Bouquot Morgane, Dokmak Safi, Barbier Louise, Cros Jérôme, Levy Philippe, Sauvanet Alain
Department of Hepatic and Pancreatic Surgery, Pôle des Maladies de l'Appareil Digestif, Hospital Beaujon, AP-HP, University Paris Diderot, 100 Boulevard du Maréchal Leclerc, 92110, Clichy, France.
Department of Pathology, Hospital Beaujon, AP-HP, University Paris Diderot, 92110, Clichy, France.
BMC Gastroenterol. 2017 Nov 22;17(1):117. doi: 10.1186/s12876-017-0682-x.
Gastric stump carcinoma is an exceptional and poorly known long-term complication after pancreaticoduodenectomy.
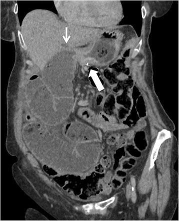
Two patients developed gastric stump carcinoma 19 and 10 years after pancreaticoduodenectomy for malignant ampulloma and total pancreaticoduodenectomy for pancreatic adenocarcinoma, respectively. Both patients had pT4 signet-ring cell carcinoma involving the gastrojejunostomy site that was revealed by bleeding or obstruction. Patient 1 is alive and remains disease-free 36 months after completion gastrectomy. Patient 2 presented with peritoneal carcinomatosis and died after palliative surgery. We identified only 3 others cases in the English literature.
Prolonged biliary reflux might be the most important risk factor of gastric stump carcinoma following pancreaticoduodenectomy. Its incidence might increase in the future due to prolonged survival observed after pancreaticoduodenectomy for benign and premalignant lesions.
胃残端癌是胰十二指肠切除术后一种罕见且鲜为人知的远期并发症。
两名患者分别在因恶性壶腹瘤行胰十二指肠切除术后19年以及因胰腺腺癌行全胰十二指肠切除术后10年发生胃残端癌。两名患者均为pT4印戒细胞癌,累及胃空肠吻合口部位,表现为出血或梗阻。患者1存活,在完成胃切除术后36个月无疾病复发。患者2出现腹膜转移癌,在姑息性手术后死亡。我们在英文文献中仅发现另外3例病例。
长期胆汁反流可能是胰十二指肠切除术后胃残端癌最重要的危险因素。由于对良性和癌前病变行胰十二指肠切除术后患者生存期延长,未来其发病率可能会增加。