Suppr超能文献

甲基丙二酸血症CblC亚型所致非典型溶血尿毒综合征:一例报告及文献复习

Atypical hemolytic uremic syndrome induced by CblC subtype of methylmalonic academia: A case report and literature review.

作者信息

Chen Minguang, Zhuang Jieqiu, Yang JianHuan, Wang Dexuan, Yang Qing

机构信息

Department of Nephrology, The Second Affiliated Hospital and Yuying Children's Hospital of Wenzhou Medical University, Wenzhou, Zhejiang, China.

出版信息

Medicine (Baltimore). 2017 Oct;96(43):e8284. doi: 10.1097/MD.0000000000008284.

Abstract

RATIONALE

Methylmalonic acidemia (MMA) is a common organic acidemia, mainly due to methylmalonyl-CoA mutase (MCM) or its coenzyme cobalamin (VitB12) metabolic disorders. Cobalamin C (CblC) type is the most frequent inborn error of cobalamin metabolism; it can develop symptoms in childhood and often combine multisystem damage, which leads to methylmalonic acid, propionic acid, methyl citrate, and other metabolites abnormal accumulation, causing nerve, liver, kidney, bone marrow, and other organ damage.

PATIENT CONCERNS

A 4-year-old girl presented with paleness, fatigue, severe normochromic anemia, and acute kidney injury.

DIAGNOSIS

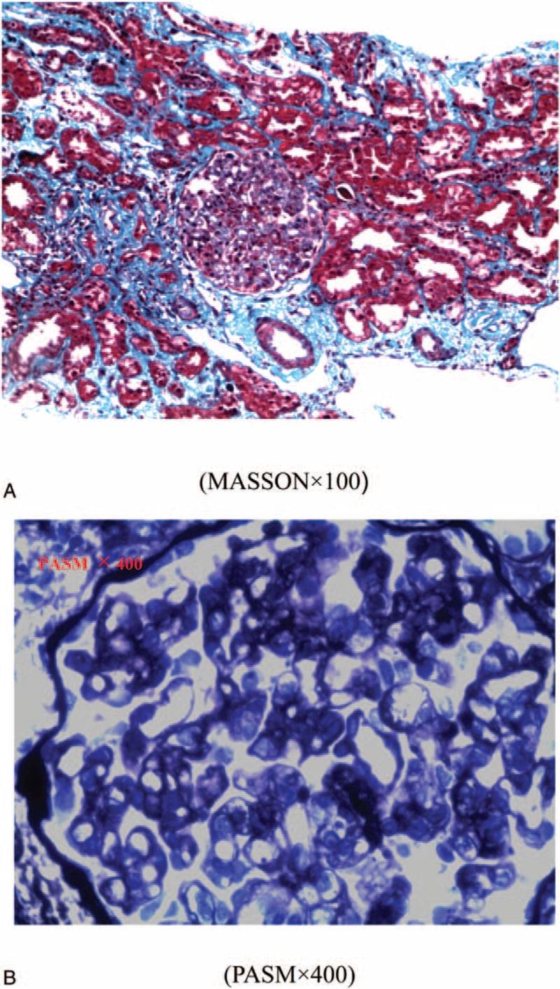
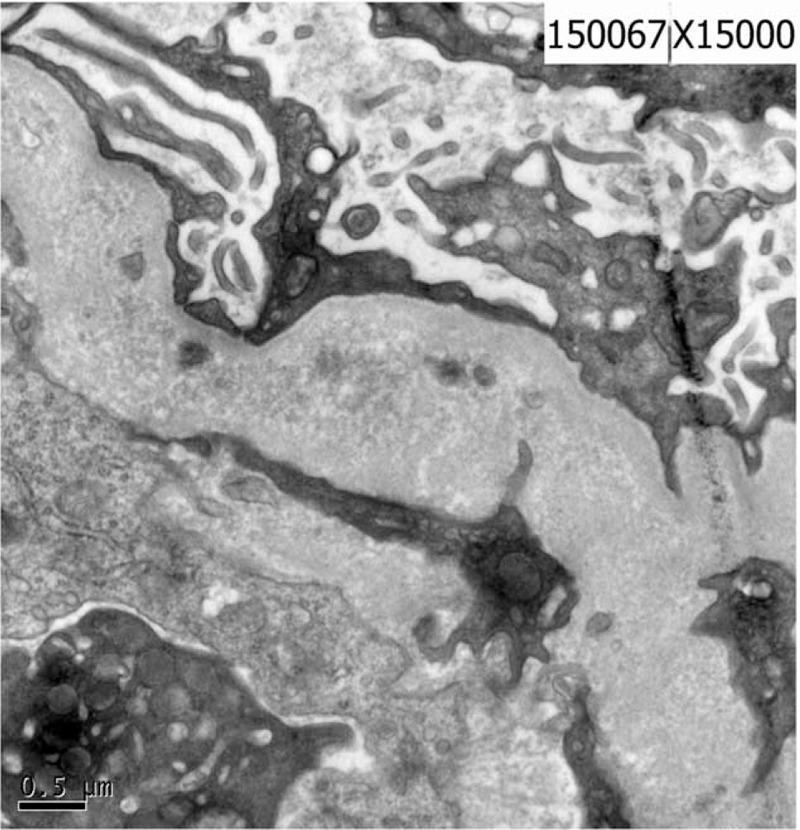
Based on severe normochromic anemia and acute kidney injury, renal biopsy showed membranous proliferative glomerular lesions and thrombotic microvascular disease, supporting the diagnosis of aHUS. Although the serum vitamin B12 was normal, further investigation found the concentration of urinary methylmalonic acid and serum homocysteine increased obviously, genetic analysis revealed a heterozygous MMACHC mutation (exonl: c. 80A >G, c. 609G >A). The final diagnosis was aHUS induced by inherited methylmalonic acidemia (MMACHC heterozygous mutation exonl: c. 80A >G, c. 609G >A).

INTERVENTIONS

The patient was treated with a 1mg vitamin B12 intramuscular injection daily for 4 days after which the dose was then adjusted to a 1mg intramuscular injection twice a week. At the same time, the girl was given levocarnitine, betaine, folic acid, along with supportive treatment.

OUTCOMES

After treated by vitamin B12 for 10 days, the patient condition significantly improved, Follow-up results showed complete recovery of hemoglobin and renal function.

LESSONS

Although the majority of MMA onset from neurological damage, our case illustrates that partial CblC-type MMA can onset with severe metabolic aHUS. On the basis of chronic thrombotic microangiopathy (TMA)-induced renal damage, it can be complicated by acute hemolytic lesions. MMA should be considered in those patients with unclear microangiopathic hemolytic anemia accompany significant megaloblastic degeneration in bone marrow. We should pay attention to the causes and adopt a reasonable treatment strategy.

摘要

理论依据

甲基丙二酸血症(MMA)是一种常见的有机酸血症,主要由于甲基丙二酰辅酶A变位酶(MCM)或其辅酶钴胺素(维生素B12)代谢紊乱所致。钴胺素C(CblC)型是钴胺素代谢中最常见的先天性错误;它可在儿童期出现症状,常合并多系统损害,导致甲基丙二酸、丙酸、甲基柠檬酸等代谢产物异常蓄积,引起神经、肝脏、肾脏、骨髓等器官损害。

患者情况

一名4岁女孩出现面色苍白、乏力、重度正细胞正色素性贫血及急性肾损伤。

诊断

基于重度正细胞正色素性贫血及急性肾损伤,肾活检显示膜增生性肾小球病变及血栓性微血管病,支持非典型溶血尿毒症综合征(aHUS)的诊断。尽管血清维生素B12正常,但进一步检查发现尿甲基丙二酸浓度及血清同型半胱氨酸明显升高,基因分析显示存在杂合性MMACHC突变(外显子1:c.80A>G,c.609G>A)。最终诊断为遗传性甲基丙二酸血症(MMACHC杂合突变外显子1:c.80A>G,c.609G>A)诱发的aHUS。

干预措施

患者每日接受1mg维生素B12肌肉注射,共4天,之后剂量调整为每周两次,每次1mg肌肉注射。同时,给予该女孩左卡尼汀、甜菜碱、叶酸及支持治疗。

结果

维生素B12治疗10天后,患者病情明显改善,随访结果显示血红蛋白及肾功能完全恢复。

经验教训

尽管大多数MMA起病于神经损害,但我们的病例表明,部分CblC型MMA可表现为严重的代谢性aHUS。在慢性血栓性微血管病(TMA)所致肾损害基础上,可并发急性溶血性病变。对于微血管病性溶血性贫血病因不明且伴有骨髓明显巨幼样变的患者,应考虑MMA。我们应关注病因并采取合理的治疗策略。

https://cdn.ncbi.nlm.nih.gov/pmc/blobs/7a45/5671830/fe318abbcc57/medi-96-e8284-g001.jpg

文献检索

告别复杂PubMed语法,用中文像聊天一样搜索,搜遍4000万医学文献。AI智能推荐,让科研检索更轻松。

立即免费搜索

文件翻译

保留排版,准确专业,支持PDF/Word/PPT等文件格式,支持 12+语言互译。

免费翻译文档

深度研究

AI帮你快速写综述,25分钟生成高质量综述,智能提取关键信息,辅助科研写作。

立即免费体验