• 文献检索
  • 文档翻译
  • 深度研究
  • 学术资讯
  • Suppr Zotero 插件Zotero 插件
  • 邀请有礼
  • 套餐&价格
  • 历史记录
应用&插件
Suppr Zotero 插件Zotero 插件浏览器插件Mac 客户端Windows 客户端微信小程序
定价
高级版会员购买积分包购买API积分包
服务
文献检索文档翻译深度研究API 文档MCP 服务
关于我们
关于 Suppr公司介绍联系我们用户协议隐私条款
关注我们

Suppr 超能文献

核心技术专利:CN118964589B侵权必究
粤ICP备2023148730 号-1Suppr @ 2026

文献检索

告别复杂PubMed语法,用中文像聊天一样搜索,搜遍4000万医学文献。AI智能推荐,让科研检索更轻松。

立即免费搜索

文件翻译

保留排版,准确专业,支持PDF/Word/PPT等文件格式,支持 12+语言互译。

免费翻译文档

深度研究

AI帮你快速写综述,25分钟生成高质量综述,智能提取关键信息,辅助科研写作。

立即免费体验

癌胚抗原MAGE-A、MAGE-C1、GAGE和CTAG1B在良恶性甲状腺疾病中的表达

Expression of cancer/testis antigens MAGE-A, MAGE-C1, GAGE and CTAG1B in benign and malignant thyroid diseases.

作者信息

Melo Daniel Hardy, Mamede Rui Celso Martins, Neder Luciano, Silva Wilson Araújo, Barros-Filho Mateus Camargo, Kowalski Luiz Paulo, Pinto Clóvis Antonio Lopes, Zago Marco Antônio, Figueiredo David Livingstone Alves, Jungbluth Achim A

机构信息

School of Medicine, Federal University of Ceara, Sobral, CE 62042-280, Brazil.

Department of Ophthalmology, Otorhinolaryngology and Head and Neck Surgery, Ribeirão Preto Medical School, University of São Paulo, Center for Cell Based Therapy, CEPID/FAPESP, Ribeirão Preto, SP 14049-900, Brazil.

出版信息

Oncol Lett. 2017 Dec;14(6):6485-6496. doi: 10.3892/ol.2017.7072. Epub 2017 Sep 26.

DOI:10.3892/ol.2017.7072
PMID:29163685
原文链接:https://pmc.ncbi.nlm.nih.gov/articles/PMC5688795/
Abstract

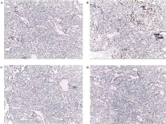
Despite considerable advances in the understanding of thyroid gland biology, correctly diagnosing thyroid nodules and treating high-grade thyroid carcinoma remains challenging. Cancer/testis (CT) antigens have emerged as potential diagnostic tools as well as targets of potential cancer vaccinations. In the present study, a total of 117 patients who underwent surgical therapy for thyroid disease were available for analysis. The expression levels of melanoma-associated antigen (MAGE) A, MAGE-C1/CT7, cancer/testis antigen 1B (CTAG1B) and G antigen (GAGE) were analyzed by immunohistochemistry. None of the CT antigens were expressed in the normal thyroid or goiter. In papillary and follicular carcinoma, MAGE-A was present in 8.1% of cases, GAGE in 10.8% and CT/7MAGE-C1 and CTAG1B in 2.7% each. In medullary carcinoma, CT antigen expression was as follows: MAGE-A in 42.9% of patients; MAGE-C1/CT7 in 46.5%; GAGE in 92.9%; and CTAG1B in 3.6%. A statistically significant association was observed between the expression of G MAGE-C1/CT7 and patient gender as well as patient clinical stage (P=0.029 and 0.031, respectively). In poorly differentiated and anaplastic carcinoma cases, CT antigen expression was as follows: MAGE-A in 61.8% of cases; MAGE-C1 in 57.1%; GAGE in 66.7%; and CTAG1B in 14.4%. There was a statistically significant association between expression of GAGE and gender (P=0.043). However, there was no association between CT antigen expression and patient survival in any of the tumor entities analyzed. The current study identified a distinct expression pattern of CT antigens in malignant thyroid tumors indicating that CT antigens have the potential to outperform existing thyroid cancer biomarkers. The prevalence of CT antigens in high-grade carcinomas suggests that they serve an important biological role within malignant tumors.

摘要

尽管在甲状腺生物学的理解方面取得了相当大的进展,但正确诊断甲状腺结节和治疗高级别甲状腺癌仍然具有挑战性。癌胚抗原(CT)已成为潜在的诊断工具以及潜在癌症疫苗的靶点。在本研究中,共有117例接受甲状腺疾病手术治疗的患者可供分析。通过免疫组织化学分析黑色素瘤相关抗原(MAGE)A、MAGE-C1/CT7、癌胚抗原1B(CTAG1B)和G抗原(GAGE)的表达水平。正常甲状腺或甲状腺肿中均未检测到CT抗原的表达。在乳头状癌和滤泡状癌中,MAGE-A在8.1%的病例中表达,GAGE在10.8%的病例中表达,CT/7MAGE-C1和CTAG1B各在2.7%的病例中表达。在髓样癌中,CT抗原表达情况如下:MAGE-A在42.9%的患者中表达;MAGE-C1/CT7在46.5%的患者中表达;GAGE在92.9%的患者中表达;CTAG1B在3.6%的患者中表达。观察到G MAGE-C1/CT7的表达与患者性别以及患者临床分期之间存在统计学显著关联(P值分别为0.029和0.031)。在低分化癌和未分化癌病例中,CT抗原表达情况如下:MAGE-A在61.8%的病例中表达;MAGE-C1在57.1%的病例中表达;GAGE在66.7%的病例中表达;CTAG1B在14.4%的病例中表达。GAGE的表达与性别之间存在统计学显著关联(P=0.043)。然而,在分析的任何肿瘤实体中,CT抗原表达与患者生存率之间均无关联。当前研究确定了CT抗原在恶性甲状腺肿瘤中的独特表达模式,表明CT抗原有可能优于现有的甲状腺癌生物标志物。高级别癌中CT抗原的患病率表明它们在恶性肿瘤中发挥着重要的生物学作用。

https://cdn.ncbi.nlm.nih.gov/pmc/blobs/e678/5688795/b2cfe2b00480/ol-14-06-6485-g02.jpg
https://cdn.ncbi.nlm.nih.gov/pmc/blobs/e678/5688795/ada4aa10b5d2/ol-14-06-6485-g00.jpg
https://cdn.ncbi.nlm.nih.gov/pmc/blobs/e678/5688795/5402f0307e13/ol-14-06-6485-g01.jpg
https://cdn.ncbi.nlm.nih.gov/pmc/blobs/e678/5688795/b2cfe2b00480/ol-14-06-6485-g02.jpg
https://cdn.ncbi.nlm.nih.gov/pmc/blobs/e678/5688795/ada4aa10b5d2/ol-14-06-6485-g00.jpg
https://cdn.ncbi.nlm.nih.gov/pmc/blobs/e678/5688795/5402f0307e13/ol-14-06-6485-g01.jpg
https://cdn.ncbi.nlm.nih.gov/pmc/blobs/e678/5688795/b2cfe2b00480/ol-14-06-6485-g02.jpg

相似文献

1
Expression of cancer/testis antigens MAGE-A, MAGE-C1, GAGE and CTAG1B in benign and malignant thyroid diseases.癌胚抗原MAGE-A、MAGE-C1、GAGE和CTAG1B在良恶性甲状腺疾病中的表达
Oncol Lett. 2017 Dec;14(6):6485-6496. doi: 10.3892/ol.2017.7072. Epub 2017 Sep 26.
2
Expression of MAGE-C1/CT7 and selected cancer/testis antigens in ovarian borderline tumours and primary and recurrent ovarian carcinomas.MAGE-C1/CT7 和部分癌/睾丸抗原在卵巢交界性肿瘤、原发性和复发性卵巢癌中的表达。
Virchows Arch. 2013 May;462(5):565-74. doi: 10.1007/s00428-013-1395-3. Epub 2013 Mar 26.
3
Expression of cancer-testis antigens in endometrial carcinomas using a tissue microarray.利用组织芯片检测癌-睾丸抗原在子宫内膜癌中的表达
Mod Pathol. 2005 Jan;18(1):119-26. doi: 10.1038/modpathol.3800232.
4
Frequent expression of the novel cancer testis antigen MAGE-C2/CT-10 in hepatocellular carcinoma.新型癌睾丸抗原MAGE-C2/CT-10在肝细胞癌中的频繁表达。
Int J Cancer. 2009 Jan 15;124(2):352-7. doi: 10.1002/ijc.23966.
5
[Expression of cancer testis (CT) antigens in pediatric and adolescent melanomas].[癌睾丸(CT)抗原在儿童及青少年黑色素瘤中的表达]
Pathologe. 2017 Jul;38(4):303-311. doi: 10.1007/s00292-017-0311-z.
6
Expression of MAGE-A4 and MAGE-C1 tumor-associated antigen in benign and malignant thyroid diseases.MAGE-A4 和 MAGE-C1 肿瘤相关抗原在良性和恶性甲状腺疾病中的表达。
Head Neck. 2011 Oct;33(10):1426-32. doi: 10.1002/hed.21616. Epub 2011 Jan 18.
7
Expression and prognostic relevance of MAGE-C1/CT7 and MAGE-C2/CT10 in osteolytic lesions of patients with multiple myeloma.MAGE-C1/CT7 和 MAGE-C2/CT10 在多发性骨髓瘤溶骨性病变患者中的表达及预后相关性。
Exp Mol Pathol. 2010 Oct;89(2):175-81. doi: 10.1016/j.yexmp.2010.06.011. Epub 2010 Jul 14.
8
Expression of MAGE-C1/CT7 and MAGE-C2/CT10 predicts lymph node metastasis in melanoma patients.MAGE-C1/CT7 和 MAGE-C2/CT10 的表达可预测黑色素瘤患者的淋巴结转移。
PLoS One. 2011;6(6):e21418. doi: 10.1371/journal.pone.0021418. Epub 2011 Jun 27.
9
An overview of cancer/testis antigens expression in classical Hodgkin's lymphoma (cHL) identifies MAGE-A family and MAGE-C1 as the most frequently expressed antigens in a set of Brazilian cHL patients.对经典型霍奇金淋巴瘤(cHL)中癌/睾丸抗原表达的概述表明,在一组巴西cHL患者中,MAGE-A家族和MAGE-C1是最常表达的抗原。
BMC Cancer. 2011 Sep 28;11(1):416. doi: 10.1186/1471-2407-11-416.
10
CT10: a new cancer-testis (CT) antigen homologous to CT7 and the MAGE family, identified by representational-difference analysis.CT10:一种通过代表性差异分析鉴定出的、与CT7及黑素瘤相关抗原(MAGE)家族同源的新型癌-睾丸(CT)抗原。
Int J Cancer. 2000 Mar 1;85(5):726-32. doi: 10.1002/(sici)1097-0215(20000301)85:5<726::aid-ijc21>3.0.co;2-f.

引用本文的文献

1
An Immunohistochemical Study of MAGE Proteins in Hepatocellular Carcinoma.肝细胞癌中MAGE蛋白的免疫组织化学研究
Diagnostics (Basel). 2024 Aug 5;14(15):1692. doi: 10.3390/diagnostics14151692.
2
Harnessing Immunity to Treat Advanced Thyroid Cancer.利用免疫疗法治疗晚期甲状腺癌。
Vaccines (Basel). 2023 Dec 30;12(1):45. doi: 10.3390/vaccines12010045.
3
Cancer testis antigen subfamilies: Attractive targets for therapeutic vaccine (Review).癌症睾丸抗原亚家族:治疗性疫苗的有吸引力的靶标(综述)。

本文引用的文献

1
A phase I trial combining decitabine/dendritic cell vaccine targeting MAGE-A1, MAGE-A3 and NY-ESO-1 for children with relapsed or therapy-refractory neuroblastoma and sarcoma.一项针对复发或治疗难治性神经母细胞瘤和肉瘤患儿的I期试验,将地西他滨与靶向MAGE-A1、MAGE-A3和NY-ESO-1的树突状细胞疫苗联合使用。
Cancer Immunol Immunother. 2015 Oct;64(10):1251-60. doi: 10.1007/s00262-015-1731-3. Epub 2015 Jun 24.
2
A potential role for immunotherapy in thyroid cancer by enhancing NY-ESO-1 cancer antigen expression.免疫疗法通过增强NY-ESO-1癌抗原表达在甲状腺癌中的潜在作用。
Thyroid. 2014 Aug;24(8):1241-50. doi: 10.1089/thy.2013.0680. Epub 2014 Jun 30.
3
Int J Oncol. 2023 Jun;62(6). doi: 10.3892/ijo.2023.5519. Epub 2023 May 5.
4
Clinical roles of miR-136-5p and its target metadherin in thyroid carcinoma.miR-136-5p及其靶标黏附素在甲状腺癌中的临床作用
Am J Transl Res. 2019 Nov 15;11(11):6754-6774. eCollection 2019.
Analysis of GAGE, NY-ESO-1 and SP17 cancer/testis antigen expression in early stage non-small cell lung carcinoma.
早期非小细胞肺癌中GAGE、NY-ESO-1和SP17癌胚抗原表达的分析。
BMC Cancer. 2013 Oct 8;13:466. doi: 10.1186/1471-2407-13-466.
4
NY-ESO-1 cancer testis antigen demonstrates high immunogenicity in triple negative breast cancer.NY-ESO-1 癌症睾丸抗原在三阴性乳腺癌中表现出高免疫原性。
PLoS One. 2012;7(6):e38783. doi: 10.1371/journal.pone.0038783. Epub 2012 Jun 28.
5
Cancer/testis antigens expression and autologous serological response in a set of Brazilian non-Hodgkin's lymphoma patients.一组巴西非霍奇金淋巴瘤患者的癌/睾丸抗原表达和自体血清学反应。
Cancer Immunol Immunother. 2012 Dec;61(12):2207-14. doi: 10.1007/s00262-012-1285-6. Epub 2012 May 26.
6
Prognostic factors in differentiated thyroid cancer--a 20-year surgical outcome study.分化型甲状腺癌的预后因素——一项 20 年的手术结果研究。
Langenbecks Arch Surg. 2012 Jun;397(5):809-15. doi: 10.1007/s00423-011-0899-z. Epub 2012 Feb 15.
7
Intracellular tumor-associated antigens represent effective targets for passive immunotherapy.细胞内肿瘤相关抗原是被动免疫治疗的有效靶点。
Cancer Res. 2012 Apr 1;72(7):1672-82. doi: 10.1158/0008-5472.CAN-11-3072. Epub 2012 Feb 8.
8
Prognostic factors for recurrence of papillary thyroid carcinoma in the lymph nodes, lung, and bone: analysis of 5,768 patients with average 10-year follow-up.淋巴结、肺和骨中甲状腺乳头状癌复发的预后因素:平均随访 10 年的 5768 例患者分析。
World J Surg. 2012 Jun;36(6):1274-8. doi: 10.1007/s00268-012-1423-5.
9
An overview of cancer/testis antigens expression in classical Hodgkin's lymphoma (cHL) identifies MAGE-A family and MAGE-C1 as the most frequently expressed antigens in a set of Brazilian cHL patients.对经典型霍奇金淋巴瘤(cHL)中癌/睾丸抗原表达的概述表明,在一组巴西cHL患者中,MAGE-A家族和MAGE-C1是最常表达的抗原。
BMC Cancer. 2011 Sep 28;11(1):416. doi: 10.1186/1471-2407-11-416.
10
Long-term outcomes of distant metastasis from differentiated thyroid carcinoma.分化型甲状腺癌远处转移的长期预后。
Clin Endocrinol (Oxf). 2012 Mar;76(3):439-47. doi: 10.1111/j.1365-2265.2011.04231.x.