• 文献检索
  • 文档翻译
  • 深度研究
  • 学术资讯
  • Suppr Zotero 插件Zotero 插件
  • 邀请有礼
  • 套餐&价格
  • 历史记录
应用&插件
Suppr Zotero 插件Zotero 插件浏览器插件Mac 客户端Windows 客户端微信小程序
定价
高级版会员购买积分包购买API积分包
服务
文献检索文档翻译深度研究API 文档MCP 服务
关于我们
关于 Suppr公司介绍联系我们用户协议隐私条款
关注我们

Suppr 超能文献

核心技术专利:CN118964589B侵权必究
粤ICP备2023148730 号-1Suppr @ 2026

文献检索

告别复杂PubMed语法,用中文像聊天一样搜索,搜遍4000万医学文献。AI智能推荐,让科研检索更轻松。

立即免费搜索

文件翻译

保留排版,准确专业,支持PDF/Word/PPT等文件格式,支持 12+语言互译。

免费翻译文档

深度研究

AI帮你快速写综述,25分钟生成高质量综述,智能提取关键信息,辅助科研写作。

立即免费体验

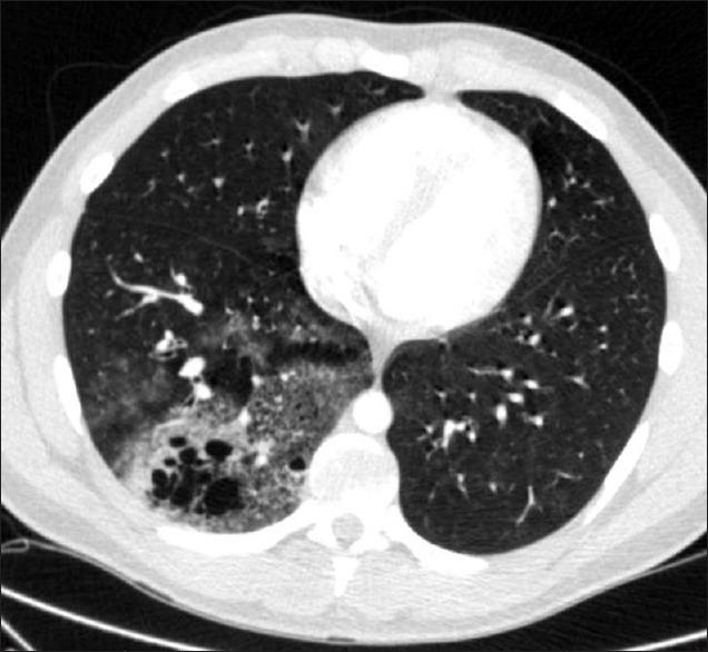
Hemoptysis from intralobar pulmonary sequestration in an adult patient.

作者信息

Kundu Amartya, Ghosh Sreeparna, Sen Parijat

机构信息

Department of Medicine, University of Massachusetts Medical School, Worcester, MA, USA.

Department of Medicine, Interfaith Medical Center, Brooklyn, NY, USA.

出版信息

Lung India. 2017 Nov-Dec;34(6):568-570. doi: 10.4103/0970-2113.217565.

DOI:10.4103/0970-2113.217565
PMID:29099008
原文链接:https://pmc.ncbi.nlm.nih.gov/articles/PMC5684820/
Abstract
摘要
https://cdn.ncbi.nlm.nih.gov/pmc/blobs/fb14/5684820/fae7f82f816b/LI-34-568-g003.jpg
https://cdn.ncbi.nlm.nih.gov/pmc/blobs/fb14/5684820/142aaf7b7048/LI-34-568-g001.jpg
https://cdn.ncbi.nlm.nih.gov/pmc/blobs/fb14/5684820/608c277fac21/LI-34-568-g002.jpg
https://cdn.ncbi.nlm.nih.gov/pmc/blobs/fb14/5684820/fae7f82f816b/LI-34-568-g003.jpg
https://cdn.ncbi.nlm.nih.gov/pmc/blobs/fb14/5684820/142aaf7b7048/LI-34-568-g001.jpg
https://cdn.ncbi.nlm.nih.gov/pmc/blobs/fb14/5684820/608c277fac21/LI-34-568-g002.jpg
https://cdn.ncbi.nlm.nih.gov/pmc/blobs/fb14/5684820/fae7f82f816b/LI-34-568-g003.jpg

相似文献

1
Hemoptysis from intralobar pulmonary sequestration in an adult patient.一名成年患者因叶内型肺隔离症出现咯血。
Lung India. 2017 Nov-Dec;34(6):568-570. doi: 10.4103/0970-2113.217565.
2
Transarterial embolization of intralobar pulmonary sequestration in a young adult with hemoptysis.对一名患有咯血的年轻成人进行叶内型肺隔离症的经动脉栓塞治疗。
J Thorac Dis. 2017 Mar;9(3):E188-E193. doi: 10.21037/jtd.2017.02.82.
3
Intralobar pulmonary sequestration originating from the intercostal arteries treated with surgical resection.发自肋间动脉的肺隔离症行手术切除治疗。
Thorac Cancer. 2018 Jul;9(7):877-880. doi: 10.1111/1759-7714.12642. Epub 2018 May 9.
4
Coil embolization of intralobar pulmonary sequestration - an alternative to surgery: a case report.叶内型肺隔离症的线圈栓塞术——手术的替代方法:一例报告
J Med Case Rep. 2018 Dec 21;12(1):375. doi: 10.1186/s13256-018-1915-5.
5
Fatal massive hemoptysis secondary to intralobar sequestration.叶内型肺隔离症继发致命性大量咯血。
Chest. 1994 Sep;106(3):954-5. doi: 10.1378/chest.106.3.954.
6
[Hemoptysis with intralobar pulmonary sequestration].[叶内型肺隔离症伴咯血]
Ugeskr Laeger. 1998 Nov 23;160(48):6982-3.
7
Role of endovascular embolization in improving the quality of life in a patient suffering from complicated intralobar pulmonary sequestration - A case report.血管内栓塞术在改善复杂叶内型肺隔离症患者生活质量中的作用——病例报告
Respir Med Case Rep. 2015 May 22;16:24-8. doi: 10.1016/j.rmcr.2015.02.011. eCollection 2015.
8
Pryce's type I pulmonary intralobar sequestration presenting with massive hemoptysis.普赖斯I型肺叶内隔离症伴大量咯血。
Ann Diagn Pathol. 2001 Apr;5(2):91-5. doi: 10.1053/adpa.2001.23026.
9
Transcatheter embolization for massive hemoptysis from an intralobar pulmonary sequestration: a case report.经导管栓塞术治疗叶内型肺隔离症所致的大量咯血:一例报告
Clin Imaging. 2014 May-Jun;38(3):326-9. doi: 10.1016/j.clinimag.2012.07.002. Epub 2014 Mar 11.
10
Intralobar bronchopulmonary sequestration presenting as hemoptysis: evidence for an acquired cause.以咯血为表现的叶内型支气管肺隔离症:后天性病因的证据
Mil Med. 1998 Jul;163(7):502-3.

本文引用的文献

1
Intralobar sequestration of lung.肺叶内型肺隔离症
Lung India. 2009 Oct;26(4):159-61. doi: 10.4103/0970-2113.56357.
2
Intralobar pulmonary sequestration: a masqurader in tuberculosis prevalent population.叶内型肺隔离症:结核病高发人群中的伪装者。
J Pak Med Assoc. 2009 Nov;59(11):787-8.
3
Thoracoscopic treatment of pulmonary sequestration.胸腔镜治疗肺隔离症
Eur J Cardiothorac Surg. 2006 May;29(5):815-8. doi: 10.1016/j.ejcts.2006.02.018. Epub 2006 Apr 4.
4
Coil embolization of pulmonary sequestration in two infants: a safe alternative to surgery.两名婴儿肺隔离症的弹簧圈栓塞治疗:一种安全的手术替代方法。
AJR Am J Roentgenol. 2000 Oct;175(4):993-5. doi: 10.2214/ajr.175.4.1750993.
5
Pulmonary sequestration.肺隔离症
Zhonghua Yi Xue Za Zhi (Taipei). 1994 Mar;53(3):168-72.
6
Spontaneous hemothorax from bronchopulmonary sequestration. Unusual angiographic and pathologic-anatomic findings.支气管肺隔离症所致自发性血胸。不寻常的血管造影及病理解剖学发现。
Pediatr Radiol. 1980 Sep;10(1):54-6. doi: 10.1007/BF01644345.
7
[Intra-lobar pulmonary sequestrations. Contribution of X-ray computed tomography and MRI. Apropos of 9 cases with typical aspects borderline forms].[叶内型肺隔离症。X线计算机体层摄影术和磁共振成像的作用。附9例典型病例及临界型病例]
Ann Radiol (Paris). 1988;31(4):211-21.
8
Lung sequestration: report of seven cases and review of 540 published cases.肺隔离症:7例报告及540例已发表病例的综述
Thorax. 1979 Feb;34(1):96-101. doi: 10.1136/thx.34.1.96.