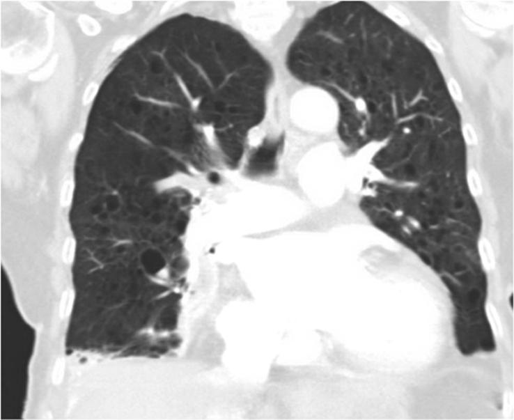
淋巴管平滑肌瘤病患者的漏出性乳糜胸。

Transudative chylothorax in a patient with lymphangioleiomyomatosis.

作者信息

Noriega Aldave Adrian Pedro, Leslie John W

机构信息

Department of Pulmonary and Critical Care Medicine, Carilion Clinic - Virginia Tech Carilion, Roanoke, VA, USA.

Carilion Clinic Pulmonary Medicine - New River Valley, USA.

出版信息

Respir Med Case Rep. 2017 Sep 30;22:271-273. doi: 10.1016/j.rmcr.2017.09.005. eCollection 2017.

Abstract

Transudative chylothorax is a rare type of pleural effusion. It has been described to be present in the setting of liver cirrhosis, heart failure, amyloidosis, nephrotic syndrome, superior vena cava thrombosis, sclerosing mesenteritis and heart failure. We present the case of an 86-year-old woman with a right-side transudative chylothorax associated with heart failure and lymphangioleiomyomatosis.

摘要

漏出性乳糜胸是一种罕见的胸腔积液类型。据描述,它可出现在肝硬化、心力衰竭、淀粉样变性、肾病综合征、上腔静脉血栓形成、硬化性肠系膜炎和心力衰竭等情况下。我们报告一例86岁女性患者,其右侧漏出性乳糜胸与心力衰竭及淋巴管平滑肌瘤病相关。

https://cdn.ncbi.nlm.nih.gov/pmc/blobs/2c91/5643078/0e03b25eba23/gr1.jpg

文献AI研究员

20分钟写一篇综述,助力文献阅读效率提升50倍。

立即体验

用中文搜PubMed

大模型驱动的PubMed中文搜索引擎

马上搜索

文档翻译

学术文献翻译模型,支持多种主流文档格式。

立即体验