• 文献检索
  • 文档翻译
  • 深度研究
  • 学术资讯
  • Suppr Zotero 插件Zotero 插件
  • 邀请有礼
  • 套餐&价格
  • 历史记录
应用&插件
Suppr Zotero 插件Zotero 插件浏览器插件Mac 客户端Windows 客户端微信小程序
定价
高级版会员购买积分包购买API积分包
服务
文献检索文档翻译深度研究API 文档MCP 服务
关于我们
关于 Suppr公司介绍联系我们用户协议隐私条款
关注我们

Suppr 超能文献

核心技术专利:CN118964589B侵权必究
粤ICP备2023148730 号-1Suppr @ 2026

文献检索

告别复杂PubMed语法,用中文像聊天一样搜索,搜遍4000万医学文献。AI智能推荐,让科研检索更轻松。

立即免费搜索

文件翻译

保留排版,准确专业,支持PDF/Word/PPT等文件格式,支持 12+语言互译。

免费翻译文档

深度研究

AI帮你快速写综述,25分钟生成高质量综述,智能提取关键信息,辅助科研写作。

立即免费体验

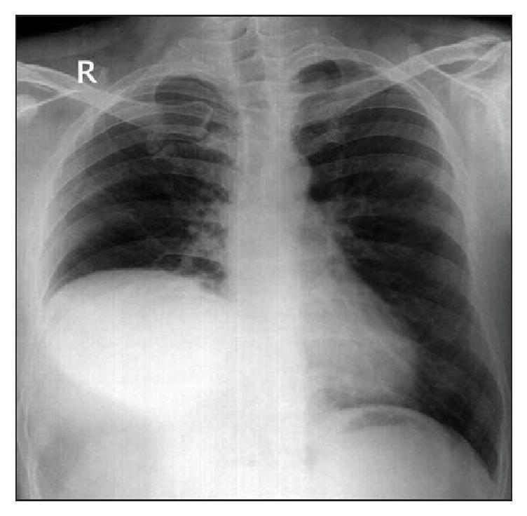
伴有半膈麻痹的有症状卵圆孔未闭

Symptomatic Patent Foramen Ovale with Hemidiaphragm Paralysis.

作者信息

Ibrahim Hussain, Khan Adnan, Nishi Shawn P, Fujise Ken, Gilani Syed

机构信息

University of Texas Medical Branch, 301 University Boulevard, 5.106 John Sealy Annex, Galveston, TX 77555-0553, USA.

出版信息

Case Rep Pulmonol. 2017;2017:9848696. doi: 10.1155/2017/9848696. Epub 2017 Oct 16.

DOI:10.1155/2017/9848696
PMID:29123934
原文链接:https://pmc.ncbi.nlm.nih.gov/articles/PMC5662827/
Abstract

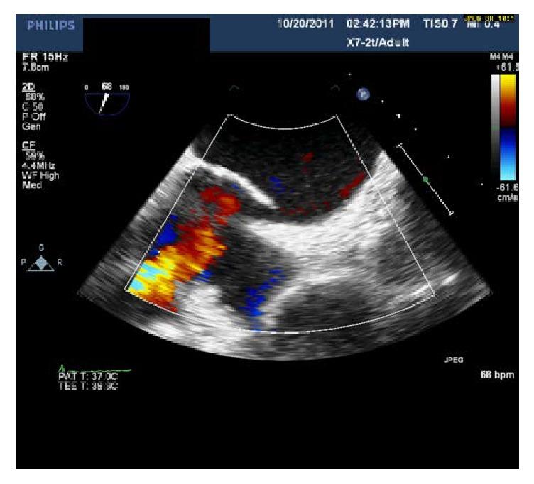
Dyspnea accounts for more than one-fourth of the hospital admissions from Emergency Department. Chronic conditions such as Chronic Obstructive Pulmonary Disease, Congestive Heart Failure, and Asthma are being common etiologies. Less common etiologies include conditions such as valvular heart disease, pulmonary embolism, and right-to-left shunt (RLS) from patent foramen ovale (PFO). PFO is present in estimated 20-30% of the population, mostly a benign condition. RLS via PFO usually occurs when right atrium pressure exceeds left atrium pressure. RLS can also occur in absence of higher right atrium pressure. We report one such case that highlights the importance of high clinical suspicion, thorough evaluation, and percutaneous closure of the PFO leading to significant improvement in the symptoms.

摘要

呼吸困难占急诊科住院患者的四分之一以上。慢性阻塞性肺疾病、充血性心力衰竭和哮喘等慢性疾病是常见病因。较少见的病因包括瓣膜性心脏病、肺栓塞以及卵圆孔未闭(PFO)导致的右向左分流(RLS)。估计20%-30%的人群存在PFO,大多为良性情况。通过PFO的RLS通常在右心房压力超过左心房压力时发生。在没有较高右心房压力的情况下也可能发生RLS。我们报告了这样一个病例,强调了高度临床怀疑、全面评估以及经皮闭合PFO对显著改善症状的重要性。

https://cdn.ncbi.nlm.nih.gov/pmc/blobs/1585/5662827/e61001be8904/CRIPU2017-9848696.002.jpg
https://cdn.ncbi.nlm.nih.gov/pmc/blobs/1585/5662827/13ca056c5804/CRIPU2017-9848696.001.jpg
https://cdn.ncbi.nlm.nih.gov/pmc/blobs/1585/5662827/e61001be8904/CRIPU2017-9848696.002.jpg
https://cdn.ncbi.nlm.nih.gov/pmc/blobs/1585/5662827/13ca056c5804/CRIPU2017-9848696.001.jpg
https://cdn.ncbi.nlm.nih.gov/pmc/blobs/1585/5662827/e61001be8904/CRIPU2017-9848696.002.jpg

相似文献

1
Symptomatic Patent Foramen Ovale with Hemidiaphragm Paralysis.伴有半膈麻痹的有症状卵圆孔未闭
Case Rep Pulmonol. 2017;2017:9848696. doi: 10.1155/2017/9848696. Epub 2017 Oct 16.
2
Clinical impact of patent foramen ovale diagnosis with transcranial Doppler.经颅多普勒诊断卵圆孔未闭的临床影响。
Eur J Ultrasound. 2002 Nov;16(1-2):11-20. doi: 10.1016/s0929-8266(02)00043-5.
3
Risk mitigation in divers with persistent (patent) foramen ovale.卵圆孔未闭潜水员的风险降低
Diving Hyperb Med. 2019 Jun 30;49(2):77-78. doi: 10.28920/dhm49.2.77-78.
4
The effect of patent foramen ovale closure in patients with platypnea-orthodeoxia syndrome.卵圆孔未闭封堵术对平卧呼吸-直立性低氧血症综合征患者的影响。
Catheter Cardiovasc Interv. 2015 Oct;86(4):701-7. doi: 10.1002/ccd.25953. Epub 2015 Jun 9.
5
[Analysis of contrast echocardiography for detecting right to left shunt in adults with patent foramen ovale].[对比超声心动图对卵圆孔未闭成年患者右向左分流的检测分析]
Zhonghua Yi Xue Za Zhi. 2017 Nov 21;97(43):3380-3383. doi: 10.3760/cma.j.issn.0376-2491.2017.43.004.
6
Shunt volume dynamics in stroke patients with patent foramen ovale.卵圆孔未闭的卒中患者的分流容积动力学。
J Appl Physiol (1985). 2013 Sep 1;115(5):704-7. doi: 10.1152/japplphysiol.00507.2012. Epub 2013 Jun 6.
7
Residual shunt after patent foramen ovale closure: preliminary results from Italian patent foramen ovale survey.卵圆孔未闭封堵术后残余分流:意大利卵圆孔未闭调查的初步结果。
J Stroke Cerebrovasc Dis. 2013 Oct;22(7):e219-26. doi: 10.1016/j.jstrokecerebrovasdis.2012.12.002. Epub 2013 Jan 22.
8
Patent Foramen Ovale and Hypoxemia.卵圆孔未闭与低氧血症
Cardiol Rev. 2019 Jan/Feb;27(1):34-40. doi: 10.1097/CRD.0000000000000205.
9
Incidence and Outcomes of Positive Bubble Contrast Study Results After Transcatheter Closure of a Patent Foramen Ovale.卵圆孔未闭经导管封堵术后阳性气泡对比研究结果的发生率和结局。
JACC Cardiovasc Interv. 2018 Jun 11;11(11):1095-1104. doi: 10.1016/j.jcin.2018.03.008.
10
Right-to-left interatrial shunt secondary to right hemidiaphragmatic paralysis: an unusual scenario for urgent percutaneous closure of patent foramen ovale.继发于右侧膈肌麻痹的右向左心房分流:紧急经皮闭合卵圆孔未闭的罕见情况。
Heart Lung Circ. 2015 Apr;24(4):e56-9. doi: 10.1016/j.hlc.2014.11.003. Epub 2014 Nov 15.

引用本文的文献

1
Tilting the balance: hemidiaphragm paralysis leading to right to left cardiac shunt.天平倾斜:半侧膈肌麻痹导致右向左心脏分流。
BMJ Case Rep. 2018 Dec 3;11(1):bcr2018227944. doi: 10.1136/bcr-2018-227944.

本文引用的文献

1
Right-to-left interatrial shunt secondary to right hemidiaphragmatic paralysis: an unusual scenario for urgent percutaneous closure of patent foramen ovale.继发于右侧膈肌麻痹的右向左心房分流:紧急经皮闭合卵圆孔未闭的罕见情况。
Heart Lung Circ. 2015 Apr;24(4):e56-9. doi: 10.1016/j.hlc.2014.11.003. Epub 2014 Nov 15.
2
Platypnea-orthodeoxia syndrome related to right hemidiaphragmatic elevation and a 'stretched' patent foramen ovale.与右半膈抬高及“扩张”的卵圆孔未闭相关的平卧呼吸困难-直立性低氧血症综合征
BMJ Case Rep. 2012 Dec 10;2012:bcr-2012-007735. doi: 10.1136/bcr-2012-007735.
3
Should we close hypoxaemic patent foramen ovale and interatrial shunts on a systematic basis?
我们是否应该系统地关闭低氧血症性卵圆孔未闭和房间隔分流?
Arch Cardiovasc Dis. 2009 Nov;102(11):755-9. doi: 10.1016/j.acvd.2009.09.009. Epub 2009 Nov 14.
4
Hypoxemia secondary to right-to-left interatrial shunt through a patent foramen ovale in a patient with an elevated right hemidiaphragm.一名右半膈抬高患者因卵圆孔未闭导致右向左心房分流继发低氧血症。
Respir Care. 2008 Apr;53(4):462-5.
5
Successful percutaneous closure of a patent foramen ovale causing hypoxia in the setting of an elevated hemidiaphragm due to Guillian-Barre syndrome.成功经皮闭合卵圆孔未闭,该卵圆孔未闭在吉兰 - 巴雷综合征导致半膈升高的情况下引起缺氧。
J Invasive Cardiol. 2006 Sep;18(9):434-5.
6
Hemidiaphragmatic paralysis: an underestimated etiology of right-to-left shunt through patent foramen ovale?半侧膈肌麻痹:卵圆孔未闭导致右向左分流的一个被低估的病因?
Eur J Echocardiogr. 2007 Aug;8(4):259-64. doi: 10.1016/j.euje.2006.05.003. Epub 2006 Jul 7.
7
A mystery featuring right-to-left shunting despite normal intracardiac pressure.一个尽管心腔内压力正常但存在右向左分流的谜团。
Chest. 2005 Aug;128(2):998-1002. doi: 10.1378/chest.128.2.998.
8
[Platypnea-orthodeoxia syndrome, atrial septal aneurysm and right hemidiaphragmatic elevation with a right-to-left shunt through a patent foramen ovale].[平卧呼吸-直立性低氧血症综合征、房间隔瘤及右半膈肌抬高伴经卵圆孔未闭的右向左分流]
Medicina (B Aires). 2005;65(3):252-4.
9
Right hemidiaphragmatic elevation with a right-to-left interatrial shunt through a patent foramen ovale: a case report and literature review.
Chest. 2001 Dec;120(6):2094-6. doi: 10.1378/chest.120.6.2094.
10
Transient right-to-left shunting through a patent foramen ovale secondary to unilateral diaphragmatic paralysis.继发于单侧膈神经麻痹的经卵圆孔未闭的一过性右向左分流
Thorax. 1994 Sep;49(9):933-4. doi: 10.1136/thx.49.9.933.