Suppr超能文献

多变量模式依赖性

Multivariate pattern dependence.

作者信息

Anzellotti Stefano, Caramazza Alfonso, Saxe Rebecca

机构信息

Brain and Cognitive Sciences Department, MIT, Cambridge, Massachusetts, United States of America.

Department of Psychology, Harvard University, Cambridge, Massachusetts, United States of America.

出版信息

PLoS Comput Biol. 2017 Nov 20;13(11):e1005799. doi: 10.1371/journal.pcbi.1005799. eCollection 2017 Nov.

Abstract

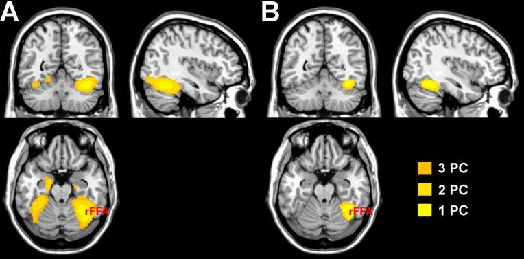
When we perform a cognitive task, multiple brain regions are engaged. Understanding how these regions interact is a fundamental step to uncover the neural bases of behavior. Most research on the interactions between brain regions has focused on the univariate responses in the regions. However, fine grained patterns of response encode important information, as shown by multivariate pattern analysis. In the present article, we introduce and apply multivariate pattern dependence (MVPD): a technique to study the statistical dependence between brain regions in humans in terms of the multivariate relations between their patterns of responses. MVPD characterizes the responses in each brain region as trajectories in region-specific multidimensional spaces, and models the multivariate relationship between these trajectories. We applied MVPD to the posterior superior temporal sulcus (pSTS) and to the fusiform face area (FFA), using a searchlight approach to reveal interactions between these seed regions and the rest of the brain. Across two different experiments, MVPD identified significant statistical dependence not detected by standard functional connectivity. Additionally, MVPD outperformed univariate connectivity in its ability to explain independent variance in the responses of individual voxels. In the end, MVPD uncovered different connectivity profiles associated with different representational subspaces of FFA: the first principal component of FFA shows differential connectivity with occipital and parietal regions implicated in the processing of low-level properties of faces, while the second and third components show differential connectivity with anterior temporal regions implicated in the processing of invariant representations of face identity.

摘要

当我们执行认知任务时,多个脑区会被激活。了解这些脑区如何相互作用是揭示行为神经基础的基本步骤。大多数关于脑区之间相互作用的研究都集中在这些区域的单变量反应上。然而,如多变量模式分析所示,精细的反应模式编码了重要信息。在本文中,我们介绍并应用了多变量模式依赖性(MVPD):一种根据人类脑区反应模式之间的多变量关系来研究脑区之间统计依赖性的技术。MVPD将每个脑区的反应表征为特定区域多维空间中的轨迹,并对这些轨迹之间的多变量关系进行建模。我们使用探照灯方法将MVPD应用于后颞上沟(pSTS)和梭状回面孔区(FFA),以揭示这些种子区域与大脑其他区域之间的相互作用。在两个不同的实验中,MVPD识别出了标准功能连接未检测到的显著统计依赖性。此外,MVPD在解释单个体素反应中的独立方差方面优于单变量连接性。最后,MVPD揭示了与FFA不同表征子空间相关的不同连接模式:FFA的第一主成分与参与面部低水平特征处理的枕叶和顶叶区域表现出不同的连接性,而第二和第三成分与参与面部身份不变表征处理的前颞叶区域表现出不同的连接性。

https://cdn.ncbi.nlm.nih.gov/pmc/blobs/92fd/5714382/475c9ae1b03b/pcbi.1005799.g001.jpg

文献检索

告别复杂PubMed语法,用中文像聊天一样搜索,搜遍4000万医学文献。AI智能推荐,让科研检索更轻松。

立即免费搜索

文件翻译

保留排版,准确专业,支持PDF/Word/PPT等文件格式,支持 12+语言互译。

免费翻译文档

深度研究

AI帮你快速写综述,25分钟生成高质量综述,智能提取关键信息,辅助科研写作。

立即免费体验