Suppr超能文献

幼虫细粒棘球绦虫感染通过减轻辅助性 T 细胞 1/17 介导的免疫反应来减轻葡聚糖硫酸钠诱导的小鼠结肠炎。

Larval Echinococcus multilocularis infection reduces dextran sulphate sodium-induced colitis in mice by attenuating T helper type 1/type 17-mediated immune reactions.

机构信息

Department of Infectious Diseases and Pathobiology, Vetsuisse Faculty, Institute of Parasitology, University of Bern, Bern, Switzerland.

State Key Laboratory Incubation Base of Xinjiang Major Diseases Research (2010DS890294) and Xinjiang Key Laboratory of Echinococcosis, First Affiliated Hospital of Xinjiang Medical University, Urumqi, Xinjiang, China.

出版信息

Immunology. 2018 May;154(1):76-88. doi: 10.1111/imm.12860. Epub 2017 Dec 8.

Abstract

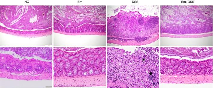
The tumour-like growth of larval Echinococcus multilocularis tissue (causing alveolar echinococcosis, AE) is directly linked to the nature/orientation of the periparasitic host immune-mediated processes. Parasite-mediated immune suppression is a hallmark triggering infection outcome in both chronic human and murine AE. So far, little is known about secondary systemic immune effects of this pathogen on other concomitant diseases, e.g. endogenous gut inflammation. We examined the influence of E. multilocularis infection on murine dextran sodium sulphate (DSS) -induced colitis. At 3 months after E. multilocularis infection (chronic stage), the mice were challenged with 3% DSS in the drinking water for 5 days plus subsequently with tap water (alone) for another 4 days. After necropsy, fixed tissues/organs were sectioned and stained with haematoxylin & eosin for assessing inflammatory reactions. Cytokine levels were measured by flow cytometry and quantitative RT-PCR. Colitis severity was assessed (by board-certified veterinary pathologists) regarding (i) colon length, (ii) weight loss and (iii) a semi-quantitative score of morphological changes. The histopathological analysis of the colon showed a significant reduction of DSS-induced gut inflammation by concomitant E. multilocularis infection, which correlated with down-regulation of T helper type 1 (Th1)/Th17 T-cell responses in the colon tissue. Echinococcus multilocularis infection markedly reduced the severity of DSS-induced gut inflammation upon down-regulation of Th1/Th17 cytokine expression and attenuation of CD11b cell activation. In conclusion, E. multilocularis infection remarkably reduces DSS-induced colitis in mice by attenuating Th1/Th17-mediated immune reactions.

摘要

肝泡型包虫病组织的肿瘤样生长(导致泡型包虫病,AE)与寄生宿主免疫介导过程的性质/方向直接相关。寄生虫介导的免疫抑制是慢性人类和鼠类 AE 感染结局的标志。到目前为止,人们对这种病原体对其他伴随疾病(例如内源性肠道炎症)的二次全身免疫影响知之甚少。我们研究了泡型包虫病感染对鼠类葡聚糖硫酸钠(DSS)诱导结肠炎的影响。在感染泡型包虫病 3 个月后(慢性期),将小鼠用饮用水中的 3% DSS 处理 5 天,然后再用自来水(单独)处理 4 天。解剖后,固定组织/器官用苏木精和伊红染色,用于评估炎症反应。通过流式细胞术和定量 RT-PCR 测量细胞因子水平。结肠炎严重程度由具有兽医病理学家资质的病理学家评估(i)结肠长度,(ii)体重减轻和(iii)形态学变化的半定量评分。结肠的组织病理学分析表明,同时感染泡型包虫病可显著减轻 DSS 诱导的肠道炎症,这与结肠组织中辅助性 T 细胞 1(Th1)/Th17 T 细胞反应的下调相关。泡型包虫病感染通过下调 Th1/Th17 细胞因子表达和减弱 CD11b 细胞活化显著减轻 DSS 诱导的肠道炎症的严重程度。总之,泡型包虫病感染通过减弱 Th1/Th17 介导的免疫反应显著减轻了 DSS 诱导的小鼠结肠炎。

https://cdn.ncbi.nlm.nih.gov/pmc/blobs/9f90/5904711/b8ead2f08fa8/IMM-154-76-g001.jpg

文献检索

告别复杂PubMed语法,用中文像聊天一样搜索,搜遍4000万医学文献。AI智能推荐,让科研检索更轻松。

立即免费搜索

文件翻译

保留排版,准确专业,支持PDF/Word/PPT等文件格式,支持 12+语言互译。

免费翻译文档

深度研究

AI帮你快速写综述,25分钟生成高质量综述,智能提取关键信息,辅助科研写作。

立即免费体验